症例
診療科目から探す:
お悩みから探す:
審美歯科・セラミック治療虫歯の治療・ダイレクトボンディング
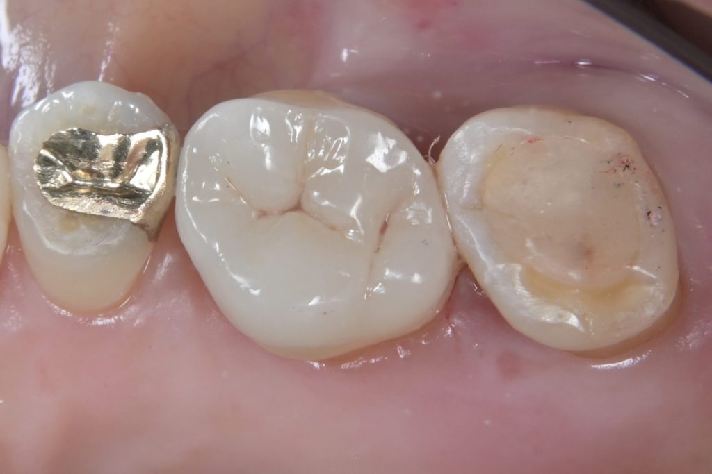
20代 虫歯治療 ジルコニアインレー・ダイレクトボンディング #59

Before

After
| 年齢 | 20代 | 治療方法 | ダイレクトボンディング/ジルコニアインレー |
|---|---|---|---|
| 性別 | 女性 | 通院回数 | 4回 |
| 主訴 | むし歯を治したい 。歯を白くしたい | 費用 | 242,000円(税込) |
| 治療のメリット | 歯を削る量を少なくできる・自然な見た目・境目がピッタリできる | ||
| 治療のデメリット | 大きい虫歯治療には適応できない場合がある | ||
審美歯科・セラミック治療虫歯の治療・ダイレクトボンディング
60代 審美治療 ジルコニアクラウン・虫歯治療 ダイレクトボンディング#55

Before

After
| 年齢 | 60代 | 治療方法 | ジルコニアクラウン/ダイレクトボンディング |
|---|---|---|---|
| 性別 | 女性 | 通院回数 | 6回 |
| 主訴 | 前歯を綺麗にしたい・歯を削る量を少なくしたい | 費用 | 308,000円(税込) |
| 治療のメリット | 歯を削る量を少なくできる・自然な見た目・境目がピッタリできる | ||
| 治療のデメリット | 大きい虫歯治療には適応できない場合がある | ||
審美歯科・セラミック治療神経を取りたくない・MTAセメント・歯髄保存療法
20代 虫歯治療 VPT(歯髄温存療法)歯冠長延長術 e.maxテーブルトップ

Before

After
| 年齢 | 20代 | 治療方法 | VPT(歯髄温存療法)/歯冠長延長術/e・max テーブルトップ |
|---|---|---|---|
| 性別 | 女性 | 通院回数 | 10回 |
| 主訴 | むし歯を治したい /神経を取りたくない | 費用 | 429,000円(税込) |
| 治療のメリット | 歯を残すことができる・歯を削る量を少なくできる・自然な見た目・境目がピッタリできる | ||
| 治療のデメリット | 術後、一時的に染みることがある。神経を保存できないこともある。健全歯質が少ないとクラウンになる場合もあります。 | ||
審美歯科・セラミック治療虫歯の治療・ダイレクトボンディング
50代 虫歯治療 ダイレクトボンディング #45

Before

After
| 年齢 | 50代 | 治療方法 | ダイレクトボンディング |
|---|---|---|---|
| 性別 | 女性 | 通院回数 | 2回 |
| 主訴 | 歯が折れたので、だイレクトボンディングで治したい | 費用 | 115,500円(税込) |
| 治療のメリット | 歯を削る量を少なくできる・自然な見た目・境目がピッタリできる | ||
| 治療のデメリット | 大きい虫歯治療には適応できない場合がある | ||
審美歯科・セラミック治療神経を取りたくない・MTAセメント・歯髄保存療法
20代 虫歯治療 VPT(歯髄温存療法)e.maxテーブルトップ

Before

After
| 年齢 | 20代 | 治療方法 | VPT(歯髄温存療法)/e.maxテーブルトップ |
|---|---|---|---|
| 性別 | 女性 | 通院回数 | 5回 |
| 主訴 | むし歯を治したい /神経を取りたくない | 費用 | 225,500円(税込) |
| 治療のメリット | 神経を保存できる・歯を削る量を少なくできる・自然な見た目・境目がピッタリできる | ||
| 治療のデメリット | 術後、一時的に染みることがある。神経を保存できないこともある | ||
審美歯科・セラミック治療虫歯の治療・ダイレクトボンディング
40代 虫歯治療 ダイレクトボンディング #30

Before

After
| 年齢 | 40代 | 治療方法 | ダイレクトボンディング |
|---|---|---|---|
| 性別 | 男性 | 通院回数 | 3回 |
| 主訴 | できるだけ歯を削る量を少なくしてむし歯を治したい | 費用 | 231,000円(税込) |
| 治療のメリット | 歯を削る量を少なくできる・自然な見た目・境目がピッタリできる | ||
| 治療のデメリット | 大きい虫歯治療の跡には適応できません。 | ||
インプラント審美歯科・セラミック治療
50代男性 歯根破折で抜歯になりインプラントで治す

Before

After
| 年齢 | 50代 | 治療方法 | インプラント |
|---|---|---|---|
| 性別 | 男性 | 通院回数 | 10回 |
| 主訴 | インプラントを入れたい | 費用 | 797,500円(税込) |
| 治療のメリット | 入れ歯と比べてしっかり噛むことができる | ||
| 治療のデメリット | 手術が必要 | ||
審美歯科・セラミック治療歯周病治療・歯周組織再生療法補綴のための歯周外科処置
50代 虫歯がひどい歯を歯周外科とジルコニアクラウンで治す

Before

After
| 年齢 | 50代 | 治療方法 | 歯冠長延長術 ジルコニアクラウン |
|---|---|---|---|
| 性別 | 女性 | 通院回数 | 15回 |
| 主訴 | 歯を抜きたくない。 | 費用 | 374,000(円税込) |
| 治療のメリット | 歯を抜かずに使える | ||
| 治療のデメリット | 神経のない歯は将来的に割れる可能性がある | ||
インプラント審美歯科・セラミック治療
40代男性 歯根嚢胞が原因で抜歯になりインプラントで治療する

Before

After
| 年齢 | 40代 | 治療方法 | インプラント・ジルコニアクラウン |
|---|---|---|---|
| 性別 | 男性 | 通院回数 | 28回 |
| 主訴 | 歯茎が腫れて痛い | 費用 | 869,000円(税込) |
| 治療のメリット | よく噛める、ブリッジのように隣の歯を削ることはない | ||
| 治療のデメリット | 骨がないとインプラントを入れられない。手術をすることになる | ||
審美歯科・セラミック治療
50代 虫歯治療 テーブルトップ

Before

After
| 年齢 | 50代 | 治療方法 | テーブルトップ/セラミックアンレー |
|---|---|---|---|
| 性別 | 女性 | 通院回数 | 4回 |
| 主訴 | 詰め物が取れた/むし歯を治したい | 費用 | 165,000円(税込) |
| 治療のメリット | 歯を削る量を少なくできる・自然な見た目・境目がピッタリできる | ||
| 治療のデメリット | セラミックが、欠ける可能性がある | ||

