前歯の隙間(ブラックトライアングル)も
ダイレクトボンディングで修復可能
自信に溢れる笑顔は
白い歯から

ダイレクトボンディングとは、虫歯の治療で削られた箇所や歯と歯の隙間に対して、特殊な医療用素材を歯に盛りつけていく治療法です。
気軽で安全、詰め物や被せ物のように、修復物を作ることなく、白い歯を作り出すことができます。隙間や治療後に美しく処置できるため、歯が気になって笑顔に躊躇してしまうという方にこそおすすめしたい治療法です。
ダイレクトボンディングと他の治療法との違い
歯の修復治療には、歯型をとって歯科技工士が修復物を作る間接法と、歯科医師が口の中で修復する直接法があります。
ダイレクトボンディングは直接法になります。虫歯の部分を局所的に削ってコンポジットレジンと呼ばれるセラミック粒子が配合されたプラスチックを接着により修復する治療です。歯に直接レジンを接着させるので型取りの必要がありません。そのため、歯を削る量を最小限に抑えることができ短期間で治療が終了します。
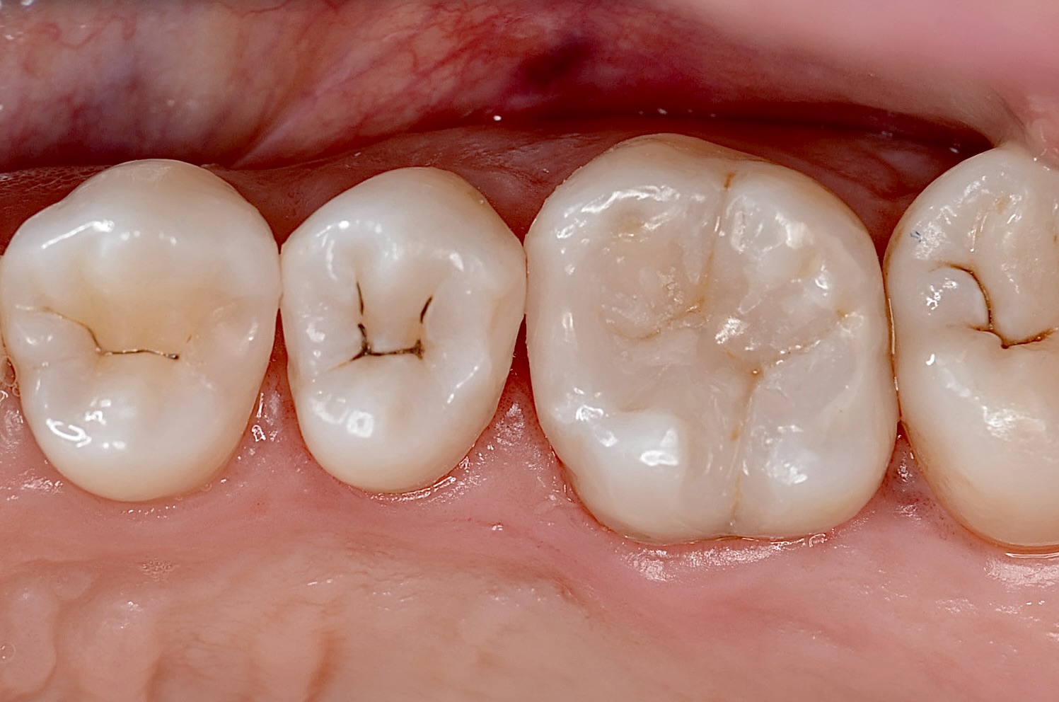
無駄に歯を削らないダイレクトボンディングの症例

Before

After
| 年齢 | 40代 | 治療方法 | ダイレクトボンディング |
|---|---|---|---|
| 性別 | 女性 | 通院回数 | 2回 |
| 主訴 | できるだけ歯を削る量を少なくしてむし歯を治したい | 費用 | 115,500円(税込) |
| 治療のメリット | 歯を削る量を少なくできる・自然な見た目・境目がピッタリできる | ||
| 治療のデメリット | 大きい虫歯治療には適応できない場合がある | ||
間接法で治すセラミック治療の流れがよくわかる症例

