症例
お悩みから探す:
新着情報
カテゴリー:
虫歯の治療・ダイレクトボンディング
40代 虫歯治療VPT(歯髄温存療法) ダイレクトボンディング #29

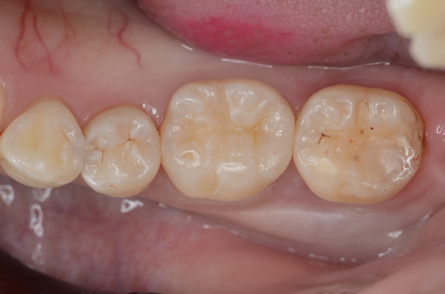
Before

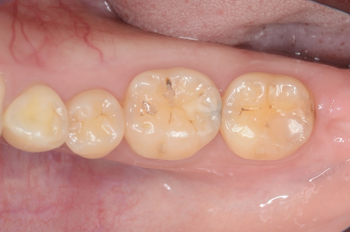
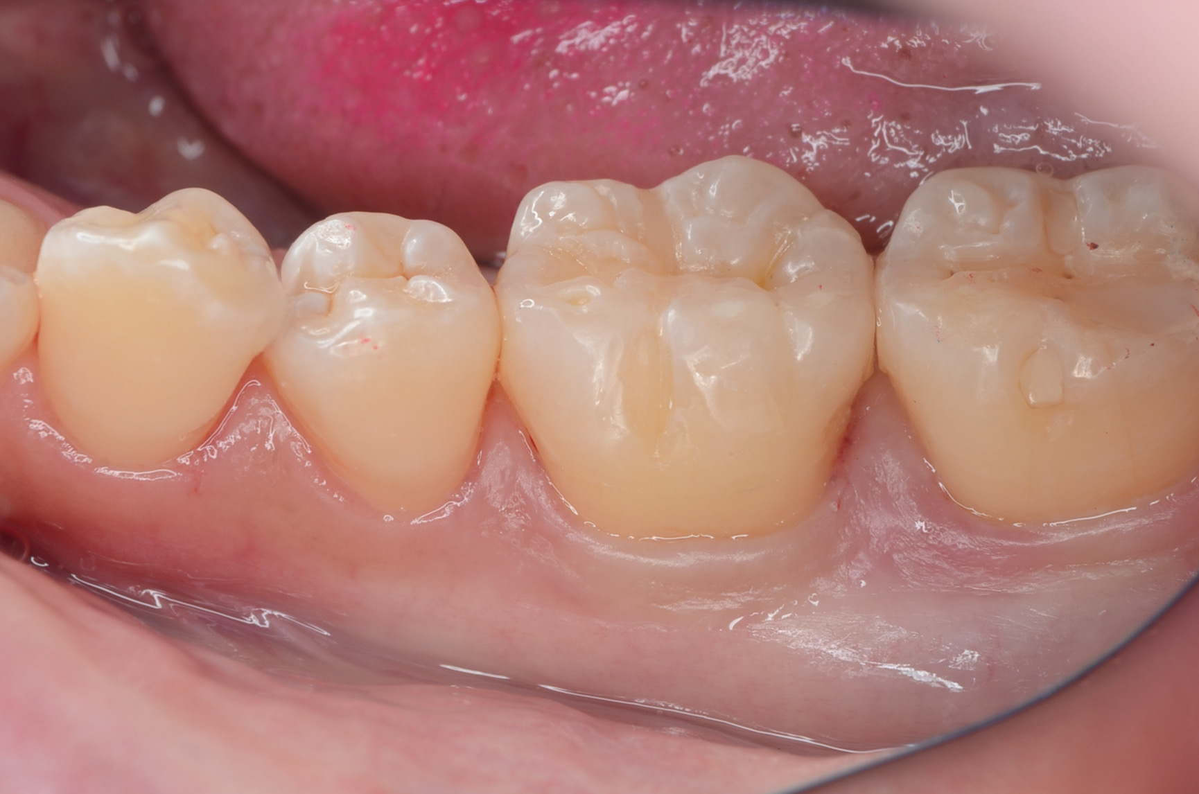
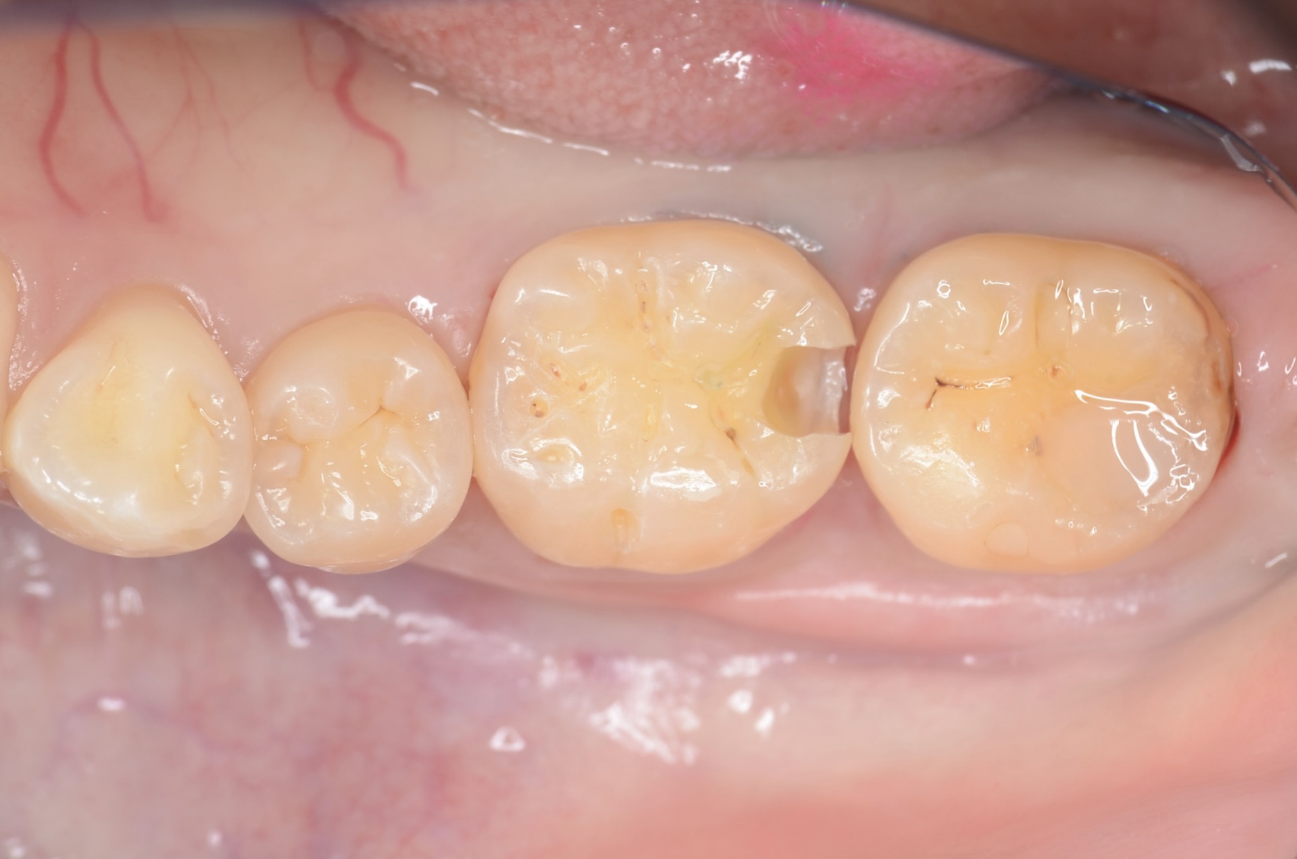
After
症例情報
| 年齢 | 40代 | 治療方法 | VPT(歯髄温存療法)/ダイレクトボンディング |
|---|---|---|---|
| 性別 | 女性 | 通院回数 | 3回 |
| 主訴 | むし歯を治したい /神経を取りたくない | 費用 |
170,500円(税込) |
| 治療のメリット | 神経を保存できる・歯を削る量を少なくできる・自然な見た目・境目がピッタリできる | ||
| 治療のデメリット | 術後、一時的にしみることがある。歯髄が保存できない場合もある。 | ||
治療詳細
多摩市からお越しの患者さんです。神経を取りたくない気持ちが強く、歯髄温存療法に対応する歯科医院を探し、当院を受診していただきました。
治療経過
-

