症例
お悩みから探す:
新着情報
カテゴリー:
虫歯の治療・ダイレクトボンディング
40代 虫歯治療 ダイレクトボンディング #49

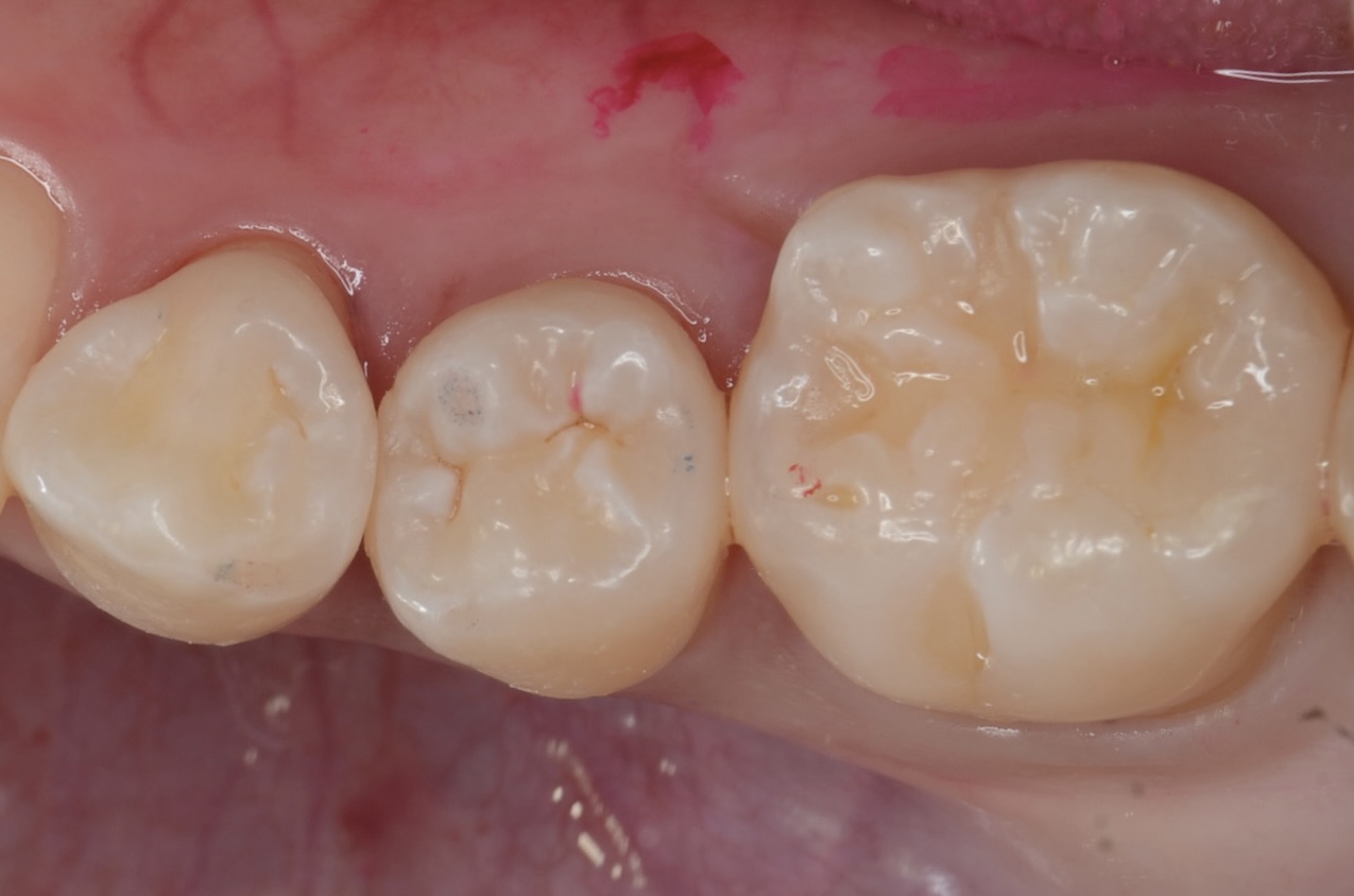
Before

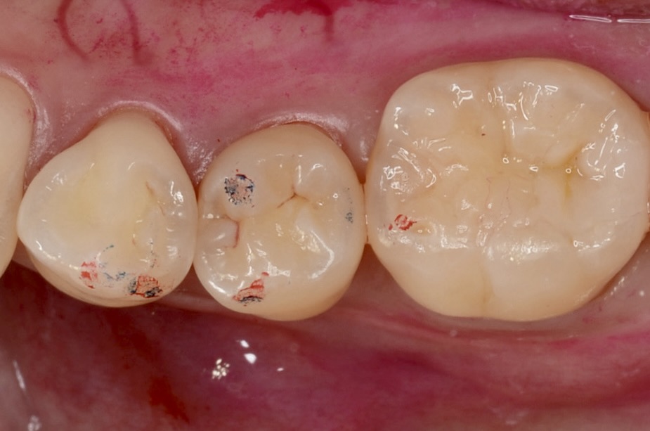
After
症例情報
| 年齢 | 40代 | 治療方法 | ダイレクトボンディング |
|---|---|---|---|
| 性別 | 女性 | 通院回数 | 2回 |
| 主訴 | できるだけ歯を削る量を少なくしてむし歯を治したい | 費用 |
115,500円(税込) |
| 治療のメリット | 歯を削る量を少なくできる・自然な見た目・境目がピッタリできる | ||
| 治療のデメリット | 大きい虫歯治療には適応できない場合がある | ||
治療詳細
調布市からお越しの患者さんです。できるだけ健康な歯を削らない治療を希望され下高井戸デンタルオフィスを受診されました。
治療経過
-

噛み合わせの確認
歯の角の部分を残す方が、歯の強度を保てます。 どこを削ってどこを削らないか?咬合紙という色をつける紙を噛んでもらって歯に色をつけます。色がついている部分をできるだけ避けて削ります。 -

舌側から見る
良く見ると4番は歯並びが少し乱れ、3番の遠心の下に食い込んでいます。 -

ホリゾンタルスロット
