Case症例集
-
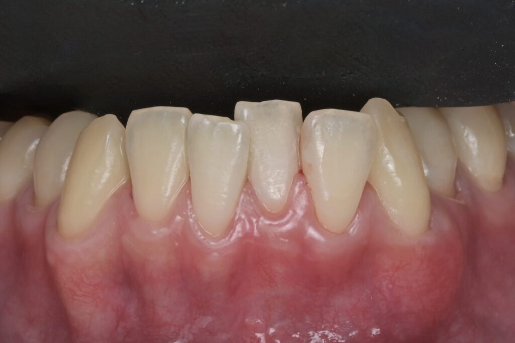
歯周病治療・歯周組織再生療法歯茎下がりの治療 根面被覆術

「歯茎下がり」を根面被覆術で治療 30代男性 下顎犬歯部
-
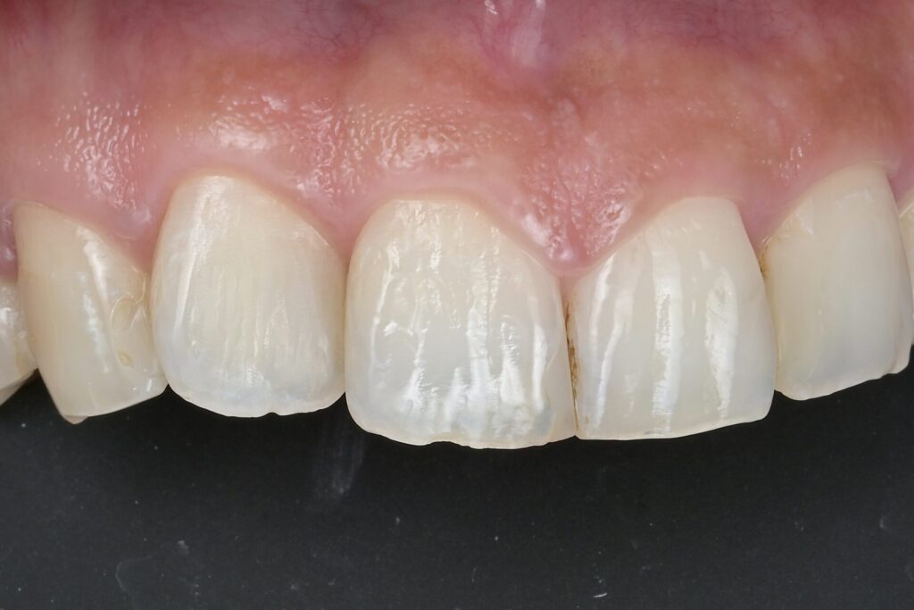
審美歯科・セラミック治療神経を取りたくない・MTAセメント・歯髄保存療法

50代 虫歯治療 VPT(歯髄温存療法)セラミック治療 e.maxテーブルトップ
-
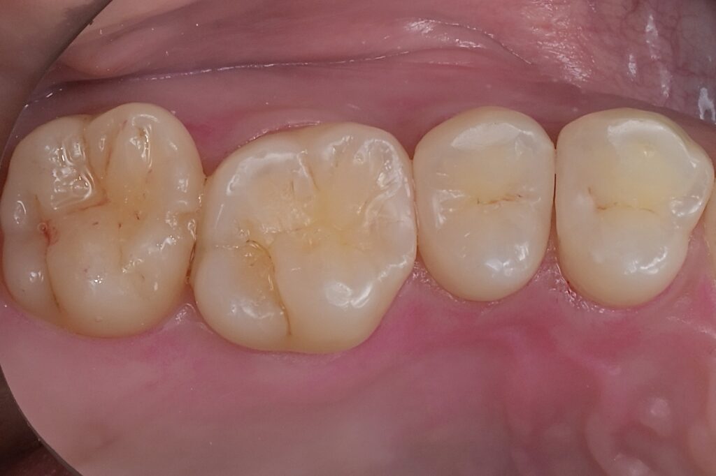
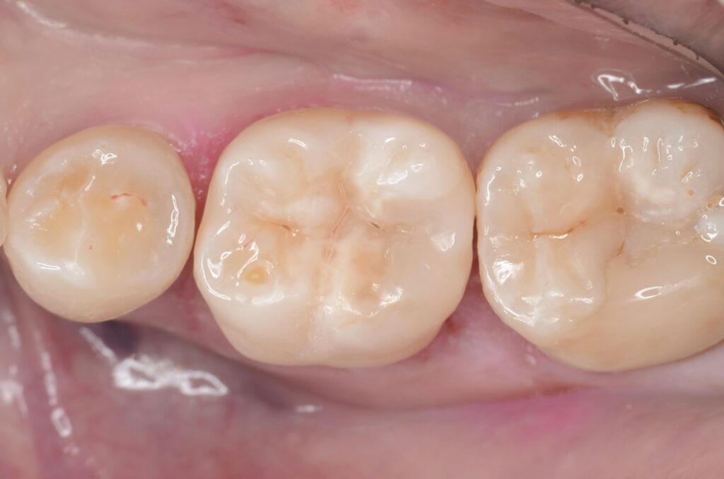
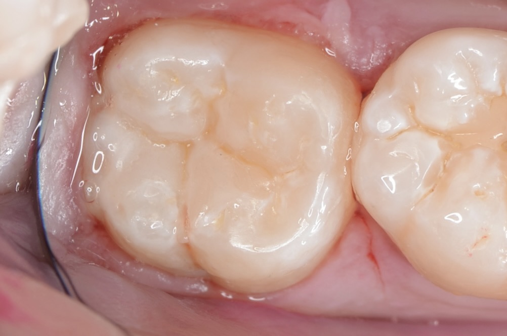
神経を取りたくない・MTAセメント・歯髄保存療法虫歯の治療・ダイレクトボンディング