Before

After
| 年齢 | 20代 | 治療方法 | セラミックアンレー/MTAセメント |
|---|---|---|---|
| 性別 | 女性 | 通院回数 | 3回 |
| 主訴 | むし歯を治したい。神経をとりたくない。 | 費用 | 220,000円(税込) |
| 治療のメリット | 神経を保存できる。歯を削る量を少なくできる。自然な形にできる | ||
| 治療のデメリット | 術後、一時的に染みることがある。健全残存資質の量によってはクラウンになる場合もある | ||
セラミッククラウンとの比較
セラミックに限らずクラウンでの治療となると、健康な部分も含めて歯を一周削らなくてはなりません。削る量が一番多くなってしまうというデメリットがあります。逆に一番強度がありますし、歯全体を覆うので虫歯には強いというメリットもあります。そして、口腔外で歯科技工士が作るため形態や噛み合わせを自由に設定できる点は明確な強みです。
ラミネートベニア、テーブルトップとの比較
強度と歯質の温存をある程度両立した選択肢です。奥歯の噛む面や前歯の見える面はバッサリ削る必要がありますが、そうでない部分に関してはあまり削らずにすみます。見える面や力のかかる部分はセラミックで覆われるので審美性と強度が安定して確保できます。天然歯がむき出しの面が多いのでセラミックで覆っていない部分の虫歯のリスクがあることはデメリットと言えます。そしてクラウンと同じく、口腔外で歯科技工士が作るため形態や噛み合わせを自由に設定できる点は明確な強みです。
こんな笑顔のお悩みは
ありませんか
自信を持って笑いたい・・・しかし、様々な見た目の理由から躊躇してしまう・・・
気になる箇所によってはダイレクトボンディングで解消できます。どうぞお気軽にご相談ください。
-
歯の着色が気になってしまう
タバコや生活習慣(コーヒーなど)で着色してしまった歯が気になって笑えない・・・ということはないでしょうか。
ダイレクトボンディングなら塗り重ねることで、天然歯のような白さを手に入れ、笑顔を輝かせます。 -
すきっ歯が気になって笑えない
すきっ歯の治療は、短期間で改善できるケースが多いですが、自然な仕上がりには高度な技術が必要です。当院では、ダイレクトボンディングを使い、 見た目も機能も満足いただける治療を提供しています。
-
治療後に銀歯は使いたくない
笑ったときに昔入れた銀歯がちらちら見えてしまうのをいやだと感じる方もいらっしゃいます。ダイレクトボンディングなら、安全で白い医療用素材を使用しますので、金属製のインレーのように目立ってしまうことはありません。
-
欠けた歯を白く修復したい
欠けた前歯、自然な見た目に修復できます。治療したことがわからない仕上がりを目指して。
「前歯が欠けてしまい、笑うのが気になる…」「治療した部分が目立たないか不安…」そんなお悩みをお持ちの方もご安心ください。
当院では、自然な見た目と機能性を大切にしたダイレクトボンディングで、 患者さまの歯を丁寧に修復しています。
人生100年時代だからこそ
ダイレクトボンディング治療

人生100年時代を迎える今、歯の健康を長く保つことは、健康な暮らしを続けるために欠かせない要素です。
ダイレクトボンディングの特徴は天然歯のような自然な色や形を再現できること、治療箇所に直接、整形するため、被せ物(クラウン)や詰め物(インレー)に比べて、歯を削る量を抑えられ、患者様の負担が少ないことが特徴です。
従来の歯科用プラスチック(レジン)では、歯の複雑な質感を再現することが困難でした。近年、透明感や色調が豊富に揃った素材が開発され、多数の色調を積層築盛することで、天然歯のような自然な歯を再現できるようになりました。
当院では、患者さま一人ひとりの歯の将来を考えた治療を提供しています。
ダイレクトボンディングの3つの特徴
- 01天然歯のような自然な色に仕上がる高い審美性
- 02通院回数や治療時間の軽減につながる即効性のある審美処置
- 03治療時に歯を削る量を抑え患者様の身体的負担を軽減
治療後も虫歯が
再発してしまう理由とは
ダイレクトボンディングのメリット
①歯を削らないためダメージが少ない

