症例
お悩みから探す:
新着情報
カテゴリー:
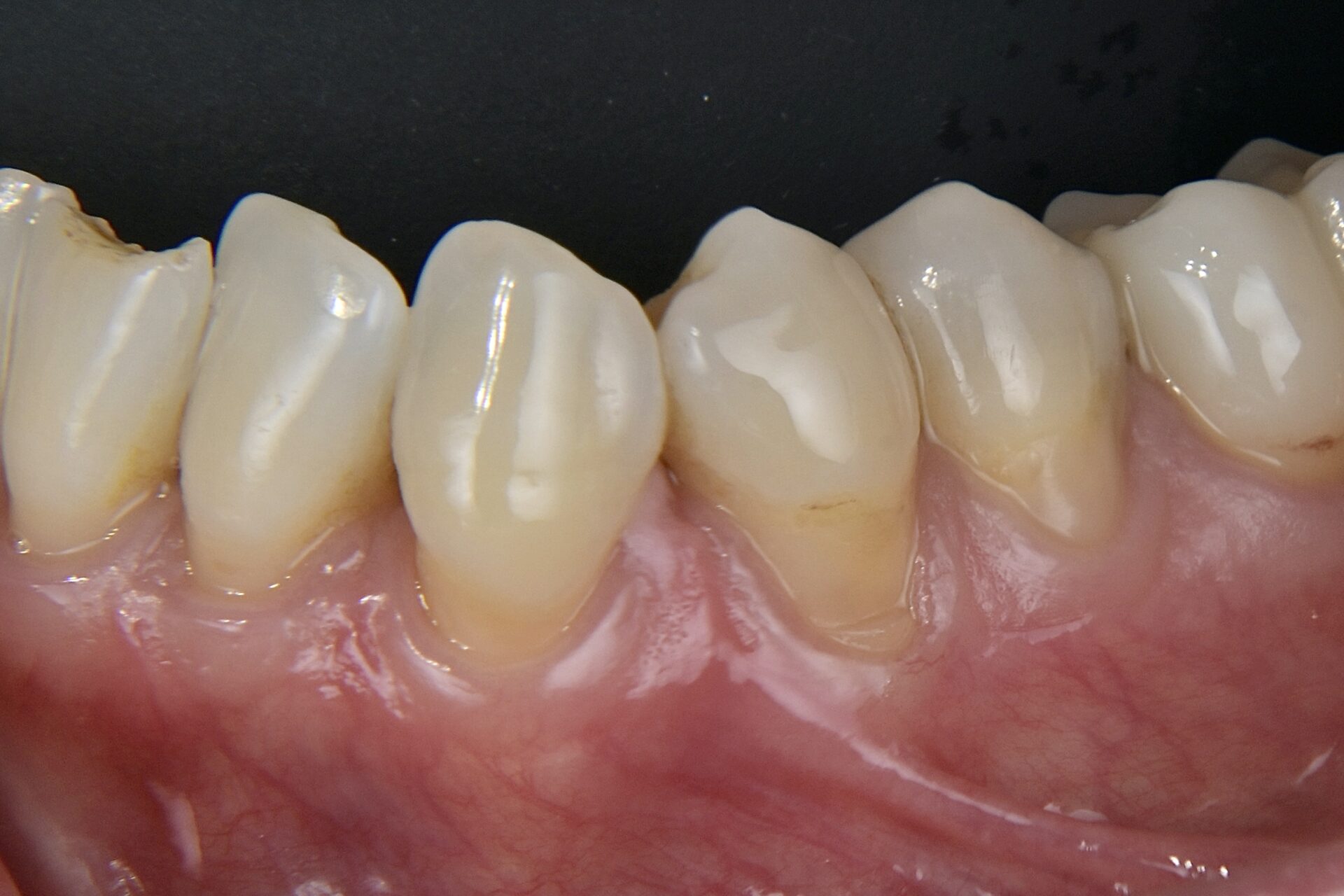
歯周病治療・歯周組織再生療法歯茎下がりの治療 根面被覆術
「歯茎下がり」を根面被覆術で治療 50代女性 歯周形成外科

