症例
お悩みから探す:
新着情報
カテゴリー:
審美歯科・セラミック治療虫歯の治療・ダイレクトボンディング
20代 虫歯治療 ジルコニアインレー・ダイレクトボンディング #59

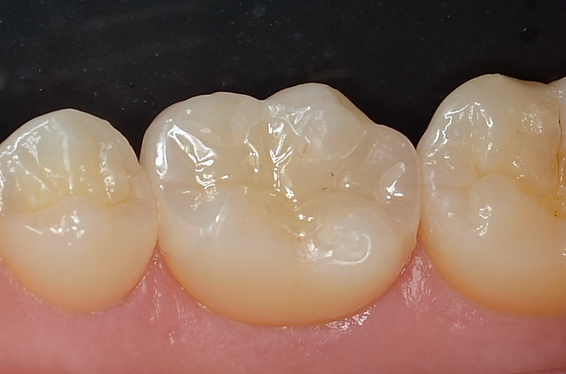
Before

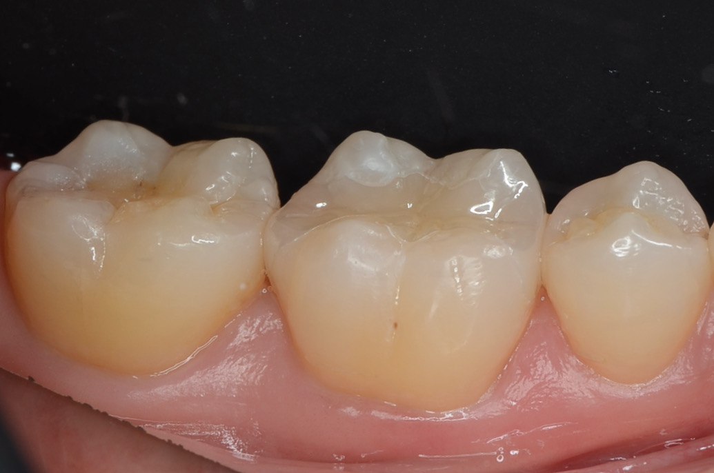
After
症例情報
| 年齢 | 20代 | 治療方法 | ダイレクトボンディング/ジルコニアインレー |
|---|---|---|---|
| 性別 | 女性 | 通院回数 | 4回 |
| 主訴 | むし歯を治したい 。歯を白くしたい | 費用 |
242,000円(税込) |
| 治療のメリット | 歯を削る量を少なくできる・自然な見た目・境目がピッタリできる | ||
| 治療のデメリット | 大きい虫歯治療には適応できない場合がある | ||
治療経過
-

レントゲン写真
銀歯のある歯の前後の歯にも虫歯があります。 -

透照診 右下5番遠心
暗がりの中、光を当てると虫歯の微分が黒く見えます。 -

透照診 右下7番近心
暗がりの中、光を当てると虫歯の微分が黒く見えます。 -

銀歯を外す
幸いにも銀歯の下の虫歯は大きくありませんでした。 -

5番遠心
虫歯が齲蝕検知液で青く染まります。 -

虫歯除去
虫歯が齲蝕検知液で染まらなくなるまで削ると、結構な大きさの虫歯であったことがわかります。 -

ダイレクトボンディング
フロワブルレジンを用いて、その表面張力を利用して滑らかで段差のないレジン充填を実現させます。 -

6番遠心
-

虫歯除去(途中)
-

7番近心
-

虫歯除去
-

7番近心ダイレクトボンディング
フロワブルレジンを用いて、その表面張力を利用して滑らかで段差のないレジン充填を実現させます。 -

6番形成終了
象牙質の部分はIDSと言って、レジンコーティングしていますので、滲みにくくなります。また接着効果を高めます。 -

色合わせ
ジルコニアインレーの色合わせをしたのちに、型取りします。 -

ジルコニアインレーの接着操作
唾液や血液から歯面が汚染されるのを防ぎ、乾燥状態を保つラバーダムは、接着力を向上させるためにも大切なアイテムです。 接着剤が隣の歯にかからないようにテープで養生します。 -

