症例
お悩みから探す:
新着情報
カテゴリー:
審美歯科・セラミック治療虫歯の治療・ダイレクトボンディング
60代 審美治療 ジルコニアクラウン・虫歯治療 ダイレクトボンディング#55

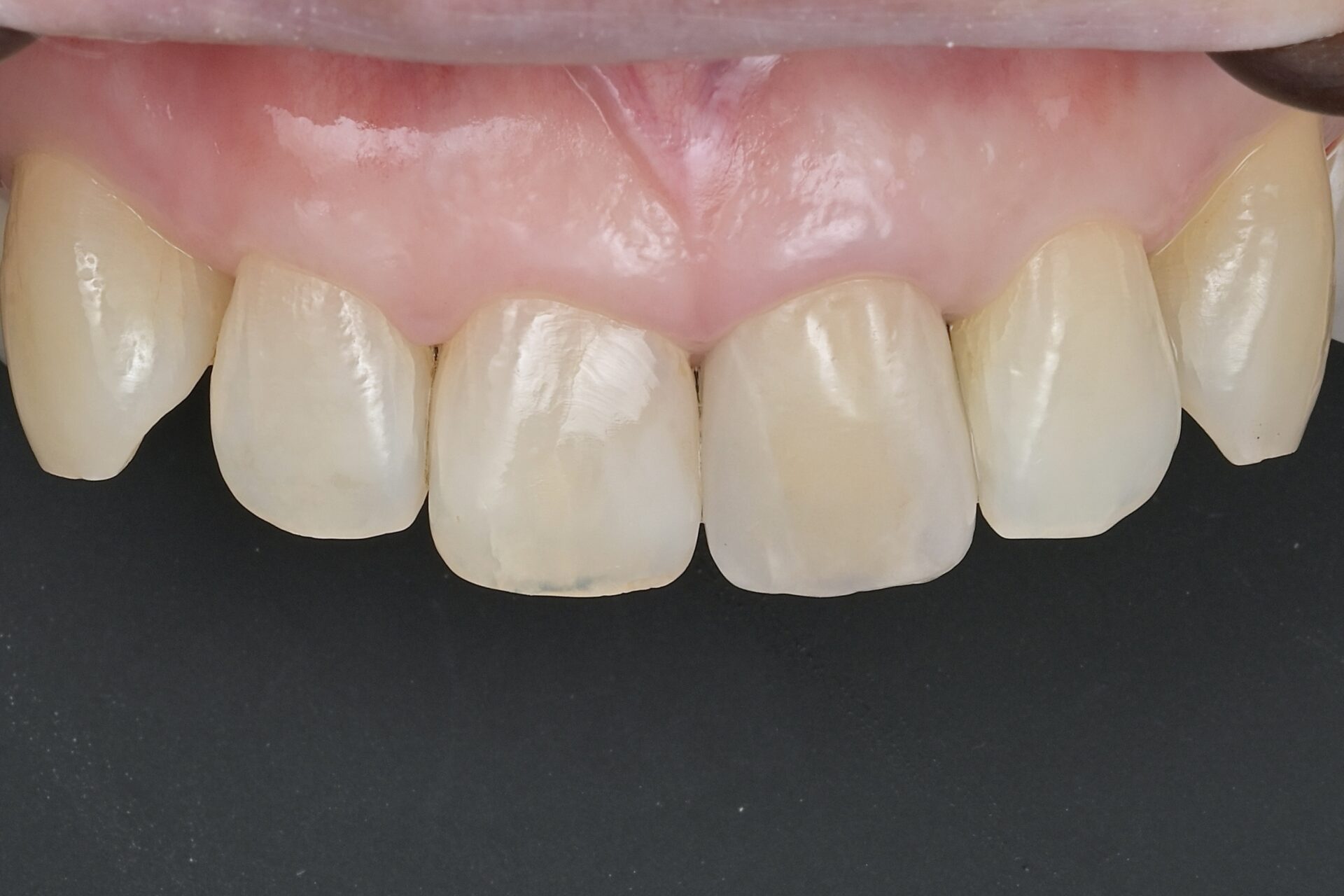
Before

After
症例情報
| 年齢 | 60代 | 治療方法 | ジルコニアクラウン/ダイレクトボンディング |
|---|---|---|---|
| 性別 | 女性 | 通院回数 | 6回 |
| 主訴 | 前歯を綺麗にしたい・歯を削る量を少なくしたい | 費用 |
308,000円(税込) |
| 治療のメリット | 歯を削る量を少なくできる・自然な見た目・境目がピッタリできる | ||
| 治療のデメリット | 大きい虫歯治療には適応できない場合がある | ||
治療経過
-

初診時
右上の前歯には古いレジンが入っていて虫歯になっています。左の古いセラミックの前歯は歯茎が下がって黒変した歯根が露出しています。笑うと黒い部分が目立つことが気になるようです。 -

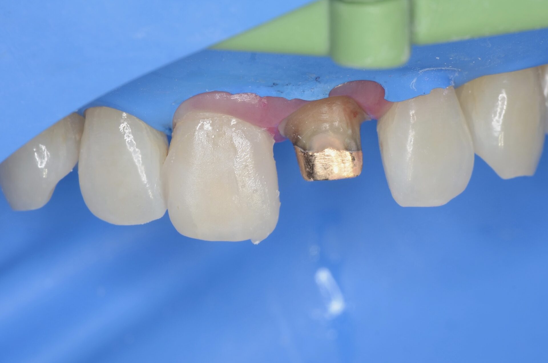
セラミックのクラウン除去
CTで確認しても根管治療は問題なく金の土台が入っています。少しだけ虫歯になっていましたが再形成すれば問題ないと判断しました。 再形成後に型取りをして、右の前歯の治療後にダイレクトボンディングでどれくらいの形にするべきか?左のセラミッククラウンをどれくらいの形にするべきかを予測するために仮歯を作ることにしました。 -