Before

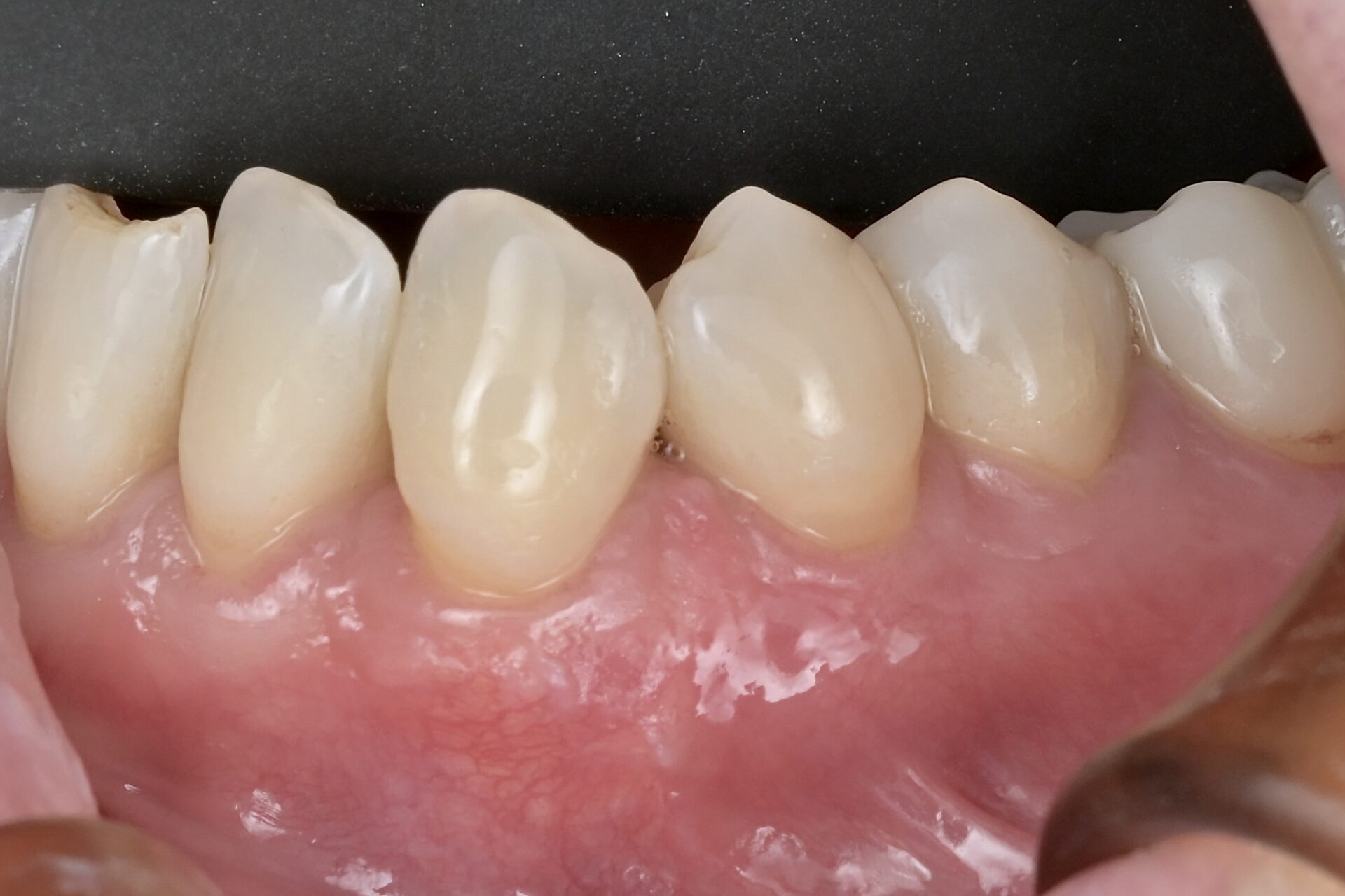
After
症例情報
| 年齢 | 40代 | 治療方法 | 根面被覆術 |
|---|---|---|---|
| 性別 | 女性 | 通院回数 | 5回 |
| 主訴 | 歯茎下がっているのが心配 | 費用 |
198,000円(税込) |
| 治療のメリット | 下がった歯茎を回復・歯肉の厚みを増す | ||
| 治療のデメリット | 歯茎下がりが進行している場合、完全な根面被覆は期待できない | ||
治療詳細
歯茎が下がると、知覚過敏になりやすいです。また高齢者では唾液の分泌力が少なくなり退縮して露出した歯根面が虫歯になりやすくなります。
統計を見ても、高齢社会の日本においては若年者の虫歯は減少 しているにも関わらず、高齢者の虫歯が増えているのはこういう理由があります。
早めに歯肉退縮に対して根面被覆をするのは将来を見越して価値ある治療になります。
治療経過
-

結合組織移植
口蓋部より結合組織を採取し、歯肉退縮部に移植することにより、歯茎の厚みを増し、歯茎下りを回復しやすくします。エムドゲインを根面に塗布して組織の再生を促します。 -

術後3週
痛みもなく、良好な回復が見られます

