症例
お悩みから探す:
新着情報
カテゴリー:
神経を取りたくない・MTAセメント・歯髄保存療法虫歯の治療・ダイレクトボンディング
30代 虫歯治療 VPT(歯髄温存療法)ダイレクトボンディング #35

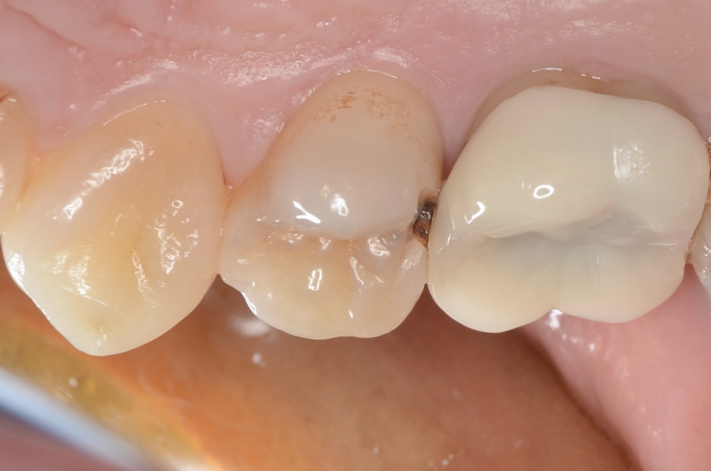
Before

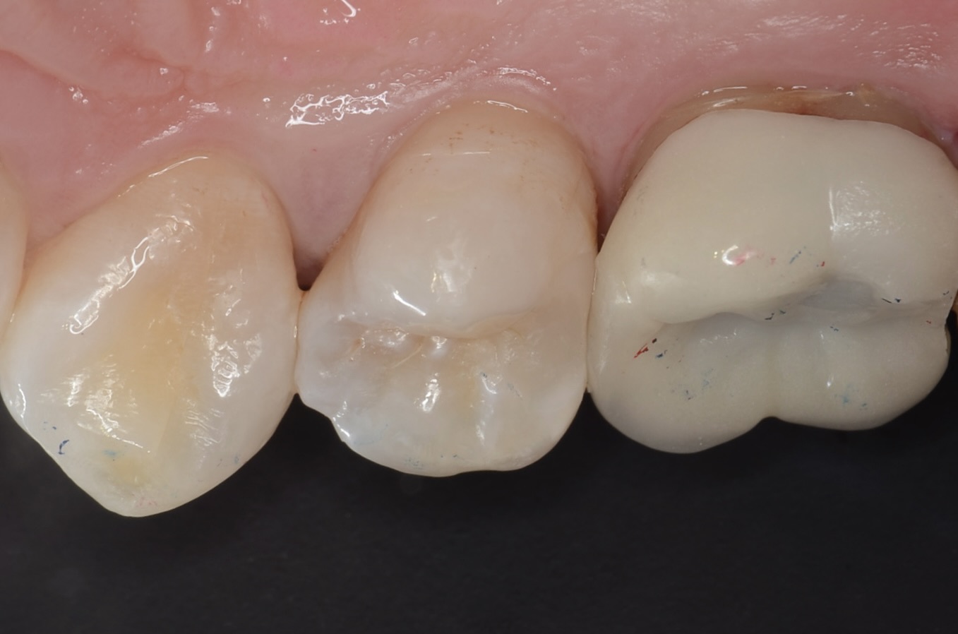
After
症例情報
| 年齢 | 40代 | 治療方法 | VPT(歯髄温存療法)/ダイレクトボンディング |
|---|---|---|---|
| 性別 | 女性 | 通院回数 | 2回 |
| 主訴 | むし歯を治したい /神経を取りたくない | 費用 |
175,000円(税込) |
| 治療のメリット | 神経を保存できる・歯を削る量を少なくできる・自然な見た目・境目がピッタリできる | ||
| 治療のデメリット | 虫歯の大きさ・神経の状態によっては神経を保存できない場合がある | ||
治療詳細
立川市からお越しの患者さんです。虫歯で神経を取りたくないと強く希望されていました。
治療経過
-

口蓋側面観
遠心の歯が欠けて黒くなっています。 -

ラバーダム装着
虫歯を青い齲蝕検知液で染めました。 虫歯が歯の中で広がっています。 -

齲蝕除去
虫歯を完全に取り切ると、露髄しました。 -
数分待って自然止血を確認しました。 白い神経に毛細血管を確認できたので保存可能と判断しました。 -

MTAセメント
-

スーパーボンド
MTAセメントが硬化するまで時間がかかるので8分で硬化し象牙質に接着するスーパーボンドでカバーしました。 -

マトリックス設置
透明マトリックスをテフロンテープで固定しました。 -

レジン充填
-

咬合面観
-

口蓋側面観
継ぎ目なく滑らかにレジンを充填できました。
ダイレクトボンディングを検討されている方は、こちらのページをご覧ください。

