症例
お悩みから探す:
新着情報
カテゴリー:
虫歯の治療・ダイレクトボンディング
40代 虫歯治療 ダイレクトボンディング #31

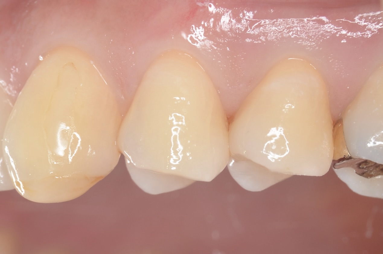
Before

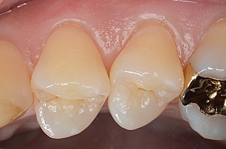
After
症例情報
| 年齢 | 40代 | 治療方法 | ダイレクトボンディング |
|---|---|---|---|
| 性別 | 女性 | 通院回数 | 2回 |
| 主訴 | できるだけ歯を削る量を少なくしてむし歯を治したい | 費用 |
231,000円(税込) |
| 治療のメリット | 歯を削る量を少なくできる・自然な見た目・境目がピッタリできる | ||
| 治療のデメリット | 大きい虫歯治療には適応できない場合がある | ||
治療経過
-

-

-

歯垢を染める
-

ラバーダム装着
-

5番近心を少しだけ削る
中で虫歯が広がっているようです。 -

虫歯の出現
-

4番遠心にも虫歯発見
-

4番遠心虫歯拡大
初期虫歯のように見えますが -

少し削る
-

虫歯を完璧に除去
-

レジン充填
4番5番の歯間をセパレーターで強制的に広げて 滑らかな曲線をレジンで造形していきます。 -

5番近心レジン充填
フロスが適度なキツさで「パチン」と入れることができます。 -

やや斜めから見たところ
段差ができないようにひたすら研磨します。 -

咬合面観
ダイレクトボンディングを検討されている方は、こちらのページをご覧ください。

