症例
お悩みから探す:
新着情報
カテゴリー:
審美歯科・セラミック治療神経を取りたくない・MTAセメント・歯髄保存療法
20代 虫歯治療 VPT(歯髄温存療法)歯冠長延長術 e.maxテーブルトップ

Before

After
症例情報
| 年齢 | 20代 | 治療方法 | VPT(歯髄温存療法)/歯冠長延長術/e・max テーブルトップ |
|---|---|---|---|
| 性別 | 女性 | 通院回数 | 10回 |
| 主訴 | むし歯を治したい /神経を取りたくない | 費用 |
429,000円(税込) |
| 治療のメリット | 歯を残すことができる・歯を削る量を少なくできる・自然な見た目・境目がピッタリできる | ||
| 治療のデメリット | 術後、一時的に染みることがある。神経を保存できないこともある。健全歯質が少ないとクラウンになる場合もあります。 | ||
治療経過
-

治療前
古いレジンの周囲に亀裂があります。 -

歯垢染め出し
歯垢は接着操作を妨げます。治療前には、必ず歯垢染め出し液により歯垢を見える化し、その後ジェットパウダークリーニングにより徹底的に除去します。保険診療ではここまでする事はほとんどありません。 染め出すと、亀裂が目立ちます。 -

旧レジン除去
古いレジンを取り除きました。薄くなっている歯質は、深く亀裂が入っていて、割れてしまいました。 -

薄い歯質を除去
歯茎より深く虫歯が進行していました。 このままではラバーダムを装着できません。防湿できない状態での治療は著しく治療結果の低下を招きます。。 -

歯肉切除
電気メスにて歯肉を切除します。出血を抑えるために青いテフロンテープを歯肉と脂質の間に入れます。 -

隔壁・ラバーダム
レジンで壁を作った後に、ようやくラバーダムを装着できます。世間の通常の保険診療ではここまですることはないでしょう。虫歯治療においてもラバーダム装着は必須です。 唾液や血液から歯面が汚染されるのを防ぎ、乾燥状態を保つラバーダムは、接着力を向上させるためにも大切なアイテムです。 -

露髄
青い齲蝕検知液で虫歯を染めて染まった部分を削ります。この工程を青く染まらなくなるまで歯にできるだけダメージがないように優しい力で丁寧に行います。この作業は時間がかかります。 虫歯が神経までいっていました。歯から出血してきます。 数分後に自然止血しました。マイクロスコープで神経の状態を確認し保存できると判断しました。 -

MTAセメント
MTAセメントを充填しました。MTAセメントは弱アルカリ性で象牙祭管内の細菌を殺菌します。また正体親和性が高くセメント質の形成を誘導します。 -

スーパーボンド
MTAセメントは硬化に数時間かかります。象牙質に強固に接着するスーパーボンドでMTAセメントを覆います。 -

レジン充填
テーブルトップにするので、一旦レジンで埋めました。 -

歯冠長延長術
歯茎の中深くまで虫歯になっていたので、歯茎の厚みを薄くして、数ミリ骨も削りました。 -

術後1ヶ月
歯茎を中抜きすることによって遠心歯肉の高さが低くなりました。これで、テーブルトップを作りやすくなります。 -

テーブルトップの形成
エナメル質の断面ができるだけ最大になるように、かつ不必要に歯を削らないように形を整えます。 -

IDS(即時象牙質レジン封鎖処置)
削った象牙質の断面を即座にレジンで薄くコーティングします。これによって染みるのを防ぐのと、セラミックとの接着力を向上させます。 -

仮歯
印象後、削った面を保護するためにレジン製の仮歯を入れます。テーブルトップ完成まで10~14日かかります。 -

e・MAX テーブルトップ
型取りをしてe・MAX テーブルトップを作ります。 -

診断用ワックスアップとの比較
事前に、理想的な形態を模型上にワックス(ベージュ色)で作ります。それをもとに歯を削る量を決めます。 -

シーティングジグ
テーブルトップを接着するときに使うレジン製の器具です。 -

接着操作
シーティングジグでテーブルトップをずれないように抑えながら接着します。左手でジグを押さえながら右手で、はみ出したレジンセメントを拭いながら操作します。 -

酸素遮断材塗布
レジンは酸素を遮断して重合させると、完全に硬化します。そこで酸素遮断材を塗布して最終硬化させます。 -

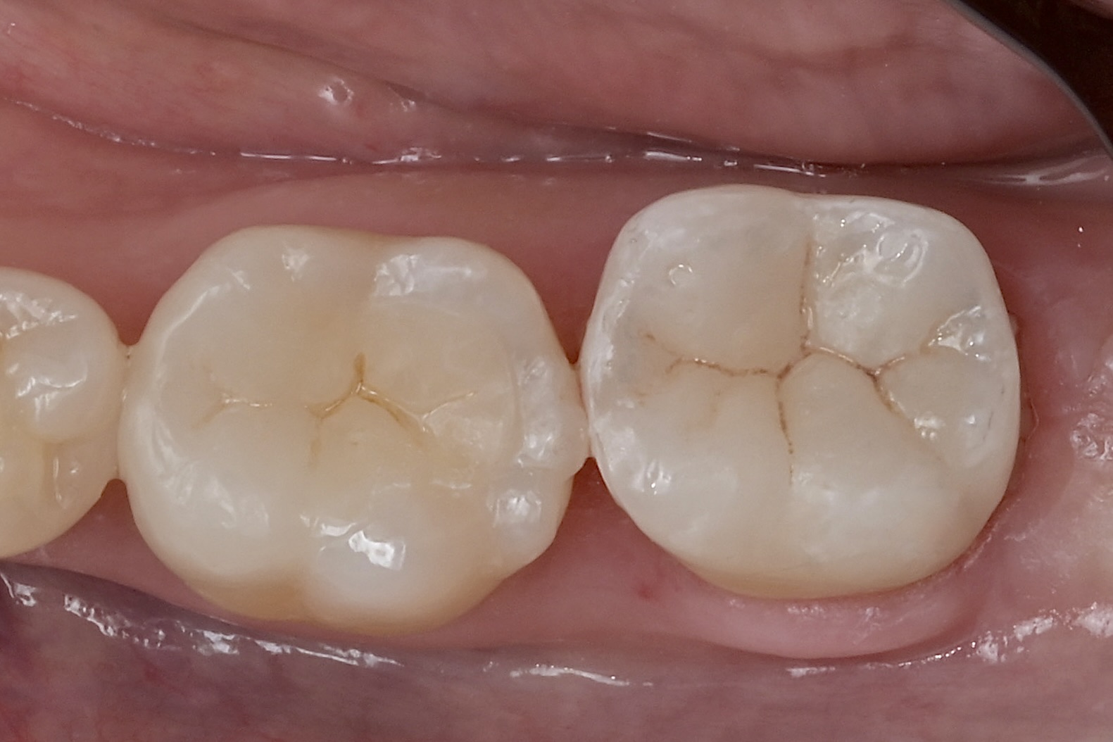
治療後
-

治療後 頬側面から見る
自然な見た目に仕上がりました。噛み合わせも問題ありません。本当の審美歯科とは、見た目の美しさ・機能・清掃性が伴って成立します。

