症例
お悩みから探す:
新着情報
カテゴリー:
虫歯の治療・ダイレクトボンディング
40代 虫歯治療 ダイレクトボンディング #41

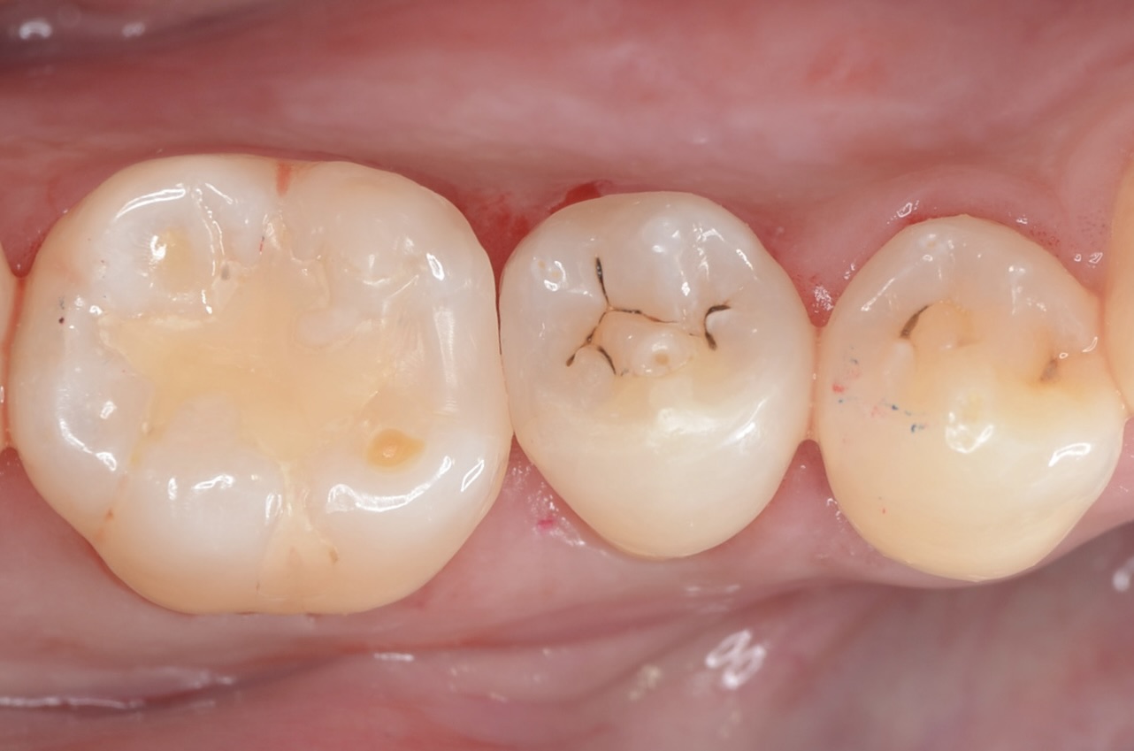
Before

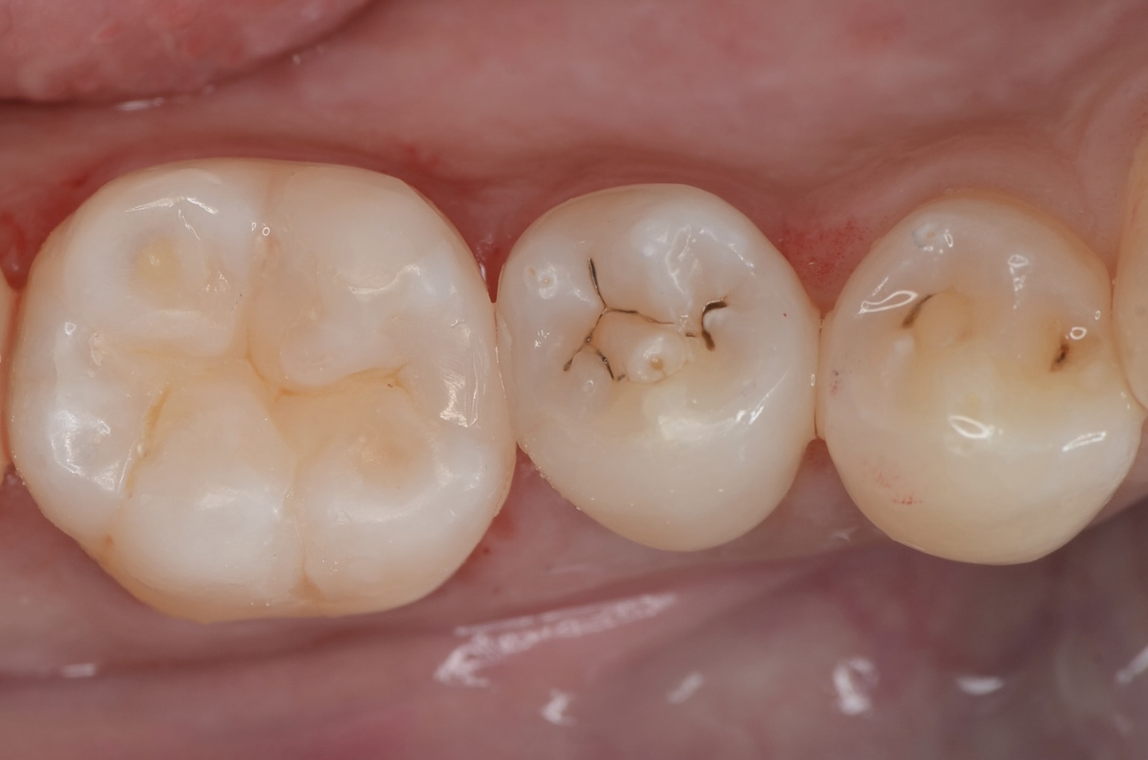
After
症例情報
| 年齢 | 40代 | 治療方法 | ダイレクトボンディング |
|---|---|---|---|
| 性別 | 男性 | 通院回数 | 2回 |
| 主訴 | できるだけ歯を削る量を少なくしてむし歯を治したい | 費用 |
115,500円(税込) |
