症例
診療科目から探す:
お悩みから探す:
審美歯科・セラミック治療虫歯の治療・ダイレクトボンディング
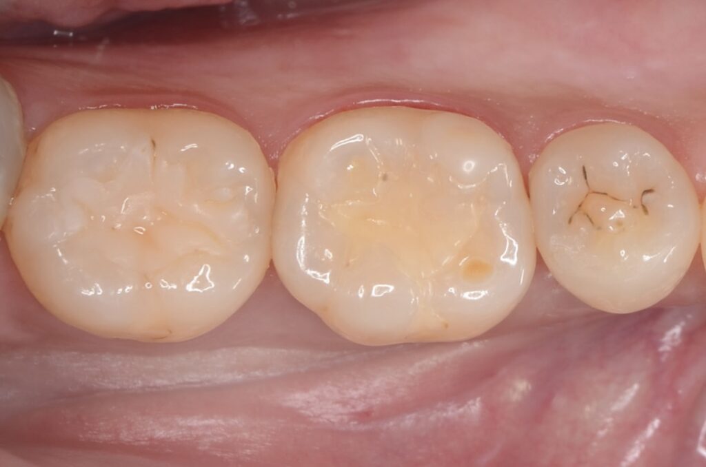
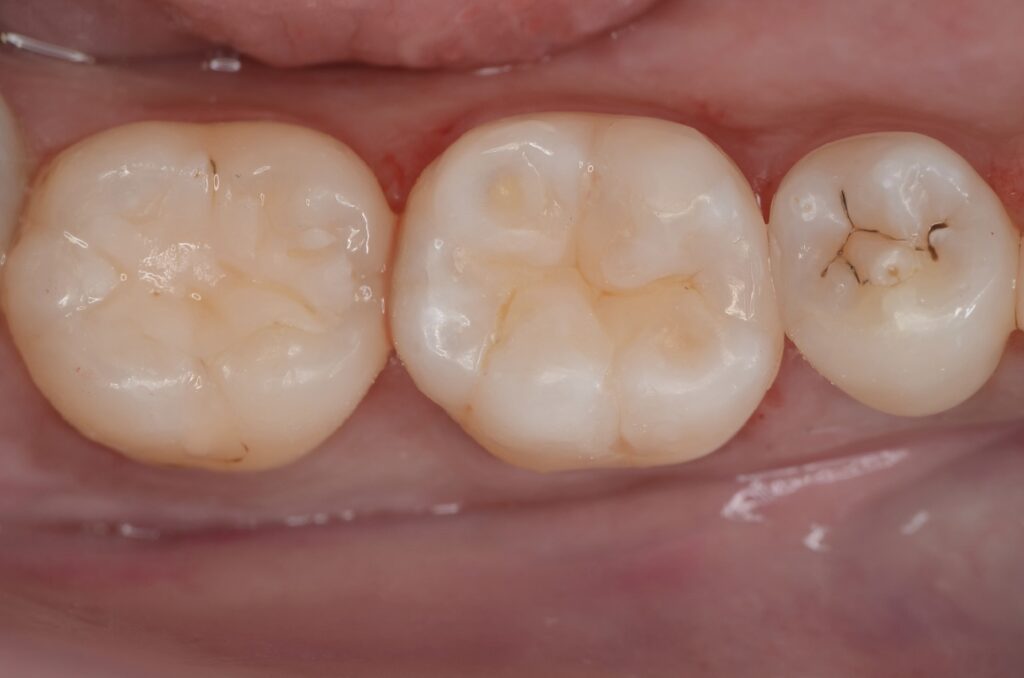
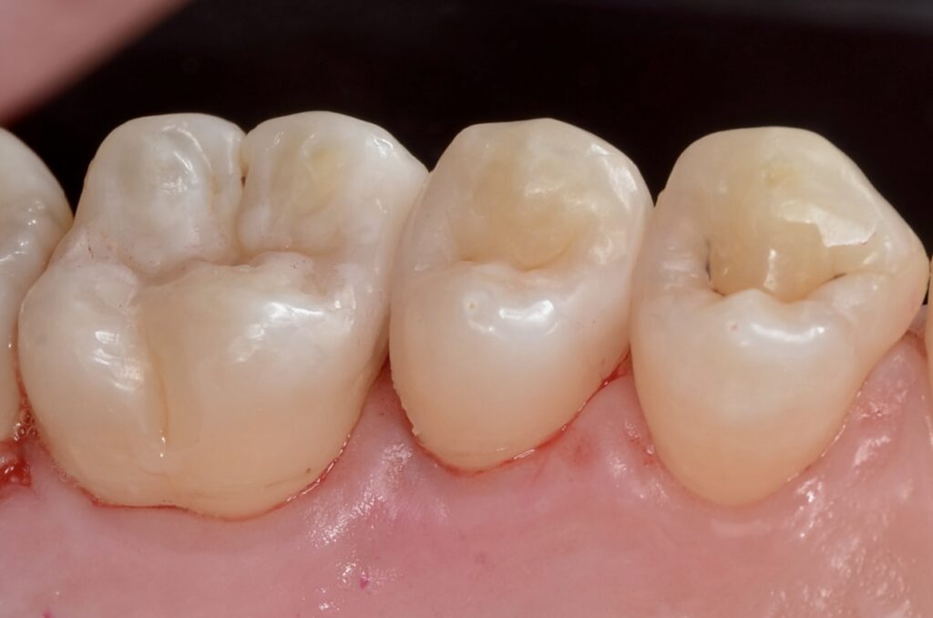
40代 虫歯治療 ダイレクトボンディング #30