X線写真
6番の遠心隣接面が黒くなっています。 虫歯があります。痛みはなかったようです。 -
エナメル質がうっすら灰色になっている部分から、少し歯を削ってみると中が虫歯になっていました。 -

7番近心面の虫歯
7番近心に虫歯があります。 齲蝕検知液で青く染まります。 -
虫歯を削っていきます。 -

7番近心面の虫歯を除去
-

コンタクトをレジン充填
虫歯が中で広がっているので、先に隣接部をレジン充填して仮封しました。次回続きをします。 -

露髄
1週間後に治療の続きをします。 完全に虫歯を取り切ると露髄しました。 -

MTAセメント
露髄面にMTAセメントを充填しました。 -

スーパーボンド
スーパーボンドでMTAセメントを覆います。 -

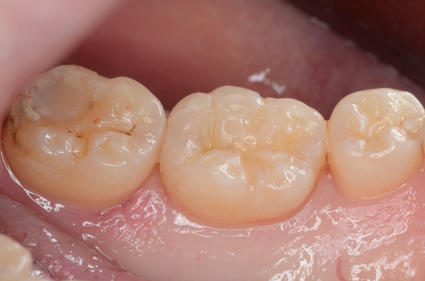
ダイレクトボンディング
天然歯の自然な形態を模倣してレジンを充填しました。 -

舌側面観
ダイレクトボンディングを検討されている方は、こちらのページをご覧ください。