30代 虫歯治療 VPT(歯髄温存療法)ダイレクトボンディング #65

About Us下高井戸デンタルオフィスについて
動画で分かる下高井戸デンタルオフィス
初めて来院の方にも安心して頂けるよう当院の治療や方針について動画で分かりやすく解説しています。
各診療について解説しているので詳しくは動画一覧をご覧ください。
YouTube
YourChannel: Wrong Shortcode Treatment診療案内
01歯髄保存治療
歯髄保存治療は、歯の神経をできるだけ残し、自然の歯を保つことを目指す治療法です。虫歯などによる歯の痛みを軽減し、歯の寿命を延ばします。
02虫歯治療(ダイレクトボンディング)
ダイレクトボンディングは、歯の欠損や小さな虫歯を即座に修復する方法です。歯と同色の材料を直接歯に盛り付け、自然な見た目と機能を取り戻します。
03歯周病・歯周組織再生療法
歯周病・歯周組織再生療法は、歯周病の進行を抑え、失われた歯周組織を再生させる治療法です。歯茎の健康を取り戻し、歯の安定性を保つ効果があります。
04精密根幹治療
1本の歯は、一生の間にわずか5回しか治療に耐えられないと言われています。すなわち5回以上治療すれば抜歯に近づくのです。
だからこそ、虫歯にしない。
万が一虫歯になってしまったら、できるだけ早めに治療する。
最小限に削って、精密に治す。隙間があれば、そこから虫歯になるから。
決して裸眼で治療はできません。それが、私たちが拡大視野で丁寧な治療にこだわる理由です。
05根面被覆術
根面被覆術(こんめんひふくじゅつ)は、露出した歯の根を自分の組織で覆い、歯茎の厚みと高さを取り戻す治療です。「歯が長くなった」「老けて見える」といった見た目の改善だけでなく、知覚過敏や将来の根面虫歯のリスクを根本から解消します。
06歯のメインテナンス
歯のメインテナンスは、定期的なチェックとクリーニングで、虫歯や歯周病を予防し、口腔内の健康を維持する重要なケアです。健康な歯を保つために欠かせません。
07審美歯科
審美歯科では素材や手法を変えながら、審美的なアプローチを提案しています。見た目にコンプレックスがあると、自信を持ちづらくなることでしょう。そういった患者様一人ひとりの、口もとの印象を改善し人生が豊かになるようにしたいと考えています。審美治療を通し、その手助けをさせてください。
08矯正治療
矯正歯科は、歯並びや咬み合わせの改善を目的とする治療です。矯正装置を使用し、美しい笑顔と健康な口腔環境を手に入れることができます。
09インプラント
インプラントは、失った歯の代わりに人工歯根を埋め込む治療法です。自然な見た目と機能を回復し、快適な咀嚼を可能にします。長期的な安定性を提供します。
10予防歯科
入れ歯は、失った歯を補うための義歯です。自然な見た目と機能を提供し、咀嚼や会話を快適にします。適切なフィット感と快適さを重視した治療が可能です。
11食育と健康
人生には食の楽しみも必要ですが美味しいものほど体に悪いと言われています。毎日の食事は、未来の自分を作ります。好きなものを好きなだけ食べて、未来の自分の体が健康な状態になるでしょうか?たまには毎日の食事をちょっとだけ振り返ってみるのも良いと思います。
健康を失うのは一瞬、取り戻すのは大変です。
過去の食事が今のあなたを作ります。
保険診療を受けられる患者様へ
保険診療において、「選定療養」の予約診療を導入しております。
選定療養費とは、通常の保険診療に加えて追加の医療サービスを選択した場合に発生する費用のことです。当院では、選定療養費をリンク先の「選定療養費について」をもとに徴収させていただきますので、ご理解ご協力をお願い申し上げます。

Web相談

当院のWeb相談ページでは、簡単な項目にお答えいただくだけで、歯科治療に関する初期相談を行うことができます。
診断結果に基づき、最適な治療方法や次のステップをご提案いたします。
お手軽にご利用いただけるようフォームを設置しておりますので、どんな些細なことでもお気軽にお問い合わせください。

「歯科の仕事ってすばらしい」
初めは不安な患者さんが徐々に変わっていく。
口腔内への意識が高くなり、健康になっていく。
長くお付き合いしていく中で、親しくなり
「ありがとう」って言ってもらえる。
歯科の仕事って素晴らしい。