Before

After
| 年齢 | 40代 | 治療方法 | ダイレクトボンディング |
|---|---|---|---|
| 性別 | 男性 | 通院回数 | 3回 |
| 主訴 | できるだけ歯を削る量を少なくしてむし歯を治したい | 費用 | 231,000円(税込) |
| 治療のメリット | 歯を削る量を少なくできる・自然な見た目・境目がピッタリできる | ||
| 治療のデメリット | 大きい虫歯治療の跡には適応できません。 | ||
虫歯の治療・ダイレクトボンディング
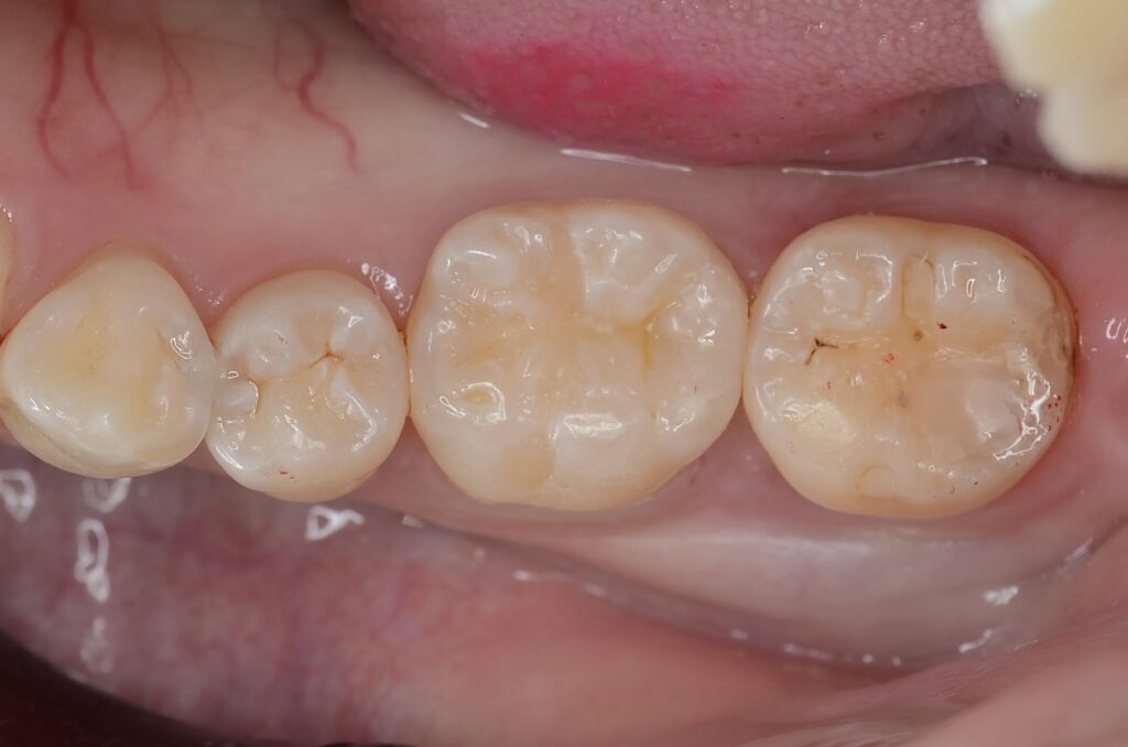
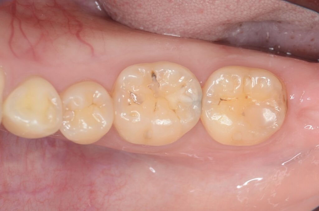
40代 虫歯治療VPT(歯髄温存療法) ダイレクトボンディング #29

Before

After
| 年齢 | 40代 | 治療方法 | VPT(歯髄温存療法)/ダイレクトボンディング |
|---|---|---|---|
| 性別 | 女性 | 通院回数 | 3回 |
| 主訴 | むし歯を治したい /神経を取りたくない | 費用 | 170,500円(税込) |
| 治療のメリット | 神経を保存できる・歯を削る量を少なくできる・自然な見た目・境目がピッタリできる | ||
| 治療のデメリット | 術後、一時的にしみることがある。歯髄が保存できない場合もある。 | ||
神経を取りたくない・MTAセメント・歯髄保存療法虫歯の治療・ダイレクトボンディング
50代 虫歯治療 ダイレクトボンディング #28

