症例
お悩みから探す:
新着情報
カテゴリー:
審美歯科・セラミック治療歯周病治療・歯周組織再生療法補綴のための歯周外科処置
50代 虫歯がひどい歯を歯周外科とジルコニアクラウンで治す

Before

After
症例情報
| 年齢 | 50代 | 治療方法 | 歯冠長延長術 ジルコニアクラウン |
|---|---|---|---|
| 性別 | 女性 | 通院回数 | 15回 |
| 主訴 | 歯を抜きたくない。 | 費用 |
374,000(円税込) |
| 治療のメリット | 歯を抜かずに使える | ||
| 治療のデメリット | 神経のない歯は将来的に割れる可能性がある | ||
治療経過
-

保険治療のクラウンで
-

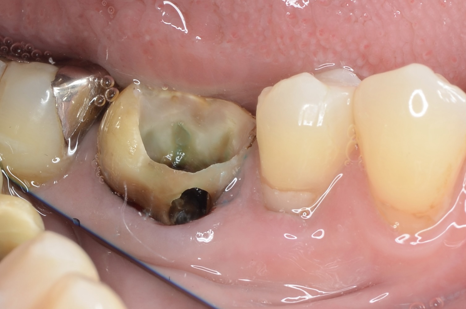
クラウン除去
-

レジンコア除去後
-
歯頸部の歯肉縁下にまで虫歯が広がっていました。 通常であれば、抜歯になります。 -

隔壁
一旦、穴を塞ぎラバーダムがかけられるようにレジンで隔壁を作成します。その後根管治療を行います。 -

7番抜歯
根管治療後、ファイバーコアを築造し7番を抜歯しました。 -

術前
ヨードで染めると角化歯肉幅は十分あります。 -

術前
ヨードで染めると角化歯肉幅は十分あります。 -

骨外科処置
-

骨外科処置
隣在歯との骨の高さのバランスを見ながら歯槽骨を削り歯根を露出させます。 -

術後6ヶ月
歯肉は安定しました。ここから印象します。 -

-

ジルコニアクラウン
綺麗に補綴できました。 -


