症例
お悩みから探す:
新着情報
カテゴリー:
歯周病治療・歯周組織再生療法歯茎下がりの治療 根面被覆術
「歯茎下がり」を根面被覆術で治療 40代男性 下顎前歯部 2

Before

After
症例情報
| 年齢 | 40代 | 治療方法 | 根面被覆術 |
|---|---|---|---|
| 性別 | 男性 | 通院回数 | 8回(消毒を含む) |
| 主訴 | 歯茎が下がって歯がしみる | 費用 |
220,000円(税込) |
| 治療のメリット | 下がった歯ぐきをカバーできる | ||
| 治療のデメリット | 歯茎の状態によっては成功率が低くなる | ||
治療経過
-

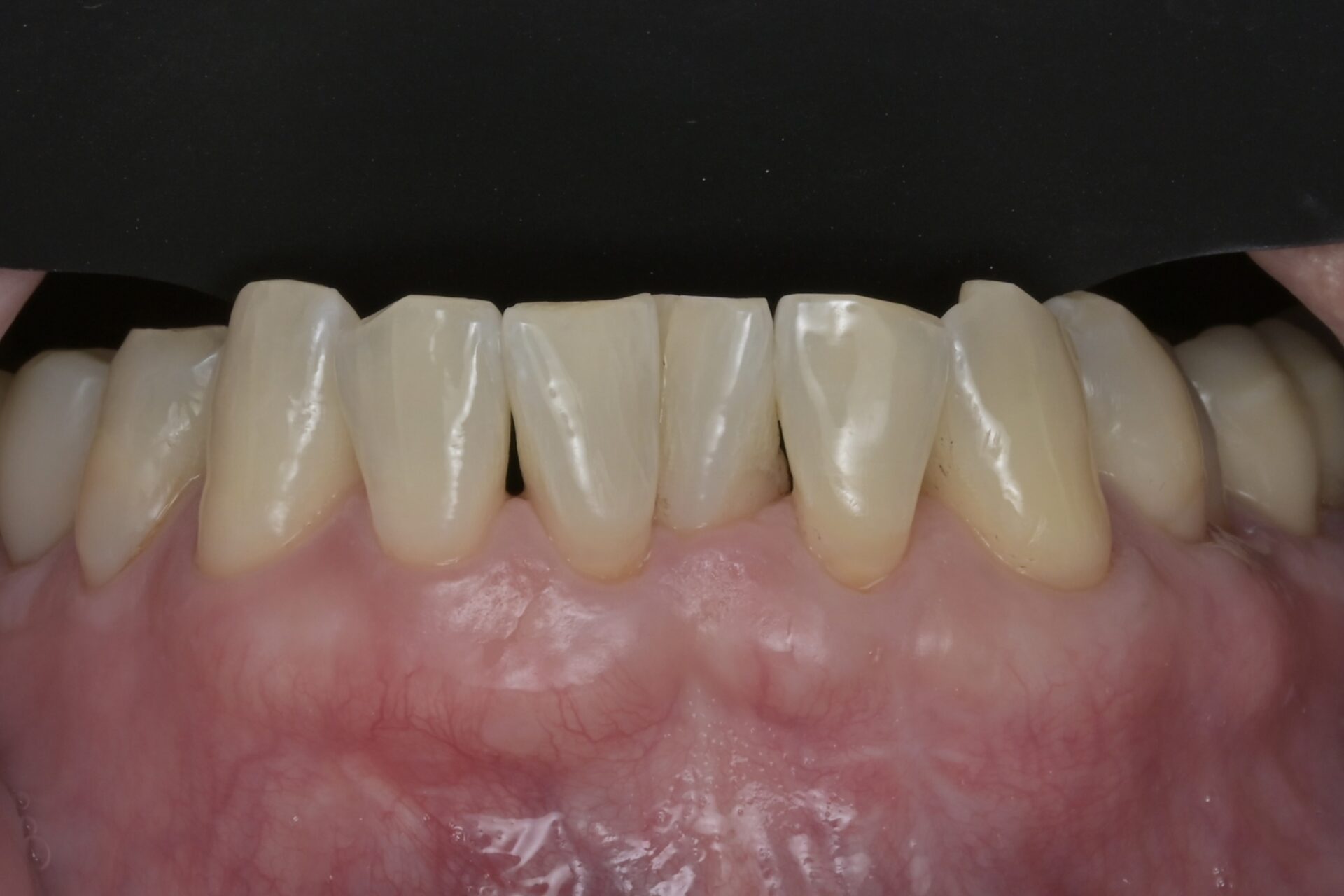
初診時
硬い毛先の歯ブラシはやめてもらい強すぎるブラッシングの改善をしてもらいます。 下がった歯茎にレジンで充填されています。 -

