症例
お悩みから探す:
新着情報
カテゴリー:
虫歯の治療・ダイレクトボンディング
60代 虫歯治療 ダイレクトボンディング #34

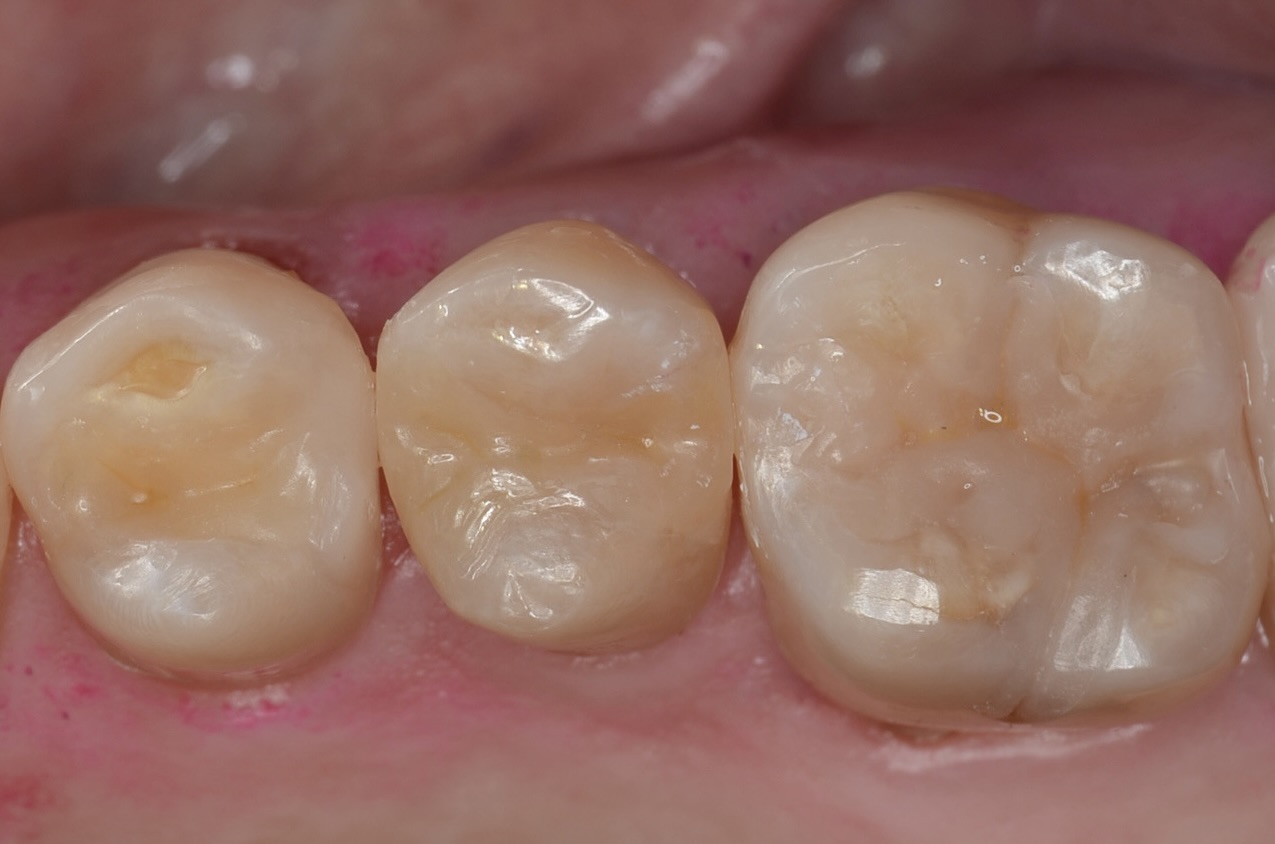
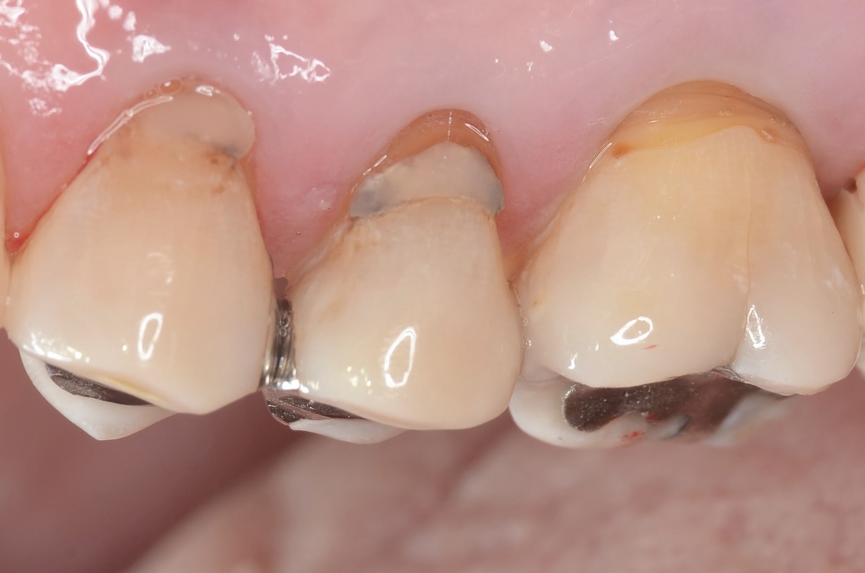
Before

