症例
診療科目から探す:
お悩みから探す:
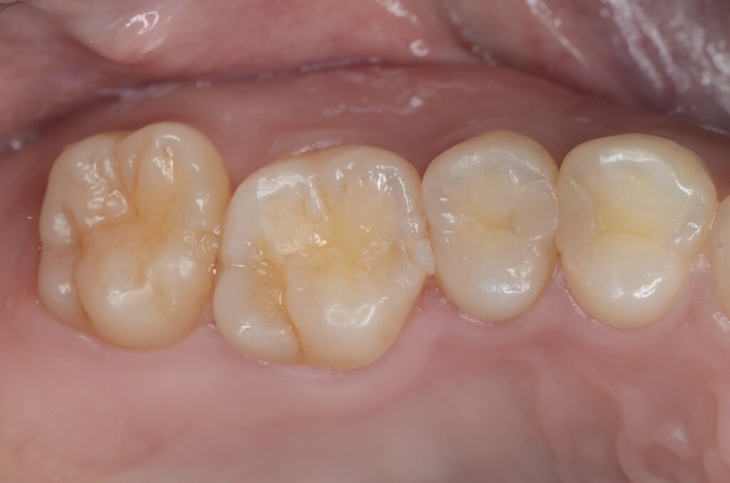
神経を取りたくない・MTAセメント・歯髄保存療法虫歯の治療・ダイレクトボンディング
30代 虫歯治療 VPT(歯髄温存療法)ダイレクトボンディング #66

Before

After
| 年齢 | 30代 | 治療方法 | VPT(歯髄温存療法)/ダイレクトボンディング |
|---|---|---|---|
| 性別 | 女性 | 通院回数 | 4回 |
| 主訴 | むし歯を治したい /神経を取りたくない | 費用 | 401,500円(税込) |
| 治療のメリット | 神経を保存できる。歯を削る量を少なくできる。自然な形にできる | ||
| 治療のデメリット | 大きい虫歯治療には適応できない場合がある | ||
神経を取りたくない・MTAセメント・歯髄保存療法虫歯の治療・ダイレクトボンディング
30代 虫歯治療 VPT(歯髄温存療法)ダイレクトボンディング #65

Before

After
| 年齢 | 30代 | 治療方法 | ダイレクトボンディング/MTAセメント |
|---|---|---|---|
| 性別 | 男性 | 通院回数 | 2回 |
| 主訴 | むし歯を治したい /神経を取りたくない | 費用 | 165,000円(税込) |
| 治療のメリット | 神経を保存できる。歯を削る量を少なくできる。自然な形にできる | ||
| 治療のデメリット | 術後、一時的に染みることがある。健全残存資質の量によってはクラウンになる場合もある | ||
小児歯科虫歯の治療・ダイレクトボンディング
10代 虫歯治療 ダイレクトボンディング #64

Before

After
| 年齢 | 10代 | 治療方法 | ダイレクトボンディング |
|---|---|---|---|
| 性別 | 男性 | 通院回数 | 2回 |
| 主訴 | むし歯を治したい | 費用 | 115,500円(税込) |
| 治療のメリット | 歯を削る量を少なくできる・自然な見た目・境目がピッタリできる | ||
| 治療のデメリット | 大きい虫歯治療には適応できない場合がある | ||
虫歯の治療・ダイレクトボンディング
30代 虫歯治療 ダイレクトボンディング #63

Before

After
| 年齢 | 30代 | 治療方法 | ダイレクトボンディング |
|---|---|---|---|
| 性別 | 男性 | 通院回数 | 2回 |
| 主訴 | できるだけ歯を削る量を少なくしてむし歯を治したい | 費用 | 115,500円(税込) |
| 治療のメリット | 歯を削る量を少なくできる・自然な見た目・境目がピッタリできる | ||
| 治療のデメリット | 大きい虫歯治療には適応できない場合がある | ||
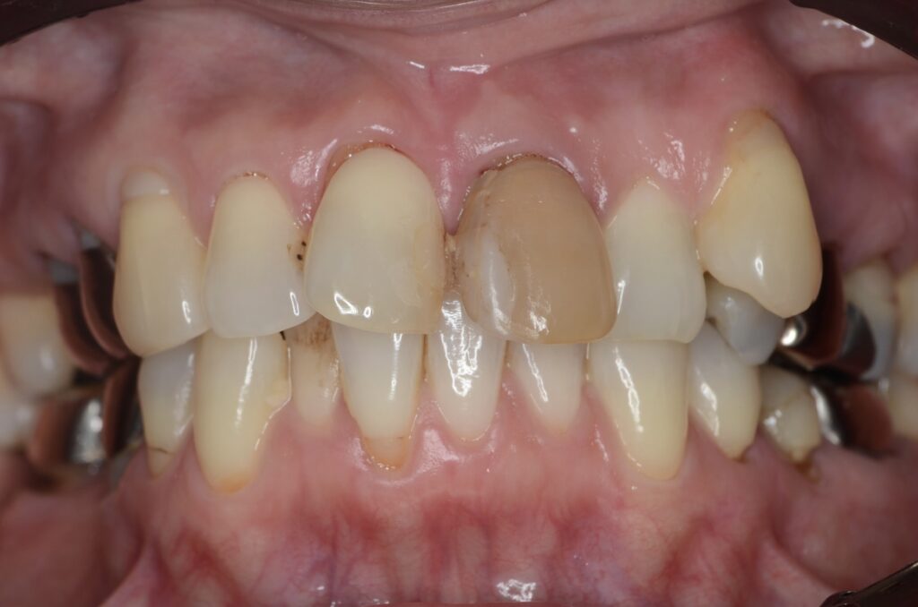
神経を取りたくない・MTAセメント・歯髄保存療法虫歯の治療・ダイレクトボンディング
10代 虫歯治療 VPT(歯髄温存療法)ダイレクトボンディング #62