Before

After
| 年齢 | 50代 | 治療方法 | VPT(歯髄温存療法)/ダイレクトボンディング |
|---|---|---|---|
| 性別 | 女性 | 通院回数 | 2回 |
| 主訴 | むし歯を治したい /神経を取りたくない | 費用 | 170,500円(税込) |
| 治療のメリット | 神経を保存できる。歯を削る量を少なくできる。自然な形にできる | ||
| 治療のデメリット | 大きい虫歯治療の跡には適応できません。 | ||
虫歯の治療・ダイレクトボンディング
80代 虫歯治療 ダイレクトボンディング #27

Before

After
| 年齢 | 80代 | 治療方法 | ダイレクトボンディング |
|---|---|---|---|
| 性別 | 男性 | 通院回数 | 1回 |
| 主訴 | むし歯を治したい | 費用 | 99,000円(税込) |
| 治療のメリット | 歯を削る量を少なくできる・自然な見た目・境目がピッタリできる | ||
| 治療のデメリット | 大きい虫歯治療には適応できません。 | ||
虫歯の治療・ダイレクトボンディング
30代 虫歯治療 ダイレクトボンディング #26

Before

After
| 年齢 | 30代 | 治療方法 | ダイレクトボンディング |
|---|---|---|---|
| 性別 | 男性 | 通院回数 | 2回 |
| 主訴 | できるだけ歯を削る量を少なくしてむし歯を治したい | 費用 | 165,000円(税込) |
| 治療のメリット | 歯を削る量を少なくできる・自然な見た目・境目がピッタリできる | ||
| 治療のデメリット | 大きい虫歯治療には適応できません。 | ||
虫歯の治療・ダイレクトボンディング
40代 虫歯治療 ダイレクトボンディング #25

Before

After
| 年齢 | 40代 | 治療方法 | ダイレクトボンディング |
|---|---|---|---|
| 性別 | 男性 | 通院回数 | 2回 |
| 主訴 | むし歯を治したい | 費用 | 115,500円(税込) |
| 治療のメリット | 歯を削る量を少なくできる・自然な見た目・境目がピッタリできる | ||
| 治療のデメリット | 術後、一時的に染みることがある。健全残存資質の量によってはクラウンになる場合もある | ||
虫歯の治療・ダイレクトボンディング
50代 虫歯治療 ダイレクトボンディング #24

Before

After
| 年齢 | 50代 | 治療方法 | ダイレクトボンディング |
|---|---|---|---|
| 性別 | 女性 | 通院回数 | 3回 |
| 主訴 | むし歯を治したい | 費用 | 231,000円(税込) |
| 治療のメリット | 歯を削る量を少なくできる・自然な見た目・境目がピッタリできる | ||
| 治療のデメリット | 術後、一時的に染みることがある。健全残存資質の量によってはクラウンになる場合もある | ||
虫歯の治療・ダイレクトボンディング
30代 虫歯治療 ダイレクトボンディング #23

Before

After
| 年齢 | 30代 | 治療方法 | ダイレクトボンディング |
|---|---|---|---|
| 性別 | 男性 | 通院回数 | 2回 |
| 主訴 | できるだけ歯を削る量を少なくしてむし歯を治したい | 費用 | 165,000円(税込) |
| 治療のメリット | 歯を削る量を少なくできる・自然な見た目・境目がピッタリできる | ||
| 治療のデメリット | 経年的な変色の可能性がある | ||
虫歯の治療・ダイレクトボンディング
20代 虫歯治療 ダイレクトボンディング #22

Before

After
| 年齢 | 20代 | 治療方法 | ダイレクトボンディング |
|---|---|---|---|
| 性別 | 女性 | 通院回数 | 2回 |
| 主訴 | むし歯を治したい | 費用 | 115,500円(税込) |
| 治療のメリット | 歯を削る量を少なくできる・自然な見た目・境目がピッタリできる | ||
| 治療のデメリット | 経年的な変色の可能性がある | ||
虫歯の治療・ダイレクトボンディング
30代 虫歯治療 ダイレクトボンディング #21

Before

After
| 年齢 | 30代 | 治療方法 | ダイレクトボンディング |
|---|---|---|---|
| 性別 | 女性 | 通院回数 | 2回 |
| 主訴 | むし歯を治したい | 費用 | 115,500円(税込) |
| 治療のメリット | 歯を削る量を少なくできる・自然な見た目・境目がピッタリできる | ||
| 治療のデメリット | 経年的な変色の可能性がある | ||

