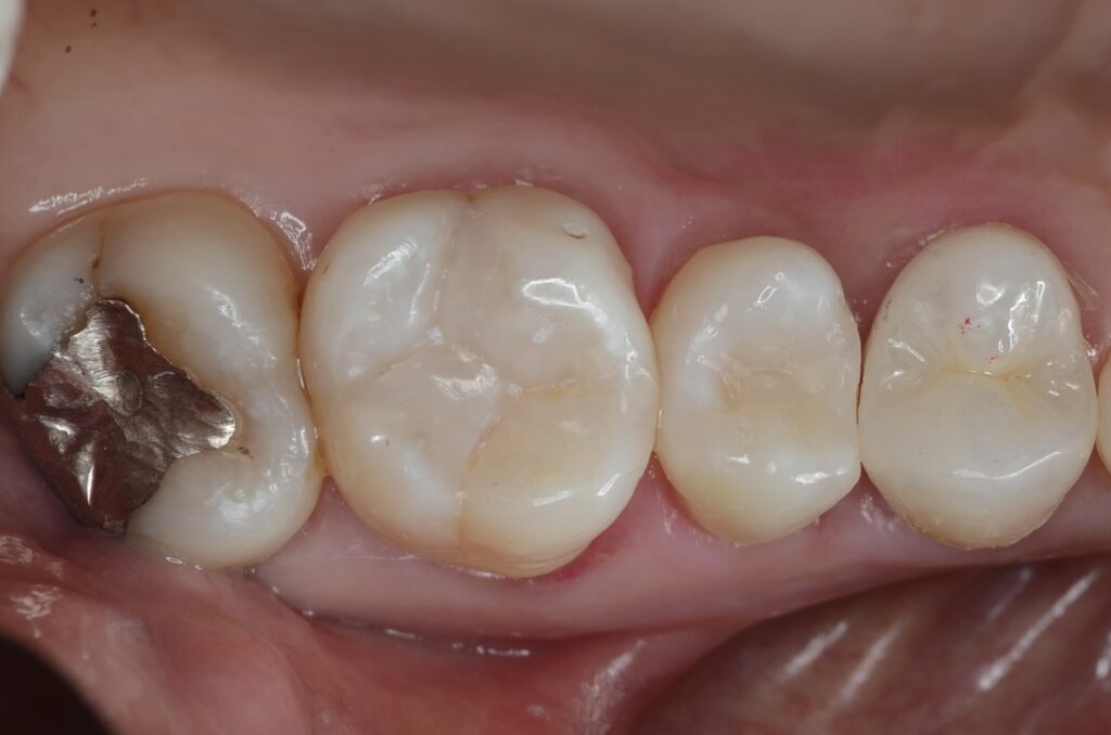
症例
診療科目から探す:
お悩みから探す:
虫歯の治療・ダイレクトボンディング
60代 虫歯治療 ダイレクトボンディング #39

Before

After
| 年齢 | 60代 | 治療方法 | ダイレクトボンディング |
|---|---|---|---|
| 性別 | 女性 | 通院回数 | 3回 |
| 主訴 | できるだけ歯を削る量を少なくしてむし歯を治したい | 費用 | 115,500円(税込) |
| 治療のメリット | 歯を削る量を少なくできる・自然な見た目・境目がピッタリできる | ||
| 治療のデメリット | 大きい虫歯治療には適応できない場合がある | ||
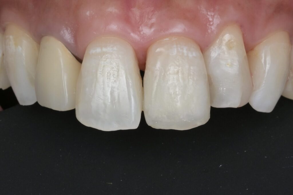
虫歯の治療・ダイレクトボンディング
30代 虫歯治療 ダイレクトボンディング #38