虫歯治療で歯を削ると、歯の強度が低下することが研究で示されています。特に奥歯は、中心部を少し削るだけで強度が20%低下し、さらに歯の側面を削ると46%、両側を削ると63%も低下します。
以前は、奥歯を治療する際には、強い金属を使用したり、見た目が美しいセラミックを使用したりしていましたが、それには歯を多く削る必要がありました。
しかし、小さな虫歯であればダイレクトボンディングを用いたレジン治療で、歯をあまり削らずにしっかりと治療することができます。一生の間に再治療の回数を最小限に抑えることが、歯を長持ちさせるために重要です。
②1回〜2回ほどで治療を終えられる
被せ物や詰め物で治療する場合、歯を削って型取りをします。この型を歯科技工所に送って被せ物や詰め物を作ってもらいます。製作にかかる期間は物によりますが大体1週間から1か月ほどです。その後送られてきた物を患者様のお口の中に装着します。
対してダイレクトボンディングはその日のうちに、直接コンポジットレジンを詰めて形を作る治療です。従ってダイレクトボンディングなら1本の歯の治療が1回で終わります。
ただし、下高井戸デンタルオフィスでは精密な適合を追求するためにダイレクトボンディングの治療の後には必ず徹底的に研磨をするようにしています。従って治療回数が2回かかります。
ダイレクトボンディングでしか治療できない部位がある
例えば歯の根本付近の虫歯など、ダイレクトボンディングでないと治療できない部位があります。
例えば、歯の根本は被せ物で治療すると健康な歯質を多く削らなくてはなりません。歯が傾いたり、歯並びが悪くスペースが足りずに被せ物の治療ができないケースもあります。こうした制限のある虫歯でも治療できるのがダイレクトボンディングの強みです。
こちらの症例は歯の頬側にのみ広がった虫歯の治療症例です。被せ物や詰め物ではあまりに多くの歯質を削らなくてはならない状況ですが、ダイレクトボンディングならば最小限の介入で治療ができます。

Before

After
| 年齢 | 20代 | 治療方法 | VPT(歯髄温存療法)/ダイレクトボンディング |
|---|---|---|---|
| 性別 | 女性 | 通院回数 | 2回 |
| 主訴 | むし歯を治したい /神経を取りたくない/できるだけ神経を取りたくない | 費用 | 170,500円(税込) |
| 治療のメリット | 神経を保存できる。歯を削る量を少なくできる。自然な形にできる | ||
| 治療のデメリット | 神経を保存できない場合がある。 | ||
③再修復・研磨で長期使用可能
例えばセラミックの詰め物が欠けた場合、基本的には作り直しになります。修理はできません。
しかしダイレクトボンディングなら欠けても修理可能です。これはダイレクトボンディングで使うコンポジットレジンは接着剤で強くくっつき、良くも悪くもセラミックより軟らかいことが理由です。多少の柔らかさがあるからこそ口の中で調整でき、再修復が可能なのです。

Before

After
| 年齢 | 20代 | 治療方法 | ダイレクトボンディング |
|---|---|---|---|
| 性別 | 女性 | 通院回数 | 2回 |
| 主訴 | 歯が痛い | 費用 | 60,500円(税込) |
| 治療のメリット | 歯を削る量を少なくできる・自然な見た目・境目がピッタリできる | ||
| 治療のデメリット | 大きい虫歯治療には適応できない場合がある | ||
ダイレクトボンディングのデメリット
①経年で変色する可能性がある

ダイレクトボンディングは経年で変色するとよく言われていますが、実はそんなことはありません。あまり良い材料のなかった昔のものならいざ知らず、近年のコンポジットレジン(ダイレクトボンディングの材料)は物性が良く、変色が少ないと言われています。
例えばこの写真は、院長の瀧本将嗣が学生時代に母校の大学の教官に治療してもらった、25年以上前のコンポジットレジン修復です。大きな変色もなく、25年経ってもいまだに問題なく使えています。この事実が、ダイレクトボンディングの可能性と魅力ではないでしょうか?
②大きな欠損には不向き

