症例
診療科目から探す:
お悩みから探す:
歯周病治療・歯周組織再生療法歯茎下がりの治療 根面被覆術
「歯茎下がり」を根面被覆術で治療 30代男性 下顎犬歯部

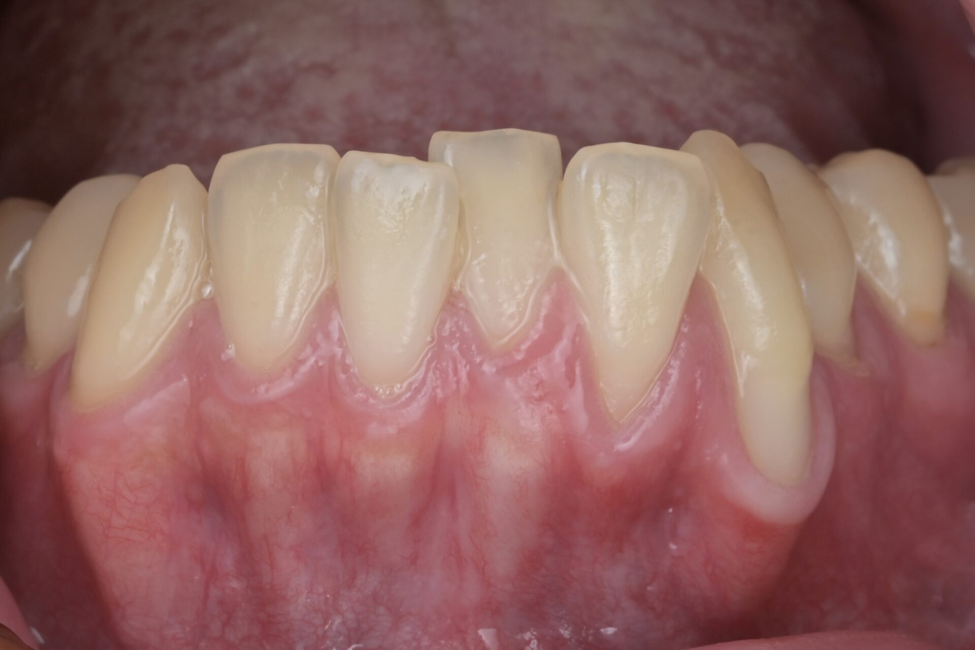
Before

After
症例情報
| 年齢 | 50代 | 治療方法 | 根面被覆術 |
|---|---|---|---|
| 性別 | 女性 | 通院回数 | 6回 |
| 主訴 | 下がった歯茎を治したい | 費用 |
165,000円(税込) |
| 治療のメリット | 下がった歯茎を回復・歯肉の厚みを増す | ||
| 治療のデメリット | 完全に回復できない場合がある | ||
治療詳細
板橋区からお越しの患者さんです。20代の頃から左下の歯茎が下がっていましたが、ここ数年で歯肉退縮が進行してきました。患者さんと相談の結果、根面被覆をすることになりました。この患者さんは、左上に、当院での根面被覆の経験があります。
治療経過
-

術前
歯垢を染め出してジェットパウダーでクリーニングします。麻酔が効いたら露出した根面を滑沢に硎磨します。 -

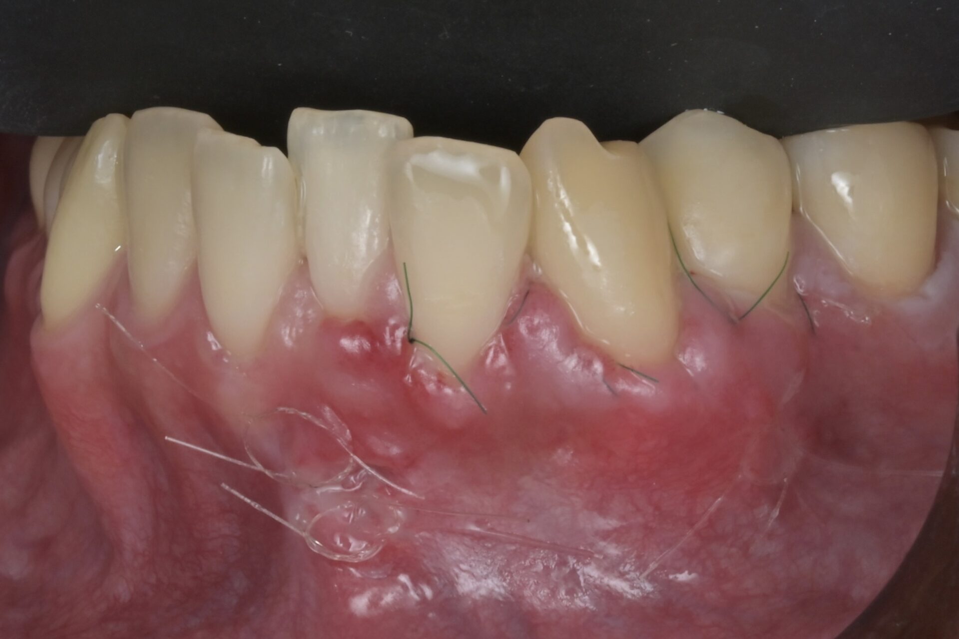
術後(SATT)
根面に歯周組織再生能力のあるエムドゲインを塗ります。その後に口蓋部から結合組織を採取して露出根面に吸収性の糸で縫い付けます。今回はSATTという切開縫合の術式を用いました。 -