Before

After
| 年齢 | 30代 | 治療方法 | ダイレクトボンディング |
|---|---|---|---|
| 性別 | 女性 | 通院回数 | 3回 |
| 主訴 | できるだけ歯を削る量を少なくしてむし歯を治したい | 費用 | 231,000円(税込) |
| 治療のメリット | 歯を削る量を少なくできる・自然な見た目・境目がピッタリできる | ||
| 治療のデメリット | 大きい虫歯治療には適応できない場合がある | ||
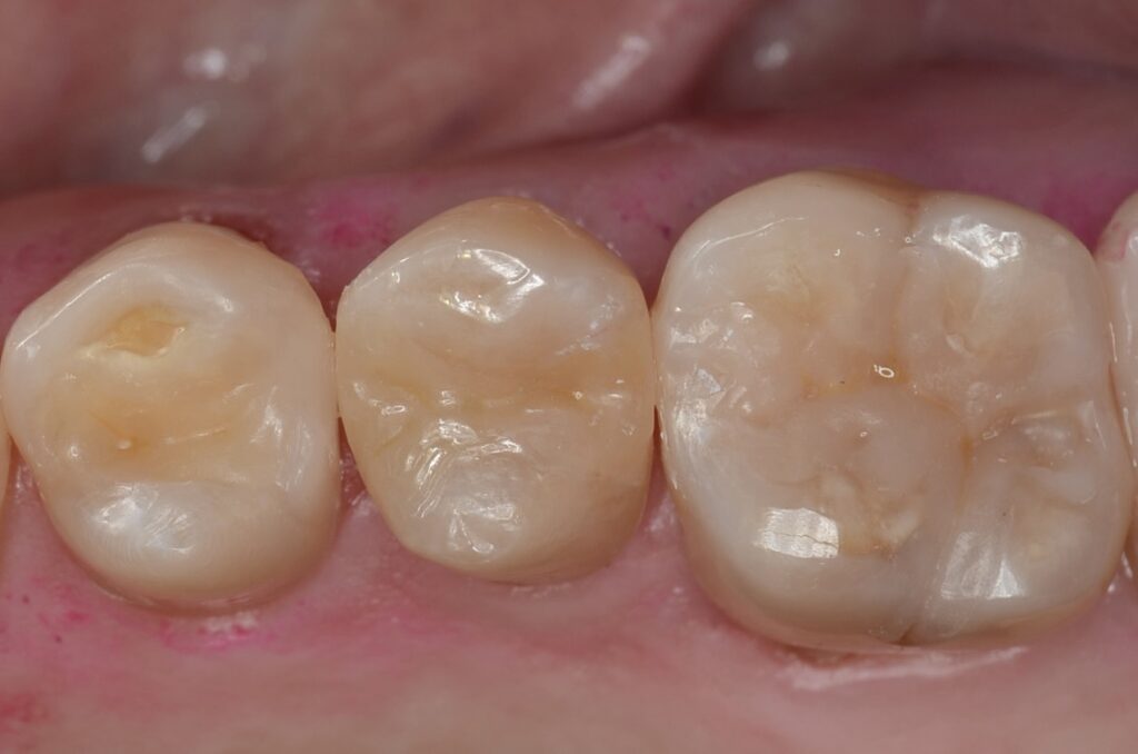
虫歯の治療・ダイレクトボンディング
30代 虫歯治療 ダイレクトボンディング #37

Before

After
| 年齢 | 30代 | 治療方法 | ダイレクトボンディング |
|---|---|---|---|
| 性別 | 女性 | 通院回数 | 3回 |
| 主訴 | 欠けた歯を治したい/歯をできるだけ削られたくない | 費用 | 148,500円税込 |
| 治療のメリット | 歯を削る量を少なくできる・自然な見た目・境目がピッタリできる | ||
| 治療のデメリット | 大きい虫歯治療には適応できない場合がある | ||
神経を取りたくない・MTAセメント・歯髄保存療法虫歯の治療・ダイレクトボンディング
20代 虫歯治療 VPT(歯髄温存療法)ダイレクトボンディング #36