噛み合わせの面の銀の詰め物を外しましたが、歯の縁に薄く歯が残るだけとなりました。大きな欠損であるため被せ物での治療をご提案しましたが患者様の強い要望でダイレクトボンディング治療の方針となりました。
しばらくは問題なく使えていたようなのですが、1年8ヶ月後、薄く残っていた歯質が崩れるように割れてしまいました。

結局この歯はこの後セラミックで再度治療することになりました。健康な歯をできるだけ削らない方がいいですが、薄すぎる歯質を残すと割れてしまう例です。
ADA(アメリカ歯科医師会)によればダイレクトボンディングの適応範囲は、青で示したような歯の片側に限局し、その大きさはピンクの範囲に収まるものとしています。

下高井戸デンタルオフィスの、過去600症例以上の自費治療のダイレクトボンディング治療の結果を振り返ると、もう少し大きな欠損でも問題ない場合が多いですが、やはりダイレクトボンディングは大きな欠損には不向きと言えるでしょう。
より大きな虫歯の治療には、テーブルトップタイプやクラウンタイプのセラミック治療を選択します。
③高い技術を要するため、医院によって仕上がりが異なる
適切な材料と技術を用いれば、ダイレクトボンディングは非常に高い審美性を実現できる治療法です。天然歯のような色調や透明感を再現するために、複数の色調・性質をもつレジンを積み重ねて(積層して)形を整えていくという工程を行います。細やかな調整が求められる繊細で高度な作業です。この工程はすべて口の中で、60〜90分かけて手作業で行われるため、術者の知識・経験・美的感覚によって、仕上がりに大きな差が出ます。
一方、セラミック治療の場合は、歯科技工士が歯型をもとに歯科技工所で作製するため、一定以上の品質で安定して作られます。
つまり、ダイレクトボンディングは「その場で再現する芸術」でもあり、まさに職人技が問われる治療法といえます。そのため、この治療を選ぶ際は、「どこで治療を受けるか」だけでなく、「誰に治療してもらうか」が非常に重要になるのです。
当院のダイレクトボンディングが選ばれる理由

清潔な治療環境の徹底
治療にあたって、医療の基本である「清潔さ」を重視しています。
細かい事ですが、齲蝕検知液も直接口の中に使うのではなく、以下のように医療としての基本を徹底しています。
1.いったん液を滅菌されたビンに取り分けた後、マイクロブラシで患歯へアプローチする。
2.紫外線照射機は唾液がつかないようにカバーを患者さんごとに変える。
3.フロアブルレジンの先のニードルも患者ごとに新しいものに変える。




治療時間
当院のダイレクトボンディングは良好な治療結果を少しでも長く維持できるように数多くの工夫を施して治療を行っております。ですから一般的なダイレクトボンディングの何倍もの工程を行います。
そのため一般的な治療時間である10〜45分では全く時間が足りません。万全を期して治療をするためにも一般的な治療時間に比べて圧倒的に長い、90分という時間を確保して治療を進めます。
使用材料

一般的な保険治療では単色のレジンしか使いません。そうすると前歯などではレジンを詰めた部分に光が透過して暗く見えます。つまり色が合わない現象が起きます。
下高井戸デンタルオフィスでは異なる色や透明度のレジンを組み合わせ、内部構造を再現しつつ層状に重ねることで、天然歯本来の色調や透明感を再現し、より自然で審美的な仕上がりを目指しています。
ラバーダム防湿の徹底による安全で効果的な治療
口の中は常に唾液で濡れています。もしも歯の表面が少しでも濡れていると、接着剤は弾かれて効果を発揮できません。中途半端に一部分だけ接着してしまうと、隙間から雑菌が入り込み、詰め物の下側で虫歯が広がります。外からは見えないので発見が遅れてしまい、気付いた時は大ごとになっていることも多いです。
そこで、唾液や雑菌、血液の侵入を防ぐラバーダムというゴムのシートを使い、治療する歯をシートに開けた穴から出して口の中で隔離することで、接着の効果が100%発揮できるような環境を整えます。

