症例
お悩みから探す:
新着情報
カテゴリー:
虫歯の治療・ダイレクトボンディング
60代 虫歯治療 ダイレクトボンディング #39

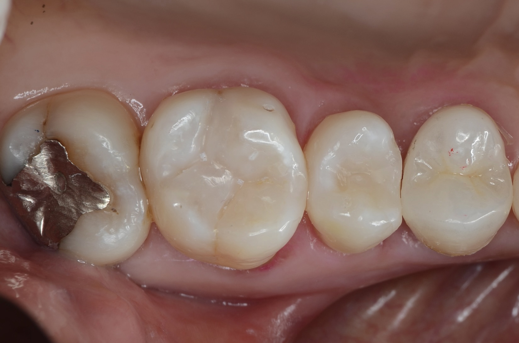
Before

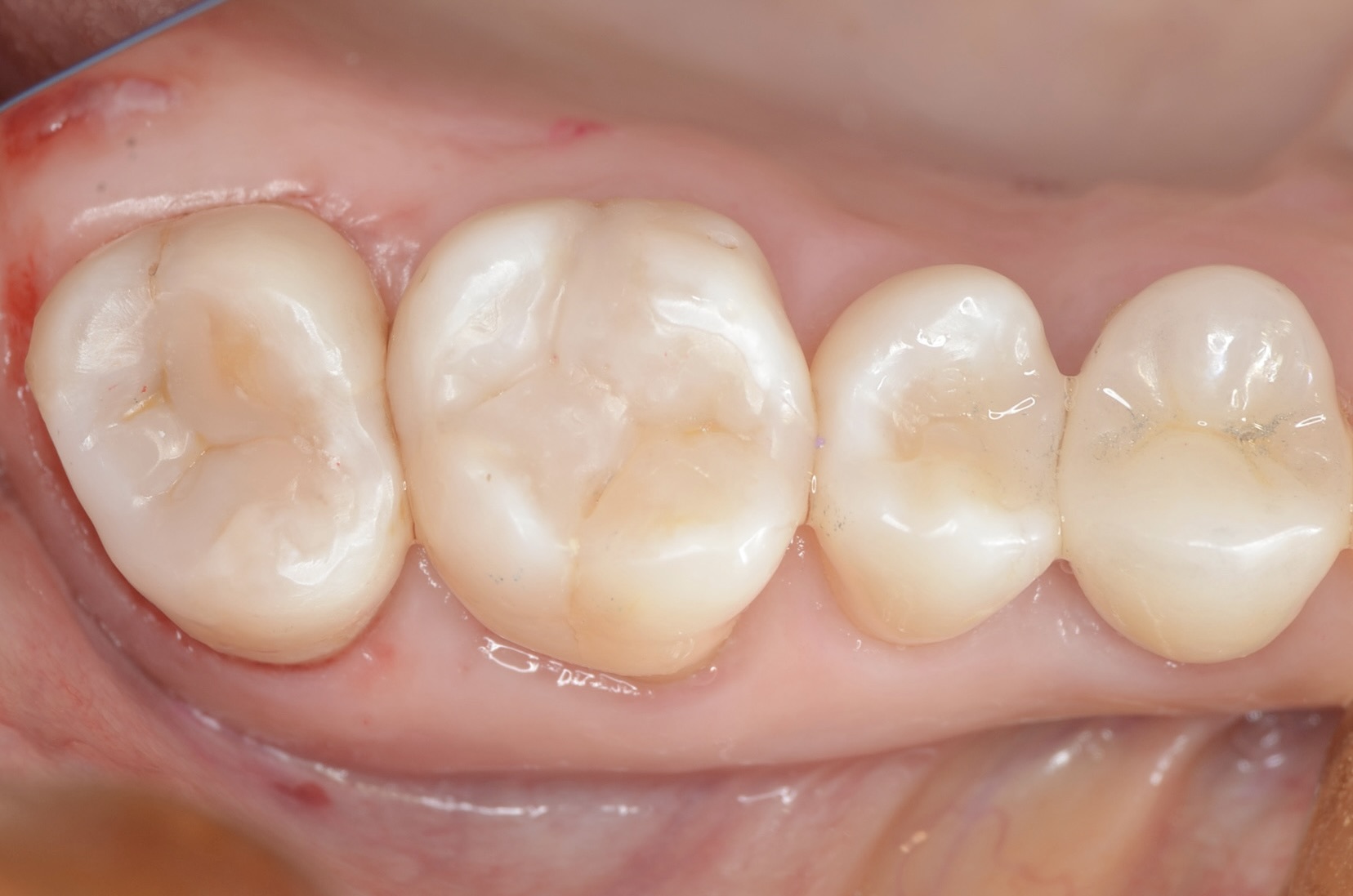
After
症例情報
| 年齢 | 60代 | 治療方法 | ダイレクトボンディング |
|---|---|---|---|
| 性別 | 女性 | 通院回数 | 3回 |
| 主訴 | できるだけ歯を削る量を少なくしてむし歯を治したい | 費用 |
115,500円(税込) |
| 治療のメリット | 歯を削る量を少なくできる・自然な見た目・境目がピッタリできる | ||
| 治療のデメリット | 大きい虫歯治療には適応できない場合がある | ||
治療経過
-

ラバーダム装着
虫歯治療においてもラバーダム装着は必須です。 唾液や血液から歯面が汚染されるのを防ぎ、乾燥状態を保つラバーダムは、接着力を向上させるためにも大切なアイテムです。 -

インレー除去
インレーの下にアマルガム充填を発見しました。これも除去します -

アマルガム
-

アマルガム除去
歯質がアマルガムによって黒く変色し、虫歯にもなっています。 -

歯肉圧排
歯と歯茎の境目にテフロンテープのこよりを挿入しわずかな隙間を作ります。 -

軟化象牙質除去
完全に虫歯を除去しました。露髄はしていません。 -

遠心の壁を作る
ダイレクトボンディングで治すことにしました。3Dプリンターテクニックにより光でレジンを硬化させながら盛り足していきます。 -

-

ダイレクトボンディング
天然歯の形態を模倣して自然な形に修復しています。 -

-

ラバーダム撤去
-

遠心部レジンに陥凹
削った部分にピッタリとレジンを充填できていますがやや窪んででいるので、後日形態修正と研磨をします。 -

レジンを一部削除
接着力を上げるために、一層レジンを削ります。 -

遠心部レジンを膨らませる
そこからフロワブルレジンを足します。 -

研磨
研磨用ディスクを用いて丁寧に時間をかけて研磨します。 -

研磨終了
段差なくピッタリしていることがわかります。磨きにくい上の奥歯の後ろ側だからこそ、ツルツルにしなければいけません。
ダイレクトボンディングを検討されている方は、こちらのページをご覧ください。