Before

After
| 年齢 | 20代 | 治療方法 | VPT(歯髄温存療法)/ダイレクトボンディング |
|---|---|---|---|
| 性別 | 女性 | 通院回数 | 2回 |
| 主訴 | むし歯を治したい /神経を取りたくない/できるだけ神経を取りたくない | 費用 | 170,500円(税込) |
| 治療のメリット | 神経を保存できる。歯を削る量を少なくできる。自然な形にできる | ||
| 治療のデメリット | 神経を保存できない場合がある。 | ||
虫歯の治療・ダイレクトボンディング
50代 虫歯治療 ダイレクトボンディング #36

Before

After
| 年齢 | 50代 | 治療方法 | ダイレクトボンディング |
|---|---|---|---|
| 性別 | 女性 | 通院回数 | 3回 |
| 主訴 | できるだけ歯を削る量を少なくしてむし歯を治したい | 費用 | 115,500円(税込) |
| 治療のメリット | 歯を削る量を少なくできる・自然な見た目・境目がピッタリできる | ||
| 治療のデメリット | 経年的な変色の可能性がある | ||
神経を取りたくない・MTAセメント・歯髄保存療法虫歯の治療・ダイレクトボンディング
30代 虫歯治療 VPT(歯髄温存療法)ダイレクトボンディング #35

Before

After
| 年齢 | 40代 | 治療方法 | VPT(歯髄温存療法)/ダイレクトボンディング |
|---|---|---|---|
| 性別 | 女性 | 通院回数 | 2回 |
| 主訴 | むし歯を治したい /神経を取りたくない | 費用 | 175,000円(税込) |
| 治療のメリット | 神経を保存できる・歯を削る量を少なくできる・自然な見た目・境目がピッタリできる | ||
| 治療のデメリット | 虫歯の大きさ・神経の状態によっては神経を保存できない場合がある | ||
虫歯の治療・ダイレクトボンディング
60代 虫歯治療 ダイレクトボンディング #34

Before

After
| 年齢 | 60代 | 治療方法 | ダイレクトボンディング |
|---|---|---|---|
| 性別 | 男性 | 通院回数 | 4回 |
| 主訴 | むし歯を治したい 。歯を長持ちさせたい | 費用 | 346,500円(税込) |
| 治療のメリット | 歯を削る量を少なくできる・自然な見た目・境目がピッタリできる | ||
| 治療のデメリット | 大きい虫歯治療には適応できない場合がある | ||
虫歯の治療・ダイレクトボンディング
20代 虫歯治療 ダイレクトボンディング #33

Before

After
| 年齢 | 20代 | 治療方法 | ダイレクトボンディング |
|---|---|---|---|
| 性別 | 女性 | 通院回数 | 3回 |
| 主訴 | できるだけ歯を削る量を少なくしてむし歯を治したい | 費用 | 231,000円(税込) |
| 治療のメリット | 歯を削る量を少なくできる・自然な見た目・境目がピッタリできる | ||
| 治療のデメリット | 大きい虫歯治療には適応できない場合がある | ||
虫歯の治療・ダイレクトボンディング
80代 虫歯治療 ダイレクトボンディング #32

Before

After
| 年齢 | 80代 | 治療方法 | ダイレクトボンディング |
|---|---|---|---|
| 性別 | 女性 | 通院回数 | 2回 |
| 主訴 | むし歯を治したい 。歯を長持ちさせたい | 費用 | 115,500円(税込) |
| 治療のメリット | 歯を削る量を少なくできる・自然な見た目・境目がピッタリできる | ||
| 治療のデメリット | 大きい虫歯治療には適応できない場合がある | ||
虫歯の治療・ダイレクトボンディング
40代 虫歯治療 ダイレクトボンディング #31

Before

After
| 年齢 | 40代 | 治療方法 | ダイレクトボンディング |
|---|---|---|---|
| 性別 | 女性 | 通院回数 | 2回 |
| 主訴 | できるだけ歯を削る量を少なくしてむし歯を治したい | 費用 | 231,000円(税込) |
| 治療のメリット | 歯を削る量を少なくできる・自然な見た目・境目がピッタリできる | ||
| 治療のデメリット | 大きい虫歯治療には適応できない場合がある | ||

