症例
お悩みから探す:
新着情報
カテゴリー:
虫歯の治療・ダイレクトボンディング
40代 虫歯治療 ダイレクトボンディング #51

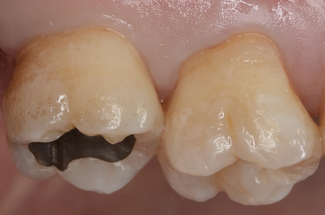
Before

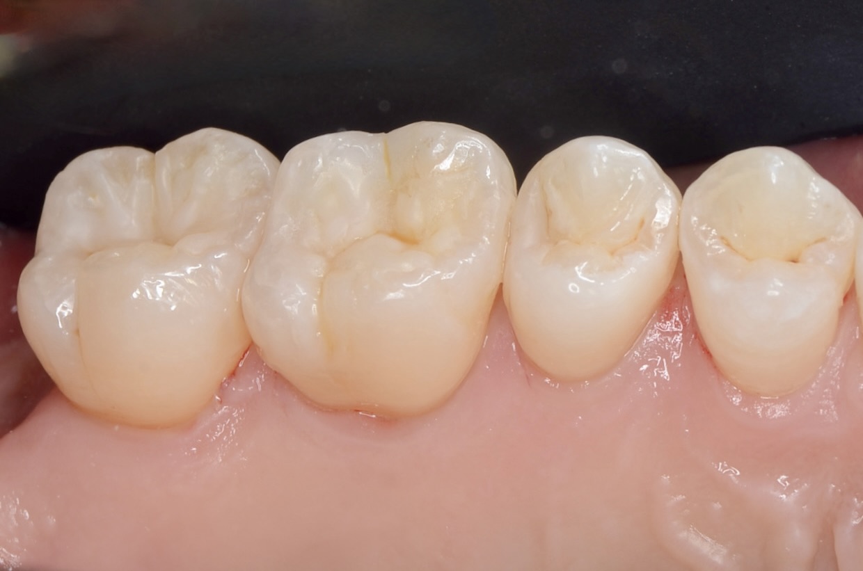
After
症例情報
| 年齢 | 40代 | 治療方法 | ダイレクトボンディング |
|---|---|---|---|
| 性別 | 男性 | 通院回数 | 3回 |
| 主訴 | できるだけ歯を削る量を少なくしてむし歯を治したい | 費用 |
115,500円(税込) |
| 治療のメリット | 歯を削る量を少なくできる・自然な見た目・境目がピッタリできる | ||
| 治療のデメリット | 大きい虫歯治療には適応できない場合がある | ||
治療経過
-

セパレートゴム
7番と6番の間に虫歯があります。できるだけ健康な歯を削りたくないので矯正用のセパレートゴムを1週間入れておきます。 -

歯間離開確認
ゴムを外すと隙間ができています。そこから覗くと7番の近心に虫歯が見えます。 -

6番遠心の虫歯
6番の遠心にも虫歯が見えます。 -

7番近心 頬側から見る
ホリゾンタルスロットテクニックにて横から虫歯を取り除きます。歯の角の部分を残すと強度を保てます。 -

7番近心 口蓋側から見る
トンネルが口蓋側まで貫通しています。 -

充填終了
わざと歯と歯の間の隙間を残します。 -

1週間後
歯と歯の間の隙間は閉じています。フロスを入れてみて歯間のキツさを確認しました。問題ありませんでした。 -

ラバーダム装着
7番のインレーを外します。 -

インレー
インレーの下の虫歯を除去します。 -

知覚過敏抑制材
虫歯を削った後は、知覚過敏抑制材を刷り込みます。 -

ダイレクトボンディング
象牙質の範囲まで、濃い目の色のレジンを充填します。中の色を濃くしておくと、最終的に僅かに透けて立体感が出ます。 -

充填完了
天然歯の形態を模倣して滑らかに仕上げました。 -

1週間後研磨
歯垢が付きにくいように、歯と歯の間、歯とレジンの境目を丁寧に研磨します。 -

口蓋側よりから見る
滑らかで美しい仕上がりに患者さんも満足されました。 -

頬側よりから見る
ダイレクトボンディングを検討されている方は、こちらのページをご覧ください。