| 治療のメリット | 歯を削る量を少なくできる・自然な見た目・境目がピッタリできる | ||
| 治療のデメリット | 大きい虫歯治療には適応できない場合がある | ||
治療経過
-

6番側方面観
歯と歯茎の境に古いレジン充填があります。その縁が黒ずみ虫歯になっています。 -

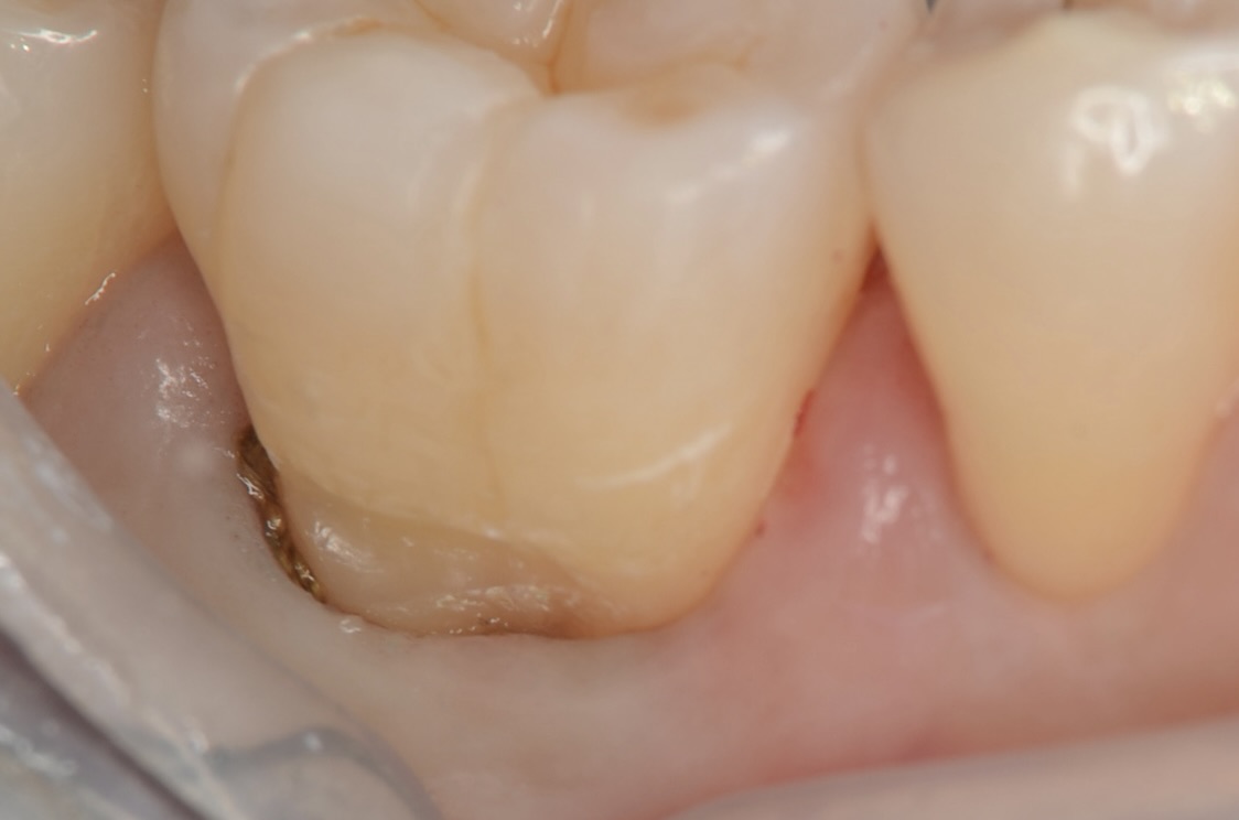
ラバーダム装着
虫歯治療においてもラバーダム装着は必須です。 唾液や血液から歯面が汚染されるのを防ぎ、乾燥状態を保つラバーダムは、接着力を向上させるためにも大切なアイテムです。 古いレジンを外したところです。それほど虫歯は深くありませんでした。 -