保護用マウスピース
口蓋部を保護するマウスピースを用意しています。これを使うと、傷の治りが2倍早い印象です。 -

術後1週間
エムドゲインの効果で痛みはほとんど無かったようです。傷も順調に治っています。 -

術後2週間
緩んだ糸のみ取り除きました。 -

術後2週間
ほぼほぼ傷は治っていますが念のためマウスピースはしてもらいます。 -

術後3週間
抜糸しました。治癒は良好です -

術後4週間
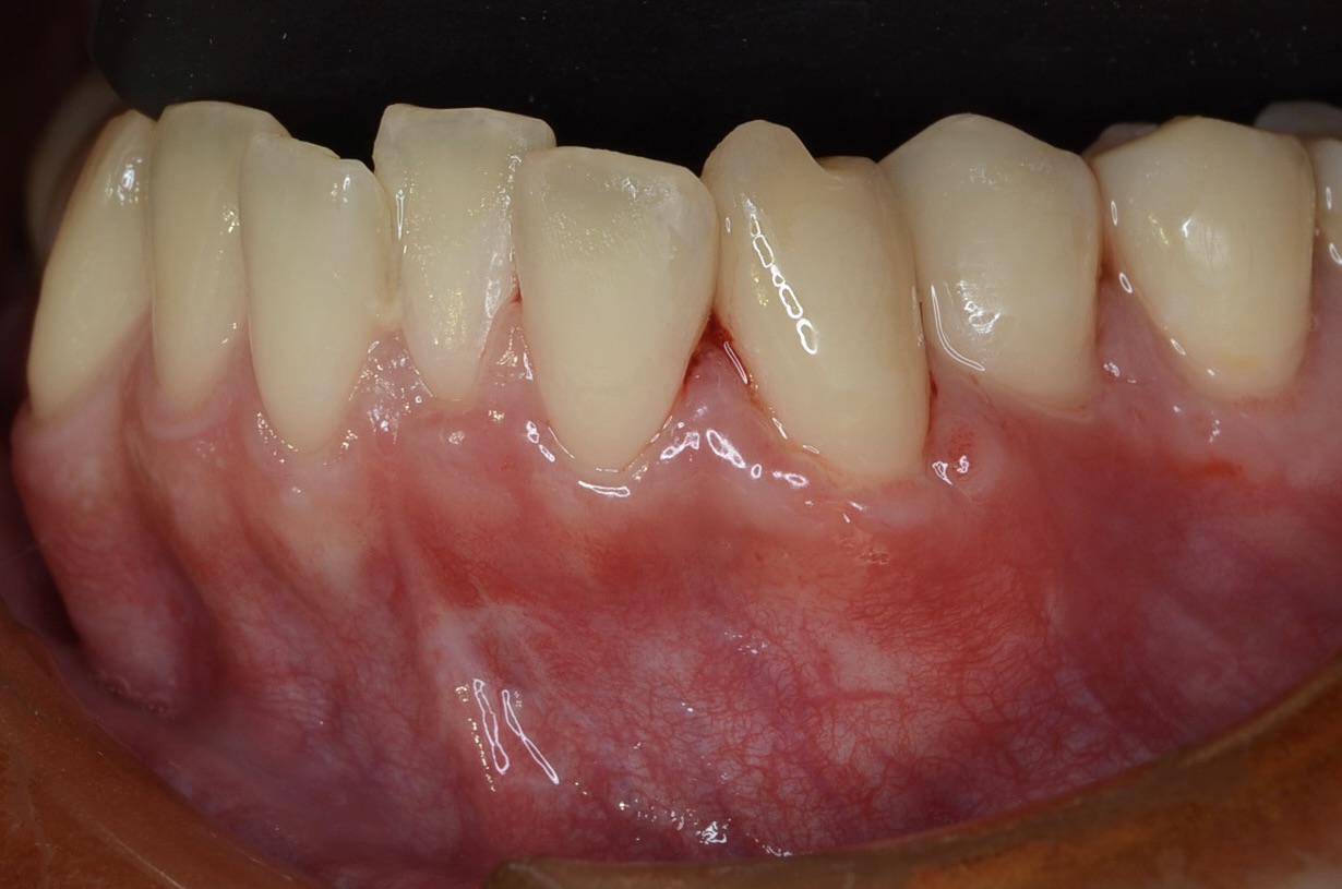
根面被覆が達成されています。