レジンセメント硬化
ジルコニアインレーを光硬化型のレジンセメントにて接着します。 -

ジルコニアインレーセット直後
ここからハミ出したレジンセメントを除去します。 -

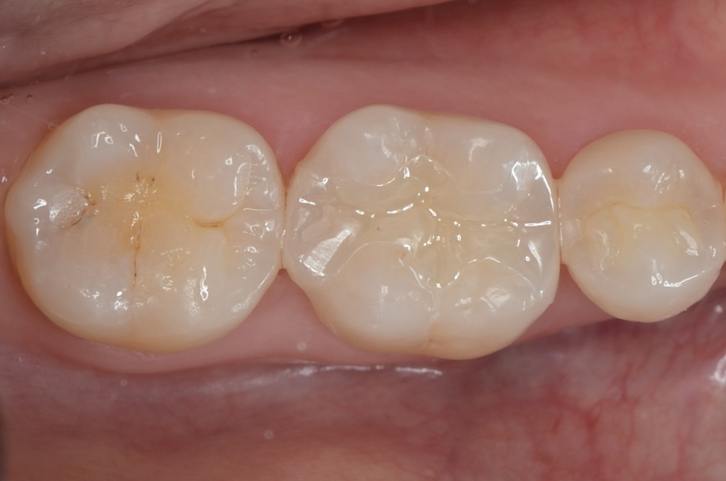
研磨終了
噛み合わせの調整をした後に、」段差の部分をしつこく研磨します。 -

研磨終了
-

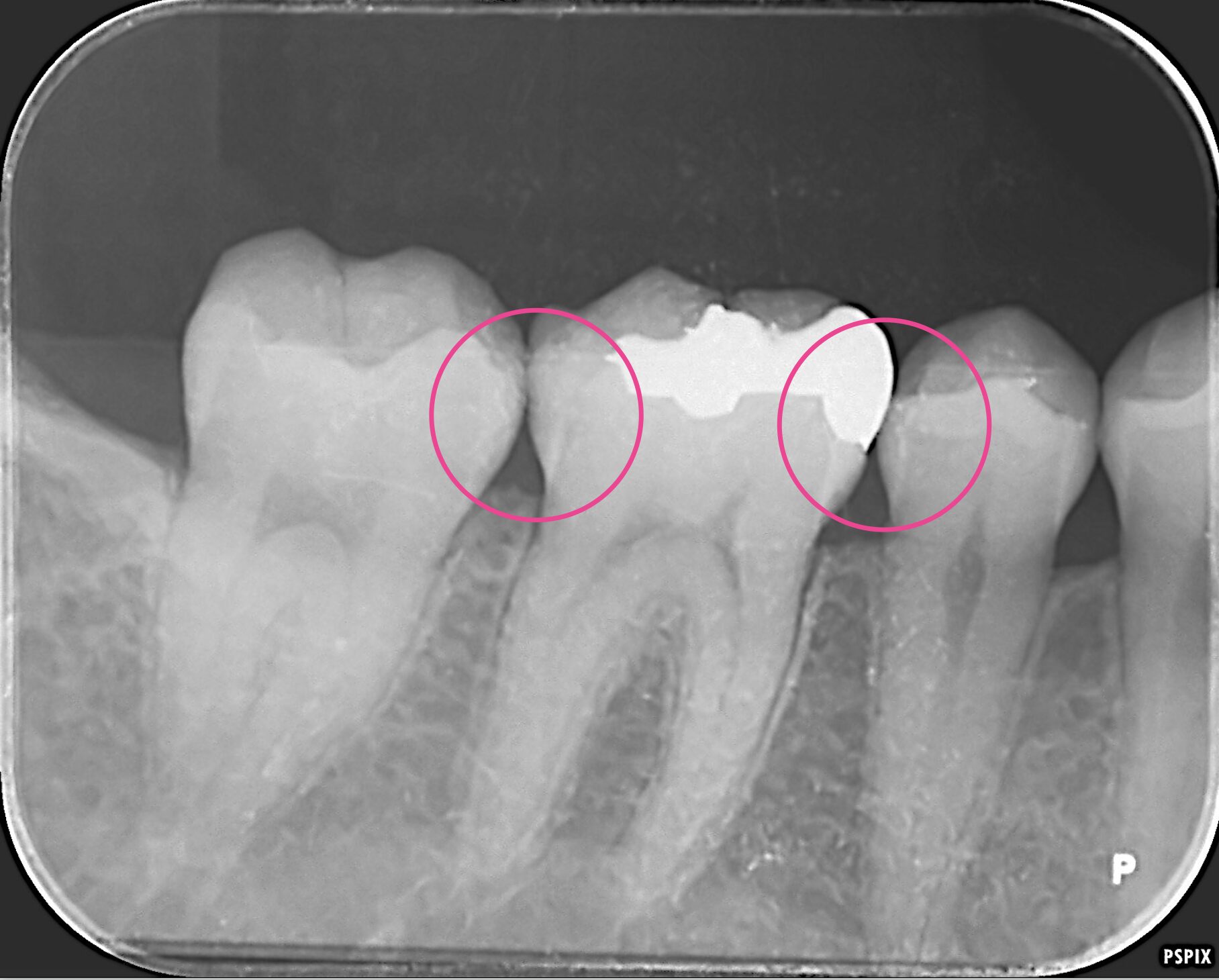
レントゲン写真
段差なくジルコニアインレーがセットされたことを確認できます。
ダイレクトボンディングを検討されている方は、こちらのページをご覧ください。