3番の健康な歯の部分を削る量をできるだけ少なくしたいので、歯の横からトンネルのように削っていきます。 -

青い齲蝕検知液で虫歯を染める
齲蝕検知液で染めると虫歯が歯の中で広がっているのがわかります。 -

4番近心
3番遠心部を削ってるが故に4番の近心部のアプローチがしやすくなりました。 -

3番虫歯除去
完全に虫歯を取り切りました。こんなに虫歯が広がっていたことがわかります。 -

4番虫歯除去
-

知覚過敏抑制材の塗布
念には念を入れて削った面を保護します。 -

4番ダイレクトボンディング
フロワブルレジンを用いて充填します。重合収縮をできるだけ抑えるために少しづつ積層充填しています。 -

セパレーター設置
セパレーターを使って、1ミリ程、歯間を離開させます。フロワブルレジンの表面張力を利用して滑らかな曲線をつくります。 -

レジン充填完了
フロスを通してみて適切な、きつさがあるのを確認しています。 -

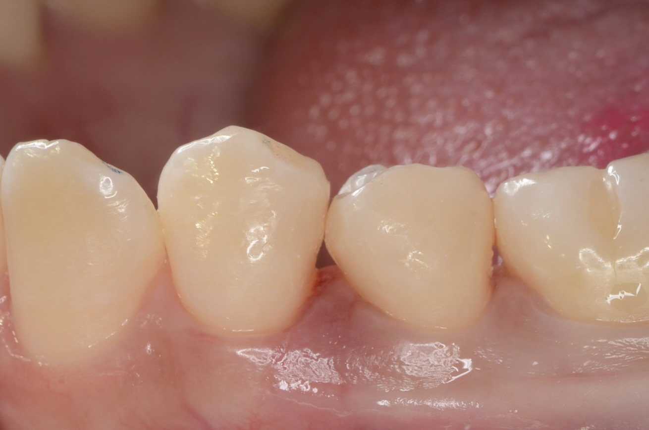
頬側面から見る
-

咬合面から見る
-

舌側面から見る
このように歯並びが若干乱れている場合の、歯と歯の間にできた虫歯治療は意外と難易度が高いです。しかしセパレーターを使って歯間離開させ、フロワブルレジンの表面張力を利用して充填すれば、滑らかで、引っ掛かりのない歯の形態を再現できます。
ダイレクトボンディングを検討されている方は、こちらのページをご覧ください。