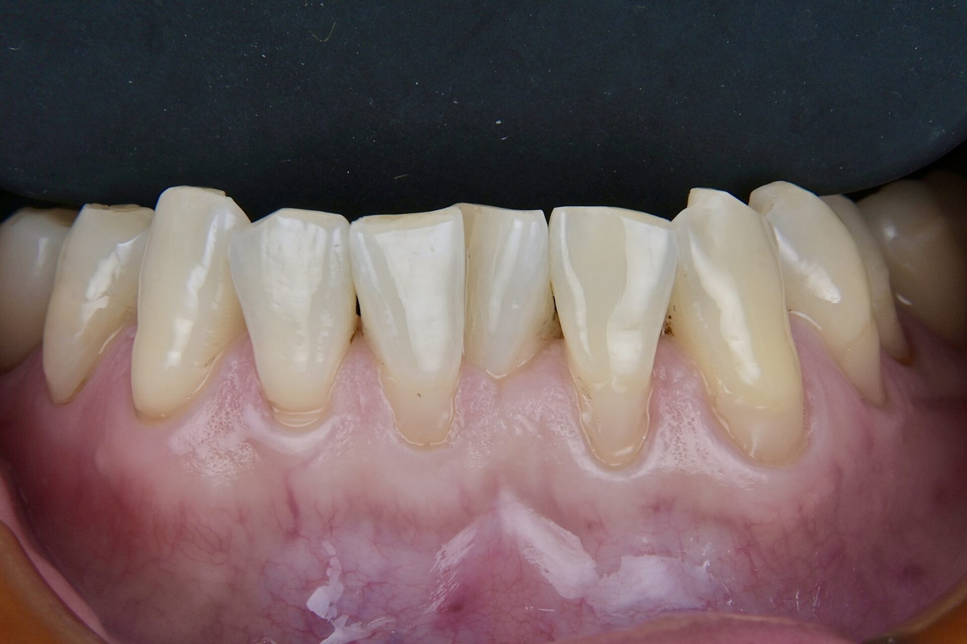
理想的歯頸ラインの構築
古いレジンを全部剥がして、理想的な歯頸ラインをレジンで作り直します。 -

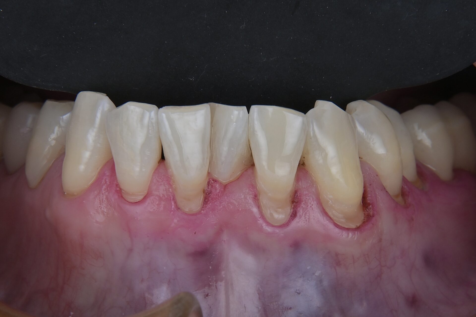
結合組織の試適
両側口蓋部より結合組織を採取して歯肉退縮部に仮置きしました。結合組織の長さと幅は十分です。 -