ダイレクトボンディング
天然歯の自然な形態を模倣してレジンを充填しました。 -

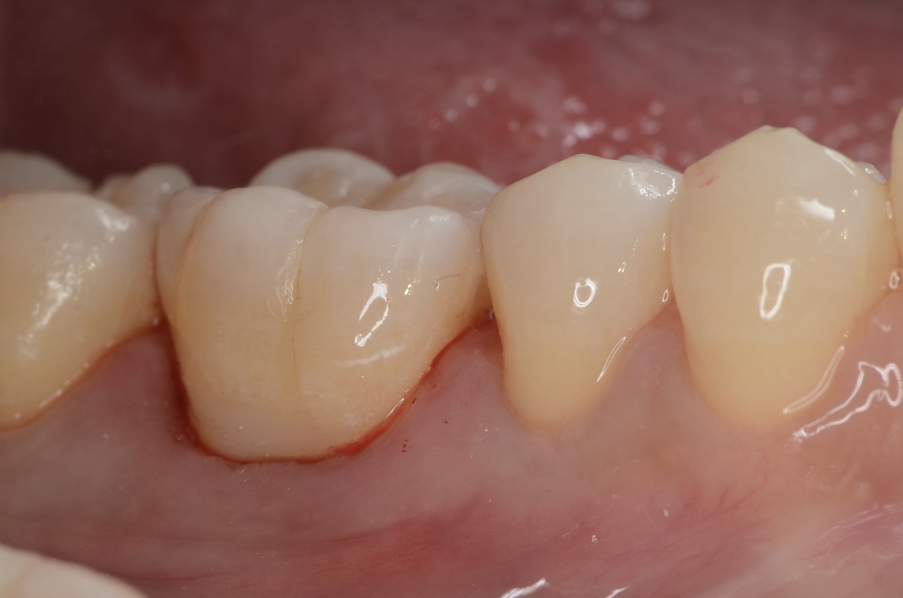
歯頸部齲蝕除去後、歯肉圧排
歯と歯茎の間に細い糸を入れて隙間を意図的に作ります。 -

レジン充填・研磨後
ツルツルに段差なく仕上げました。これで歯垢がつきにくくなります。仕上げにこだわるかどうかで、長持ちするかどうかも決まります。
ダイレクトボンディングを検討されている方は、こちらのページをご覧ください。