治療中に歯茎からじわじわ出血することは珍しくはない。ラバーダムをしないと血液や滲出液が歯面に触れ、接着阻害の原因となる。

ラバーダムをすることで、出血・滲出液・唾液を防ぐ事ができる。
マイクロスコープ、高倍率ルーペによる精密操作

肉眼では見えない虫歯を完全に取りきるには、拡大視野で治療しなくてはなりません。また、歯科治療において長期安定の鍵を握るのが適合性です。歯科の適合は1/100mmの世界で突き詰める必要があります。
下高井戸デンタルオフィスではダイレクトボンディングはもちろん、メインテナンスまで必ず高倍率のルーペもしくはマイクロスコープを用いて治療します。
歯垢を徹底的に除去してから治療
歯の表面は一見汚れていないように見えても、実は歯垢がたくさん付着しています。歯垢の上からレジンは接着しません。スマホの保護フィルムを貼る時でさえ、皆さんはガラス面を綺麗にしますよね?
以下の動画ではいかに歯垢をとるのが困難か、器具別に動画にしています。やはりエアフロー(ジェットパウダークリーニング)を使うのが、最も早く確実です。
形態、適合へのこだわり

ダイレクトボンディング治療をはじめセラミック治療など歯を補ったり修復したりする治療は、形態や適合の良し悪しが治療結果に直結します。適合とは、歯と詰め物がどのくらいぴったり合っているかということです。1/100mmの小さな隙間であっても、歯と詰め物の間が空いていればそこから唾液が侵入し、痛みが消えない、隙間の内部での虫歯の進行につながります。ほんの小さな不適合がせっかくの治療を台無しにしてしまう可能性があります。
また治療後の歯の形態も重要です。例えばダイレクトボンディングで治療したところに段差があると、そこに汚れが溜まりやすくなります。
下高井戸デンタルオフィスでは適合と形態にこだわった治療を徹底しております。
形態、適合へのこだわりの例①

Before

After
| 年齢 | 70代 | 治療方法 | ダイレクトボンディング |
|---|---|---|---|
| 性別 | 女性 | 通院回数 | 2回 |
| 主訴 | むし歯を治したい 。歯を白くしたい | 費用 | 115,500円(税込) |
| 治療のメリット | 歯を削る量を少なくできる・自然な見た目・境目がピッタリできる | ||
| 治療のデメリット | 経年的な変色の可能性がある | ||
形態、適合へのこだわりの例②

Before

After
| 年齢 | 40代 | 治療方法 | ダイレクトボンディング |
|---|---|---|---|
| 性別 | 男性 | 通院回数 | 3回 |
| 主訴 | できるだけ歯を削る量を少なくしてむし歯を治したい | 費用 | 115,500円(税込) |
| 治療のメリット | 歯を削る量を少なくできる・自然な見た目・境目がピッタリできる | ||
| 治療のデメリット | 大きい虫歯治療には適応できない場合がある | ||
研磨仕上げ

下高井戸デンタルオフィスでのダイレクトボンディング治療は、治療後の研磨を重視しております。どんなに丁寧に充填しても多少の段差は出てしまいます。ダイレクトボンディング治療をした次の予約では、複数の器具を用いて徹底的に研磨を行います。どんなに素晴らしい日本刀も研がなければ切れないように、丁寧に修復したダイレクトボンディングも徹底的に研磨しなければ長持ちしません。
術中記録

どんなに綺麗事を言っても、証拠がないと本当かどうかはわかりません。治療後には大画面のモニターで、治療過程を全て患者さんに見ていただいております。術前・術後だけではなく治療過程まで誠実でありたい。
なぜ下高井戸デンタルオフィスが術中写真にこだわるかといえば、治したばかりなのに実は虫歯の取り残しがあったり、それに対して問題ないとたらい回しにされて困っている患者さんが来院される事があるからです。自由診療について、ほぼ全ての症例について記録をとって説明致しております。なぜならば術中写真こそが誠実さだと考えるからです。