診断用ワックスアップとプロビジョナルレストレーション
最終的な治療のゴールを決めて治療に入ります。 -

右上1番近心
古いレジンの周囲が虫歯になっているのでレジンを外します。 -

虫歯除去
完全に虫歯を除去しました。神経まではギリギリでした。MTAセメントで神経を保護しなくても大丈夫そうです。 -

ダイレクトボンディング
一旦、虫歯を削った部分をレジンで埋めます。 -

理想的な形態に修正
診断用ワックスアップ模型をシリコンで型取りしておきます。この中にドロソロのフロワブルレジンを流し込みます。 -

シリコン枠の除去
診断用ワックスアップ模型の通りの形になりました。ここから研磨していきます。 -

形態修正
赤い色をつけて、無注水でレジンを優しく整えていきます。 -

研磨
ダイアモンド粒子の入ったペーストで研磨します。 -

研磨終了
右上1番は理想的形態になりました。左上1番も綺麗に形を削り出しました。 -

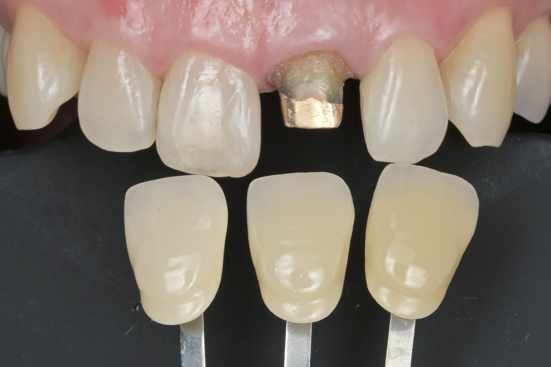
色合わせ
セラミッククラウンを作るために色合わせをします。この後型取りをします。 -

良好な歯肉
クラウンをセットする直前の歯肉です。健康な歯肉こそ審美的な前歯に必要です。 -

セラミッククラウン
自然な形と色で治すことができました。患者さんも喜んでいただけました。
ダイレクトボンディングを検討されている方は、こちらのページをご覧ください。

