症例
診療科目から探す:
お悩みから探す:
歯周病治療・歯周組織再生療法歯茎下がりの治療 根面被覆術
「歯茎下がり」を根面被覆術で治療 40代男性 下顎前歯部 2

Before

After
| 年齢 | 40代 | 治療方法 | 根面被覆術 |
|---|---|---|---|
| 性別 | 男性 | 通院回数 | 8回(消毒を含む) |
| 主訴 | 歯茎が下がって歯がしみる | 費用 | 220,000円(税込) |
| 治療のメリット | 下がった歯ぐきをカバーできる | ||
| 治療のデメリット | 歯茎の状態によっては成功率が低くなる | ||
歯周病治療・歯周組織再生療法歯茎下がりの治療 根面被覆術
「歯茎下がり」を根面被覆術で治療 50代女性 歯周形成外科

Before

After
| 年齢 | 40代 | 治療方法 | 根面被覆術 |
|---|---|---|---|
| 性別 | 女性 | 通院回数 | 5回 |
| 主訴 | 歯茎下がっているのが心配 | 費用 | 198,000円(税込) |
| 治療のメリット | 下がった歯茎を回復・歯肉の厚みを増す | ||
| 治療のデメリット | 歯茎下がりが進行している場合、完全な根面被覆は期待できない | ||
審美歯科・セラミック治療歯周病治療・歯周組織再生療法補綴のための歯周外科処置
50代 虫歯がひどい歯を歯周外科とジルコニアクラウンで治す

Before

After
| 年齢 | 50代 | 治療方法 | 歯冠長延長術 ジルコニアクラウン |
|---|---|---|---|
| 性別 | 女性 | 通院回数 | 15回 |
| 主訴 | 歯を抜きたくない。 | 費用 | 374,000(円税込) |
| 治療のメリット | 歯を抜かずに使える | ||
| 治療のデメリット | 神経のない歯は将来的に割れる可能性がある | ||
審美歯科・セラミック治療補綴のための歯周外科処置
30代 ジルコニアクラウン クラウンレングスニング(歯冠長延長)

Before

After
| 年齢 | 30代 | 治療方法 | ジルコニアクラウン/歯冠長延長術 |
|---|---|---|---|
| 性別 | 男性 | 通院回数 | 13回 |
| 主訴 | 銀歯を白くしたい | 費用 | 374,000(円税込) |
| 治療のメリット | 状態の悪い歯を保存できる。綺麗な歯になる。 | ||
| 治療のデメリット | 手術をする必要がある/神経の無い歯は将来的に割れる可能性がある | ||
歯茎下がりの治療 根面被覆術
「歯茎下がり」を根面被覆術で治療 20代女性 下顎臼歯部

Before

After
| 年齢 | 20代 | 治療方法 | Coronally Advanced Flap with CTG |
|---|---|---|---|
| 性別 | 女性 | 通院回数 | 7回 |
| 主訴 | 歯肉退縮を治したい | 費用 | 16.5万円 |
| 治療のメリット | 下がった歯茎を回復・歯肉の厚みを増す | ||
| 治療のデメリット | 術後、一時的に染みることがある。予定通り歯茎が回復しない場合もある | ||
歯茎下がりの治療 根面被覆術
「歯茎下がり」を根面被覆術で治療 40代男性 歯周形成外科 VISTA

Before

After
| 年齢 | 40代 | 治療方法 | VISTA with CTG |
|---|---|---|---|
| 性別 | 男性 | 通院回数 | 7回 |
| 主訴 | 歯肉退縮を治したい | 費用 | 16.5万円 |
| 治療のメリット | 下がった歯茎を回復・歯肉の厚みを増す | ||
| 治療のデメリット | 術後、一時的に染みることがある。予定通り歯茎が回復しない場合もある | ||
歯周病治療・歯周組織再生療法歯茎下がりの治療 根面被覆術
「歯茎下がり」を根面被覆術で治療 40代男性 上顎前歯部

Before

After
| 年齢 | 40代 | 治療方法 | Modified Coronally Advanced Flap with CTG |
|---|---|---|---|
| 性別 | 男性 | 通院回数 | 7回 |
| 主訴 | 歯肉退縮を治したい | 費用 | 165,000円 |
| 治療のメリット | 下がった歯茎を回復・歯肉の厚みを増す | ||
| 治療のデメリット | 術後、一時的にしみることがある。予定通り歯茎が回復しない場合もある | ||
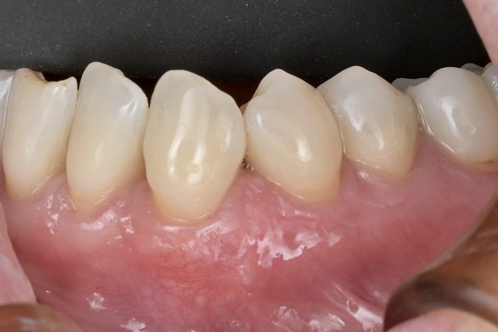
歯周病治療・歯周組織再生療法歯茎下がりの治療 根面被覆術
「歯茎下がり」を根面被覆術で治療 40代男性 下顎前歯部

Before

After
| 年齢 | 40代 | 治療方法 | VISTA with CTG |
|---|---|---|---|
| 性別 | 男性 | 通院回数 | 7回 |
| 主訴 | 歯肉退縮を治したい | 費用 | 165,000円 |
| 治療のメリット | 下がった歯茎を回復・歯肉の厚みを増す | ||
| 治療のデメリット | 術後、一時的にしみることがある。予定通り歯茎が回復しない場合もある | ||
歯周病治療・歯周組織再生療法歯茎下がりの治療 根面被覆術
「歯茎下がり」を根面被覆術で治療 40代男性 上顎前歯部

Before

After
| 年齢 | 40代 | 治療方法 | Modified Coronally Advanced Flap with CTG |
|---|---|---|---|
| 性別 | 男性 | 通院回数 | 7回 |
| 主訴 | 差し歯の根本が黒ずんでいる | 費用 | 165,000円 |
| 治療のメリット | 下がった歯茎を回復・歯肉の厚みを増す | ||
| 治療のデメリット | 術後、一時的にしみることがある。予定通り歯茎が回復しない場合もある | ||
インプラント歯周病治療・歯周組織再生療法
ブリッジが虫歯で抜歯になりインプラントで治し同時に歯周病で骨が溶けたのを再生療法で治す。

Before

After
| 年齢 | 50代 | 治療方法 | インプラント・歯周再生療法 |
|---|---|---|---|
| 性別 | 男性 | 通院回数 | 10回 |
| 主訴 | ブリッジが外れた | 費用 | 671,000円 |
| 治療のメリット | 煩わしくよく噛めない入れ歯を回避しインプラントを埋入し、同時に歯周病になっている歯に対してる歯槽骨を再生させることができました。 | ||
| 治療のデメリット | 外科手術により腫れや痛みが出ます。 | ||