Before

After
| 年齢 | 20代 | 治療方法 | ダイレクトボンディング |
|---|---|---|---|
| 性別 | 女性 | 通院回数 | 2回 |
| 主訴 | 歯が痛い | 費用 | 60,500円(税込) |
| 治療のメリット | 歯を削る量を少なくできる・自然な見た目・境目がピッタリできる | ||
| 治療のデメリット | 大きい虫歯治療には適応できない場合がある | ||
審美修復の経験豊富な院長が治療を担当
院長の瀧本将嗣は2016年より本格的にダイレクトボンディングを始めました。全ての症例の術中を記録し、新しい知見や技術を積極的に取り入れてきました。その症例は、ホームページの症例集やインスタグラムで閲覧できます。
ダイレクトボンディングの流れ
-
STEP01歯垢(プラーク)の徹底した除去

歯垢検知液を用いて歯垢がある部分を目で見てわかるようにし、初めはSUSブラシ(水を出しながらブラシに振動を与えて歯垢を取り除く器械)で大まかに歯垢をとりますが、これだけでは早く確実に歯垢を取り除くことはできません。
そこでエアーフロー(ミストとパウダーを吹き付けて歯垢を取り除く器械)で徹底的に除去していきます。 -
STEP02ラバーダムで唾液の侵入を防ぐ

唾液が触れない清潔な環境で治療することが必須になります。
歯が唾液と接触すると接着力が大きく損なわれます。それだけではなく歯茎からのわずかに出てくる滲出液や出血をラバーダムは堰き止めてくれます。
またわずかに歯茎を押し下げる効果もありますので歯茎近くまで進行した虫歯の治療がやりやすくなります。 -
STEP03虫歯の箇所を削っていきます

ラバーダムで、しっかり防湿したのち、虫歯を削っていきます。
裸眼では取り残しが発生する可能性があるため、肉眼の10倍のマイクロスコープで処置をしていきます。
拡大視野下であれば細かな歯の患部の違いを確認できるため、必要以上に歯を削らずに、虫歯治療を行うことが可能です。 -
STEP04歯科用プラスチックで美しく整えていきます

削ったところをコンポジットレジンという光で固まるプラスチックを詰めて形を作っていきます。
この形を作る作業は担当の歯科医師の技量に大きく左右されます。例えばインレークラウンの場合、歯科技工士が作ったものを歯科医師が調整して入れます。
この場合、どの歯科医師が入れてもインレーやクラウンは同じ形です。
しかしダイレクトボンディングは施術者が変わればその形も変わります。 -
STEP05治療の過程を動画でチェック

ビフォーアフターだけで途中経過のない写真や口でいくらマイクロスコープを使って治療してると言ってもその証拠がなければ絵空事になります。
歯科治療は技術であり、技術力は症例の写真でわかります。私たちが治療で大事にしていることは「治療後の良い結果が長持ちすること」です。
そのためには、虫歯をしっかりと取り、削った部分をスムーズなラインで整え、カバーし、はみ出しがないように(フロスが引っかからないように)徹底的に研磨する、このことを大事にしています。 そのため治療途中のステップバイステップを記録し、治療後には患者様に見ていただいております。
症例集
-
虫歯の治療・ダイレクトボンディング歯をたくさん削られたくない虫歯を治したい

40代 虫歯治療 ダイレクトボンディング #67
-
神経を取りたくない・MTAセメント・歯髄保存療法虫歯の治療・ダイレクトボンディング歯が痛い歯をたくさん削られたくない神経を取りたくない虫歯を治したい

30代 虫歯治療 VPT(歯髄温存療法)ダイレクトボンディング #66
-
神経を取りたくない・MTAセメント・歯髄保存療法虫歯の治療・ダイレクトボンディング歯をたくさん削られたくない神経を取りたくない