Before

After
| 年齢 | 10代 | 治療方法 | VPT(歯髄温存療法)/ダイレクトボンディング |
|---|---|---|---|
| 性別 | 男性 | 通院回数 | 1回 |
| 主訴 | むし歯を治したい。神経をとりたくない。 | 費用 | 165,000円(税込) |
| 治療のメリット | 神経を保存できる。歯を削る量を少なくできる。自然な形にできる | ||
| 治療のデメリット | 大きい虫歯治療には適応できない場合がある | ||
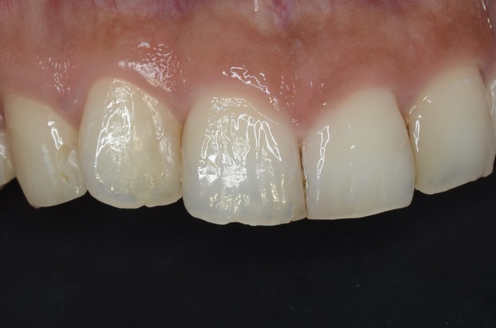
入れ歯(義歯)虫歯の治療・ダイレクトボンディング部分床義歯
40代 虫歯治療・ダイレクトボンディング &目立たない義歯 #61

Before

After
| 年齢 | 40代 | 治療方法 | ダイレクトボンディング/エステティックデンチャー(スマートデンチャー・ノンクラスプデンチャーとも呼ばれます) |
|---|---|---|---|
| 性別 | 女性 | 通院回数 | 12回 |
| 主訴 | 前歯の治療の続きをしてほしい | 費用 | 495,000円(税込) |
| 治療のメリット | 歯を削る量を少なくできる・自然な見た目・境目がピッタリできる。治療期間は短い | ||
| 治療のデメリット | 入れ歯は管理が面倒 | ||
虫歯の治療・ダイレクトボンディング
10代 虫歯治療 ダイレクトボンディング #60

Before

After
| 年齢 | 10代 | 治療方法 | ダイレクトボンディング |
|---|---|---|---|
| 性別 | 男性 | 通院回数 | 2回 |
| 主訴 | むし歯を治したい | 費用 | 55,000円(税込) |
| 治療のメリット | 歯を削る量を少なくできる・自然な見た目・境目がピッタリできる | ||
| 治療のデメリット | 大きい虫歯治療には適応できない場合がある | ||
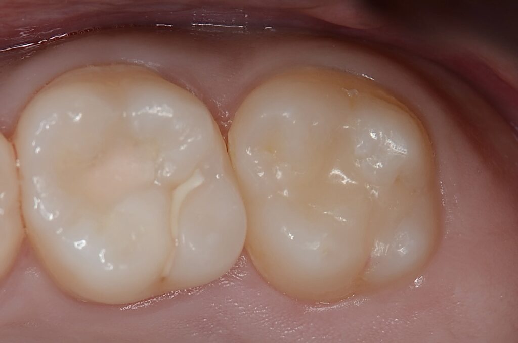
審美歯科・セラミック治療虫歯の治療・ダイレクトボンディング
20代 虫歯治療 ジルコニアインレー・ダイレクトボンディング #59

Before

After
| 年齢 | 20代 | 治療方法 | ダイレクトボンディング/ジルコニアインレー |
|---|---|---|---|
| 性別 | 女性 | 通院回数 | 4回 |
| 主訴 | むし歯を治したい 。歯を白くしたい | 費用 | 242,000円(税込) |
| 治療のメリット | 歯を削る量を少なくできる・自然な見た目・境目がピッタリできる | ||
| 治療のデメリット | 大きい虫歯治療には適応できない場合がある | ||
虫歯の治療・ダイレクトボンディング
20代 虫歯治療 ダイレクトボンディング #58

Before

After
| 年齢 | 20代 | 治療方法 | ダイレクトボンディング |
|---|---|---|---|
| 性別 | 女性 | 通院回数 | 3回 |
| 主訴 | どこかわからないが、とにかく歯が痛い | 費用 | 115,500円(税込) |
| 治療のメリット | 歯を削る量を少なくできる・自然な見た目・境目がピッタリできる | ||
| 治療のデメリット | 大きい虫歯治療には適応できない場合がある | ||
虫歯の治療・ダイレクトボンディング
20代 虫歯治療 ダイレクトボンディング #57

Before

After
| 年齢 | 20代 | 治療方法 | ダイレクトボンディング |
|---|---|---|---|
| 性別 | 男性 | 通院回数 | 2回 |
| 主訴 | むし歯を治したい | 費用 | 115,500円(税込) |
| 治療のメリット | 歯を削る量を少なくできる・自然な見た目・境目がピッタリできる | ||
| 治療のデメリット | 大きい虫歯治療には適応できない場合がある | ||

