症例
診療科目から探す:
お悩みから探す:
審美歯科・セラミック治療虫歯の治療・ダイレクトボンディング
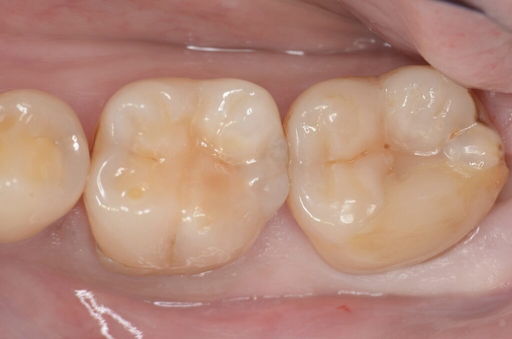
20代 虫歯治療 ジルコニアインレー・ダイレクトボンディング #59

Before

After
| 年齢 | 20代 | 治療方法 | ダイレクトボンディング/ジルコニアインレー |
|---|---|---|---|
| 性別 | 女性 | 通院回数 | 4回 |
| 主訴 | むし歯を治したい 。歯を白くしたい | 費用 | 242,000円(税込) |
| 治療のメリット | 歯を削る量を少なくできる・自然な見た目・境目がピッタリできる | ||
| 治療のデメリット | 大きい虫歯治療には適応できない場合がある | ||
虫歯の治療・ダイレクトボンディング
20代 虫歯治療 ダイレクトボンディング #58

Before

After
| 年齢 | 20代 | 治療方法 | ダイレクトボンディング |
|---|---|---|---|
| 性別 | 女性 | 通院回数 | 3回 |
| 主訴 | どこかわからないが、とにかく歯が痛い | 費用 | 115,500円(税込) |
| 治療のメリット | 歯を削る量を少なくできる・自然な見た目・境目がピッタリできる | ||
| 治療のデメリット | 大きい虫歯治療には適応できない場合がある | ||
審美歯科・セラミック治療虫歯の治療・ダイレクトボンディング
60代 審美治療 ジルコニアクラウン・虫歯治療 ダイレクトボンディング#55

Before

After
| 年齢 | 60代 | 治療方法 | ジルコニアクラウン/ダイレクトボンディング |
|---|---|---|---|
| 性別 | 女性 | 通院回数 | 6回 |
| 主訴 | 前歯を綺麗にしたい・歯を削る量を少なくしたい | 費用 | 308,000円(税込) |
| 治療のメリット | 歯を削る量を少なくできる・自然な見た目・境目がピッタリできる | ||
| 治療のデメリット | 大きい虫歯治療には適応できない場合がある | ||
虫歯の治療・ダイレクトボンディング
20代 虫歯治療 VPT(歯髄温存療法)ダイレクトボンディング #54

Before

After
| 年齢 | 20代 | 治療方法 | VPT(歯髄温存療法)/ダイレクトボンディング |
|---|---|---|---|
| 性別 | 女性 | 通院回数 | 3回 |
| 主訴 | むし歯を治したい /神経を取りたくない | 費用 | 286,000円(税込) |
| 治療のメリット | 神経を保存できる。歯を削る量を少なくできる。自然な形にできる | ||
| 治療のデメリット | 大きい虫歯治療には適応できない場合がある | ||
虫歯の治療・ダイレクトボンディング
40代 虫歯治療 ダイレクトボンディング #53

Before

After
| 年齢 | 40代 | 治療方法 | ダイレクトボンディング |
|---|---|---|---|
| 性別 | 男性 | 通院回数 | 2回 |
| 主訴 | できるだけ歯を削る量を少なくしてむし歯を治したい | 費用 | 121,000円(税込) |
| 治療のメリット | 歯を削る量を少なくできる・自然な見た目・境目がピッタリできる | ||
| 治療のデメリット | 大きい虫歯治療には適応できない場合がある | ||
虫歯の治療・ダイレクトボンディング
40代 虫歯治療 ダイレクトボンディング #52

Before

After
| 年齢 | 40代 | 治療方法 | ダイレクトボンディング |
|---|---|---|---|
| 性別 | 男性 | 通院回数 | 2回 |
| 主訴 | むし歯を治したい | 費用 | 115,500円(税込) |
| 治療のメリット | 歯を削る量を少なくできる・自然な見た目・境目がピッタリできる | ||
| 治療のデメリット | 大きい虫歯治療には適応できない場合がある | ||
虫歯の治療・ダイレクトボンディング
40代 虫歯治療 ダイレクトボンディング #51

Before

After
| 年齢 | 40代 | 治療方法 | ダイレクトボンディング |
|---|---|---|---|
| 性別 | 男性 | 通院回数 | 3回 |
| 主訴 | できるだけ歯を削る量を少なくしてむし歯を治したい | 費用 | 115,500円(税込) |
| 治療のメリット | 歯を削る量を少なくできる・自然な見た目・境目がピッタリできる | ||
| 治療のデメリット | 大きい虫歯治療には適応できない場合がある | ||
虫歯の治療・ダイレクトボンディング
40代 虫歯治療 ダイレクトボンディング #49

Before

After
| 年齢 | 40代 | 治療方法 | ダイレクトボンディング |
|---|---|---|---|
| 性別 | 女性 | 通院回数 | 2回 |
| 主訴 | できるだけ歯を削る量を少なくしてむし歯を治したい | 費用 | 115,500円(税込) |
| 治療のメリット | 歯を削る量を少なくできる・自然な見た目・境目がピッタリできる | ||
| 治療のデメリット | 大きい虫歯治療には適応できない場合がある | ||
虫歯の治療・ダイレクトボンディング
40代 虫歯治療 ダイレクトボンディング #47

Before

After
| 年齢 | 40代 | 治療方法 | ダイレクトボンディング |
|---|---|---|---|
| 性別 | 女性 | 通院回数 | 3回 |
| 主訴 | できるだけ歯を削る量を少なくしてむし歯を治したい | 費用 | 231,000円(税込) |
| 治療のメリット | 歯を削る量を少なくできる。自然な形にできる | ||
| 治療のデメリット | 大きい虫歯治療には適応できない場合がある | ||
虫歯の治療・ダイレクトボンディング
40代 虫歯治療 ダイレクトボンディング #46

Before

After
| 年齢 | 40代 | 治療方法 | ダイレクトボンディング |
|---|---|---|---|
| 性別 | 女性 | 通院回数 | 2回 |
| 主訴 | できるだけ歯を削る量を少なくしてむし歯を治したい | 費用 | 55,000円(税込) |
| 治療のメリット | 歯を削る量を少なくできる・自然な見た目・境目がピッタリできる | ||
| 治療のデメリット | 大きい虫歯治療には適応できない場合がある | ||