30代 虫歯治療 VPT(歯髄温存療法)ダイレクトボンディング #65
ダイレクトボンディング
治療前の注意点
治療を決めた方へ、ご来院前に治療ごとの注意点をご確認いただき、ご来院ください。
また治療に対しての何か不明点がありましたら、来院時ご質問も受け付けておりますので、スタッフまでご確認ください。
- 過去の治療範囲が広い歯には適応できない可能性があります
- クオリティが治療する歯科医師の技術に左右されます
- 噛み合わせや経年劣化により割れる・欠ける症例が報告されています
ダイレクトボンディング
治療の料金
| 料金 | ¥110,000 |
|---|
※税込み
おそらく保険でできるレジン(歯科用プラスチック)充填なら数千円でできることが、なぜ10万円もするのかと思われる方もいらっしゃるかもしれません。
これは技術の差です。すなわち、治療にかかる時間×やっている治療内容のクオリティの高さになります。マイクロスコープや接着技術を応用したダイレクトボンディングはその治療結果を長持ちさせるためにこだわればこだわりほどいい結果になります。
私たちの理想とする治療を追求すればよりこだわった方法を選び治療することができるので、その結果医療費がかかります。
限られた治療内容、保険点数ありきではクオリティの高い治療成果は難しくなってしまうのです。
虫歯が進行して
しまった場合

虫歯の治療後に対して有効なダイレクトボンディングですが、削る範囲が広くなるほど進行してしまっている場合、歯の奥の神経部分(歯髄)まで進んだ中等度~重度の虫歯の場合や、神経を治療処置してから被せ物(クラウン)を施していきます。
当クリニックではこの歯の神経をできるだけ抜かないように処置する歯髄保存療法を行っています。
ダイレクトボンディングのよくある質問
Q. どのくらいの期間もちますか?
最新のシステマティックレビューでは”コンポジットレジン修復の5年生存率は90%超”※1、”奥歯におけるコンポジットレジンの10年成功率はおよそ90%”※2、”奥歯におけるコンポジットレジン修復の生存中央値は11年”※3といった報告が相次いでいます。それぞれ治療した歯や設備、治療ステップなどの環境は違うと思われますが、それでもこれだけの結果が出ています。適応の歯を見極めて、丁寧に治療を行えば10年生存くらいは十分狙っていける治療であると思います。ただ一方で齲蝕のリスクが高い場合や歯軋りがある場合では生存率が下がるとも言われているのでそういった場合は注意が必要です。そして最悪治療がダメになってしまったとしても歯を削る量を最小限に抑えられているので再びダイレクトボンディングをしたり、被せ物にしたりすることが可能です。その辺りも総合して考えれば歯自体はさらに長く持つということも言えるでしょう。
※1Clinical Longevity of Direct Dental Restorations: An Umbrella Review of Systematic Reviews (Eduardo Fernández et al.,2025)
※2 Clinical Performance of Resin Composite Restorations in Posterior Teeth: A Review (Pancu Galina et al.,2024)
※3 Longevity of Amalgam Versus Composite Resin Restorations in Permanent Posterior Teeth: A Systematic Review(Sumita Bhagwat et al.,2025)
Q. 変色することはありますか?
巷でよく言われるダイレクトボンディングのデメリットですが、近年のコンポジットレジンは優秀で変色が少ないと言われています。良い材料を使い、しっかりとした治療を行えば変色も気にならないと考えています。以下に7年経過のダイイレクトボンディングがありますが、皆さんは変色したと感じますか?