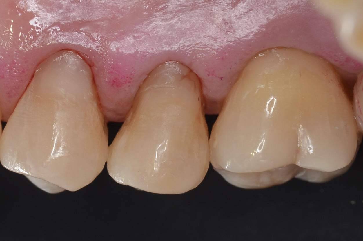
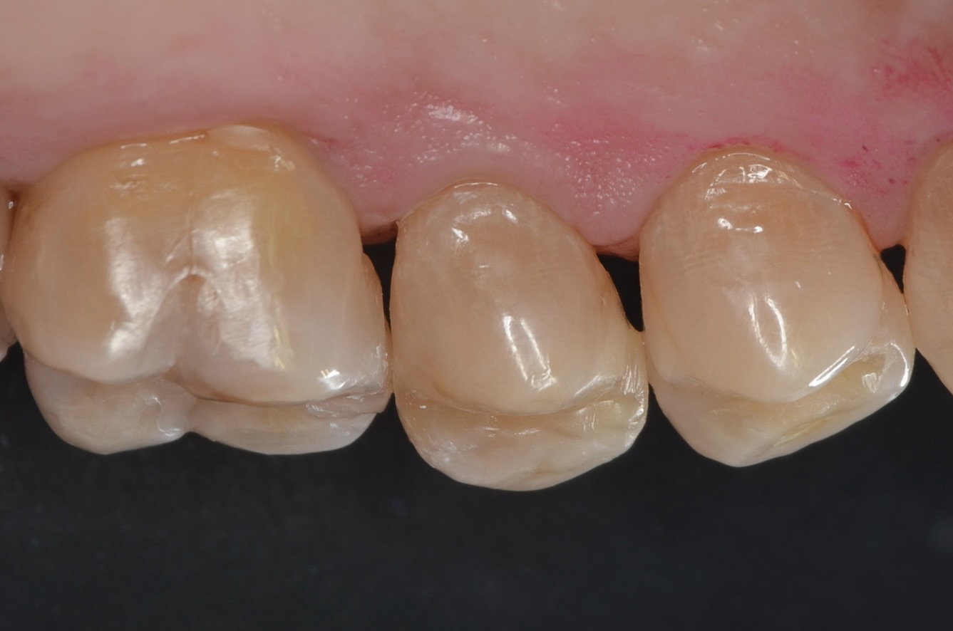
After
症例情報
| 年齢 | 60代 | 治療方法 | ダイレクトボンディング |
|---|---|---|---|
| 性別 | 男性 | 通院回数 | 4回 |
| 主訴 | むし歯を治したい 。歯を長持ちさせたい | 費用 |
346,500円(税込) |
| 治療のメリット | 歯を削る量を少なくできる・自然な見た目・境目がピッタリできる | ||
| 治療のデメリット | 大きい虫歯治療には適応できない場合がある | ||
治療詳細
豊島区からお越しの患者様です
治療経過
-

側方面観
歯頸部に古いレジンが充填されており虫歯になっています。 -

6番のインレーを除去
エナメル質のみを選択的に酸処理をして、接着力を増強させます。 -

6番ダイレクトボンディング
-

5番遠心
虫歯が広がっていました。 -

6番近心
6番の近親も虫歯でした。 -

6番近心ダイレクトボンディング
フロワブルレジンの表面張力を活かし滑らかに充填します。 -

5番ダイレクトボンディング
日を変えて治療になります。 -

4番インレー除去
日を変えて治療になります。 -

4番ダイレクトボンディング
-

側方面観
歯頸部の虫歯も打イレクトボンディングで治療しました。 -

口蓋側面観
滑らかな曲線でフロスも引っかからないです。
ダイレクトボンディングを検討されている方は、こちらのページをご覧ください。

