症例
お悩みから探す:
新着情報
カテゴリー:
審美歯科・セラミック治療
50代 虫歯治療 テーブルトップ

Before

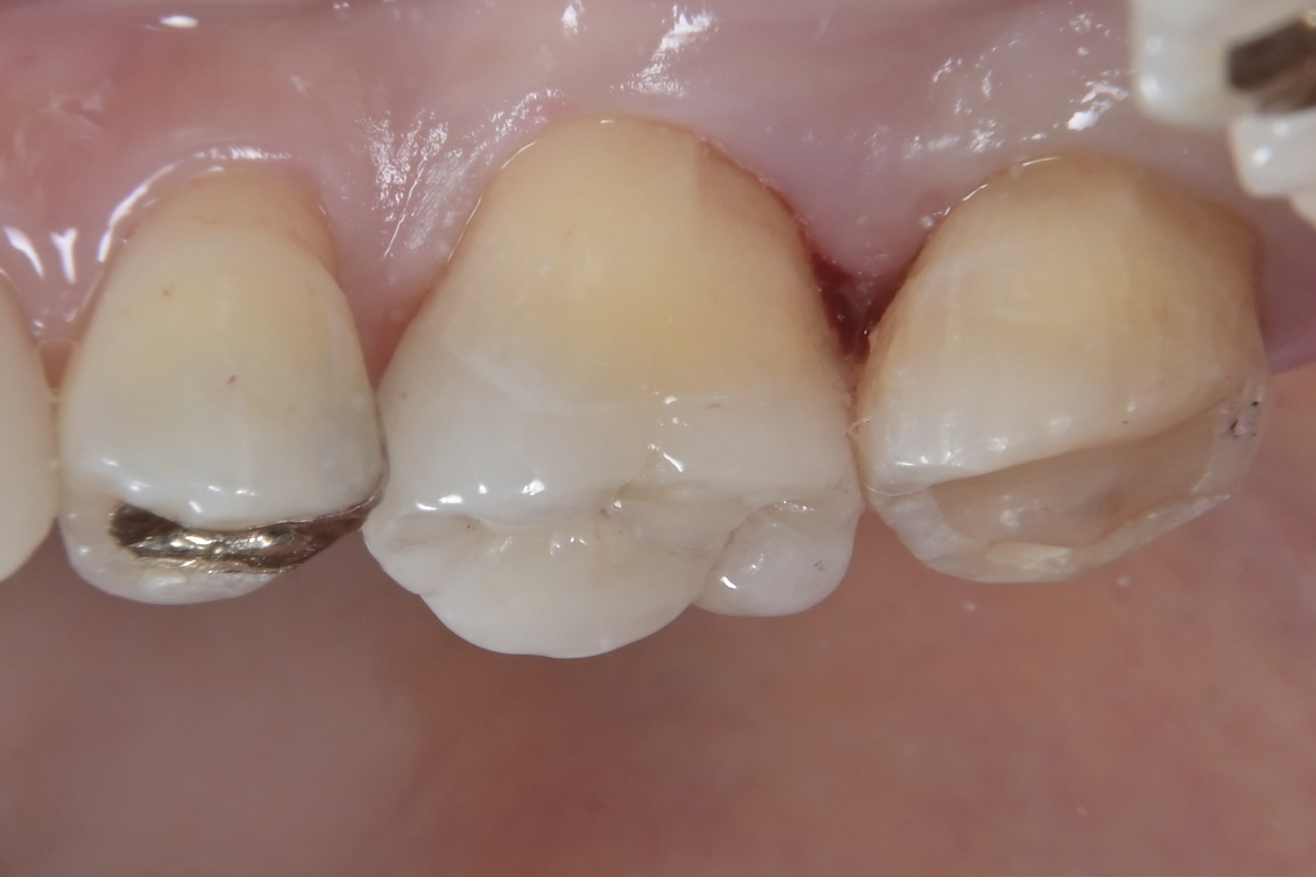
After
症例情報
| 年齢 | 50代 | 治療方法 | テーブルトップ/セラミックアンレー |
|---|---|---|---|
| 性別 | 女性 | 通院回数 | 4回 |
| 主訴 | 詰め物が取れた/むし歯を治したい | 費用 |
165,000円(税込) |
| 治療のメリット | 歯を削る量を少なくできる・自然な見た目・境目がピッタリできる | ||
| 治療のデメリット | セラミックが、欠ける可能性がある | ||
治療経過
-

印象前
虫歯を取り除き、レジンにて埋めた後に綺麗に削りました。ここから型取りをします。 -

接着
シーティングのジグ(緑色の器具)を使って、テーブルトップがずれないようにします。 -

接着
紫外線で固まる接着剤を使って、テーブルトップを接着します。 -

余剰セメントの除去
歯石をとるキュレットという刃物ではみ出したレジンセメントを剥がしていきます。 -

研磨1
セラミックのテーブルトップと、歯の境目を荒研磨します。 -

研磨2
セラミックのテーブルトップと、歯の境目を仕上げ研磨します。 -

完成
-

側方面観
セラミックと歯が馴染んでいます -

口蓋側面観
噛み合わせもシビアに調整しています。