Q. 変色した場合はどうすればよいですか?
近年のコンポジットレジンは物性が良くなっていますので特別変色について心配することはありません。しかし10年を超える期間で使用していると微妙な色調の変化が見られる場合もあります。そうした場合でも表面を研磨すれば綺麗になりますし、どうしても気になれば変色部分だけを薄く削って新しいレジンで修正することも容易です。それもまたダイレクトボンディングの利点の一つです。ただし周囲の歯がステインなどで着色していると、同じようにダイレクトボンディングも着色することはあります。その場合は他の歯と同様、クリーニングで綺麗にします。
Q. 治療中や治療後に痛みはありますか?
麻酔をして治療をするので、痛みを感じることはほぼありません。治療後は使用する器具(クランプやセパレーター)によって歯茎が傷つくことがありますが1週間ほどで問題なくなります。また虫歯が大きかったり歯髄温存療法を併用した場合では1週間〜1ヶ月ほどの間、歯がしみたりする場合がありますが多くの場合自然に落ち着きます。
Q. 1回の治療で終わりますか?
下高井戸デンタルオフィスではダイレクトボンディングは2回かかります。虫歯を取り除きレジンを詰める作業は基本的には1回で終わります。(ただし1歯につき、3箇所以上複雑な形の虫歯があると2回に分けます)しかし精密な適合、形態を目指すためにもう一度お越しいただき、形態修正や研磨を行っております。
Q. 治療後に欠けたり取れたりすることはありますか?
そういったトラブルがないように万全を期して治療をしておりますが、歯並び、噛み合わせや歯の状態によっては避けられない場合もあります。リスクがありそうなケースに関しては事前にご説明しているほか、トラブルが続く場合はセラミックでの治療に移行して対応しております。
Q. 他院で治療した部分のやり直しはできますか?
下高井戸デンタルオフィスは他院での治療のやり直しにも力を入れております。実際に他院の治療をやり直して欲しいとお越しになる患者様も多いです。ただ説明の行き違いからか、前医と患者様との認識に相違がある場合も多いので初回は治療をせず、資料採得と問診をさせていただいております。また基本的にその歯に関しては、治療途中であっても一からやり直しをさせていただいております。
Q. 保険治療との違いは何ですか?
一言で言えば何もかもが違います。保険治療とは全国一律の保険点数、保険収載材料にて治療を行わなければなりません。つまり保険診療で決められたルールで治療することが大切になります。すなわち保険の枠組みの中だと新しい画期的な材料やテクニックを使えないことがあるのです。保険診療では一本の歯のコンポジットレジン修復治療にかけられる時間は一般的に15分、良くて30分ほどです。現実的に治療時間の制限はあります。
保険外自由診療であれば、担当医が理想的と考える最高の材料と技術を用いて十分な治療時間を確保して治療できます。ある調査によると保険診療の6割が他院で治療した歯のやり直しをしているという報告があります。どうせ治療するなら「長持ちをする治療」をしたいと考えています。自由診療の方がそれを達成できる環境を作れるのです。
Q. 自由診療ならどこでも同じ?
自由診療であればどこで治療を受けても同じような結果が得られるのでしょうか?私たちはそうではないと考えています。そもそも「この処置とこの処置をやったらダイレクトボンディングと言える」などと決まっているわけではありません。ですから同じダイレクトボンディングであっても医院が違えばその中身が全く違う可能性があります。ダイレクトボンディングの仕上がりは術者の技量に大きく左右されます。一人一人の歯の形、並び、虫歯の範囲はどれひとつとして全く同じものはありません。こうした全く違う環境の中で理想的な形態と適合を兼ね備えた修復治療を行うには知識、経験、テクニックが全て高い水準で要求されます。一度削った歯は二度と戻ってこないのですから信頼できる先生を探して治療を受けることを強くお勧めします。その先生が今まで手がけた治療の写真や動画などを見せてもらうことも信頼できるクリニックを探すには良い方法かもしれません。
Q. 費用が高いのはなぜですか?
当院のダイレクトボンディングは決して高額とは思いません。治療費の絶対値ではなく、実際にかける時間や施術のレベルから考えると、歯を長持ちさせたい方にとっては決して高くはないと考えます。
Q. ダイレクトボンディングが向かないケースはありますか?
修復する範囲が大きくて強度が足りない場合割れてしまいます。歯軋りが強い患者さんだと、壊れやすいです。下高井戸デンタルオフィスでは1本の歯の治療であったとしても様々な治療法のメリットデメリットを詳しくご説明し治療方針をご相談させていただく時間を必ず設けています。ダイレクトボンディングができるか判断できない場合でもお気軽にご相談ください。
Q. 治療後のメンテナンスはどうすればいいですか?
メインテナンスは普通の歯と同じで構いません。詰めたコンポジットレジンは虫歯になりませんがその周りの歯質は虫歯になります。「もう治療したから」と気を抜かないようにしましょう。また万が一変色が見られたり艶が失われてきたら再度研磨することで元通りに美しくなりますので気になればご相談ください。