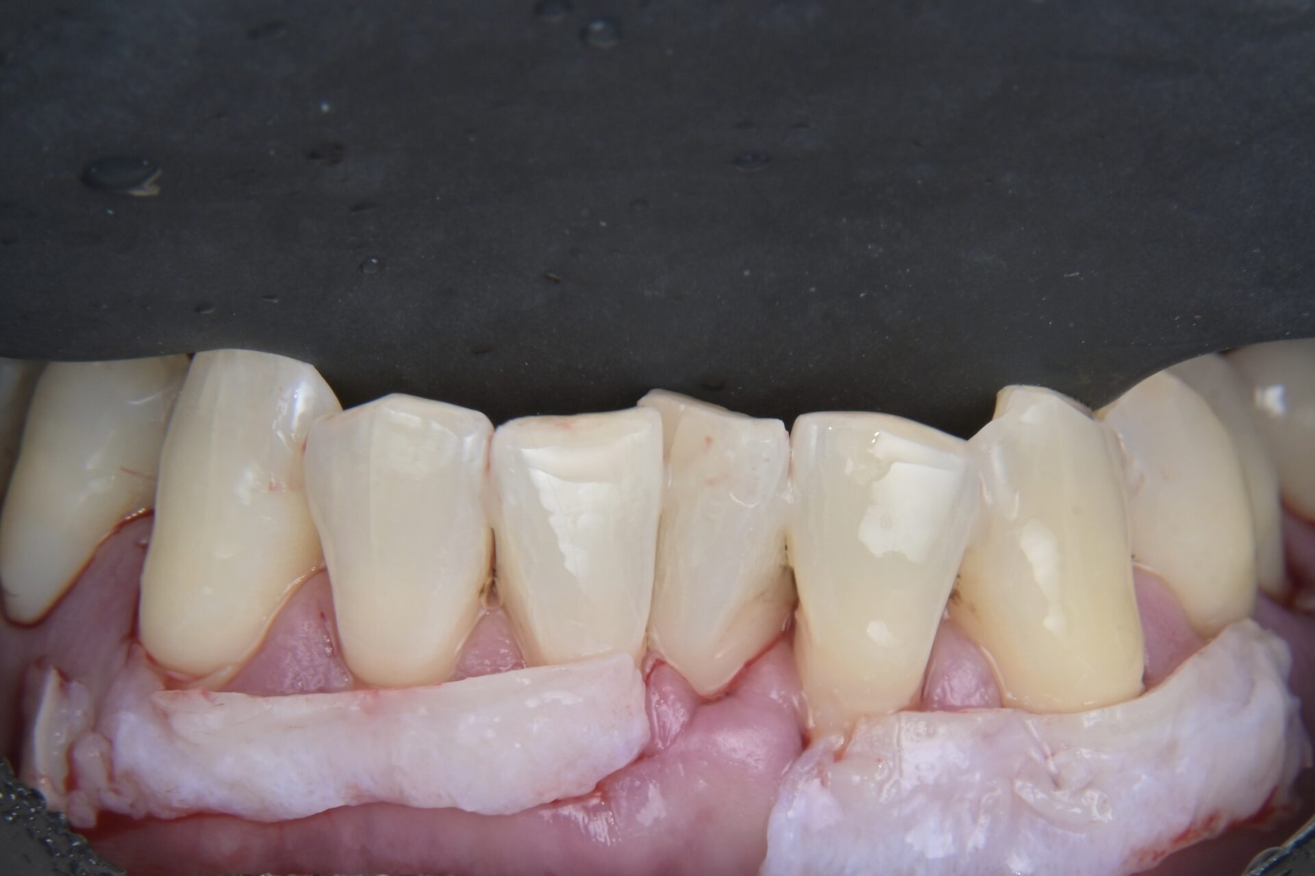
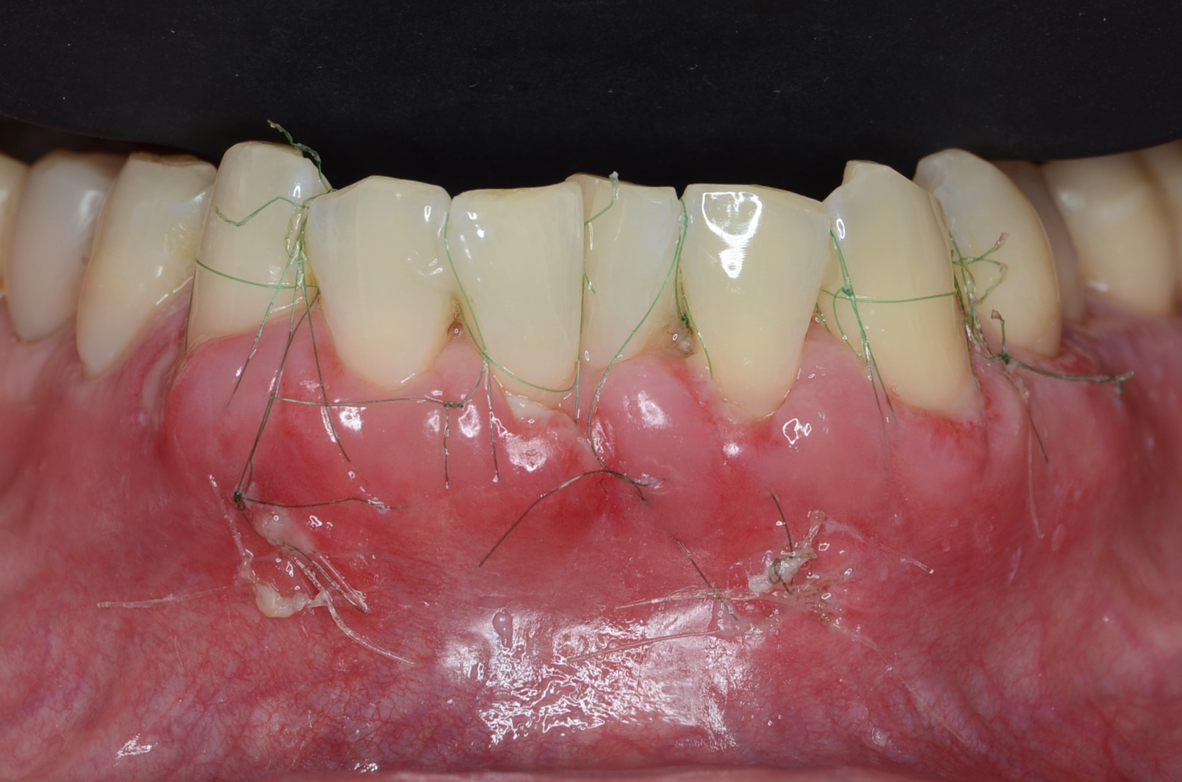
縫合
歯茎の中に結合組織を入れて縫合します。 -

術後1週間
良好な治癒です -

術後1ヶ月
歯茎が安定してきました。 -

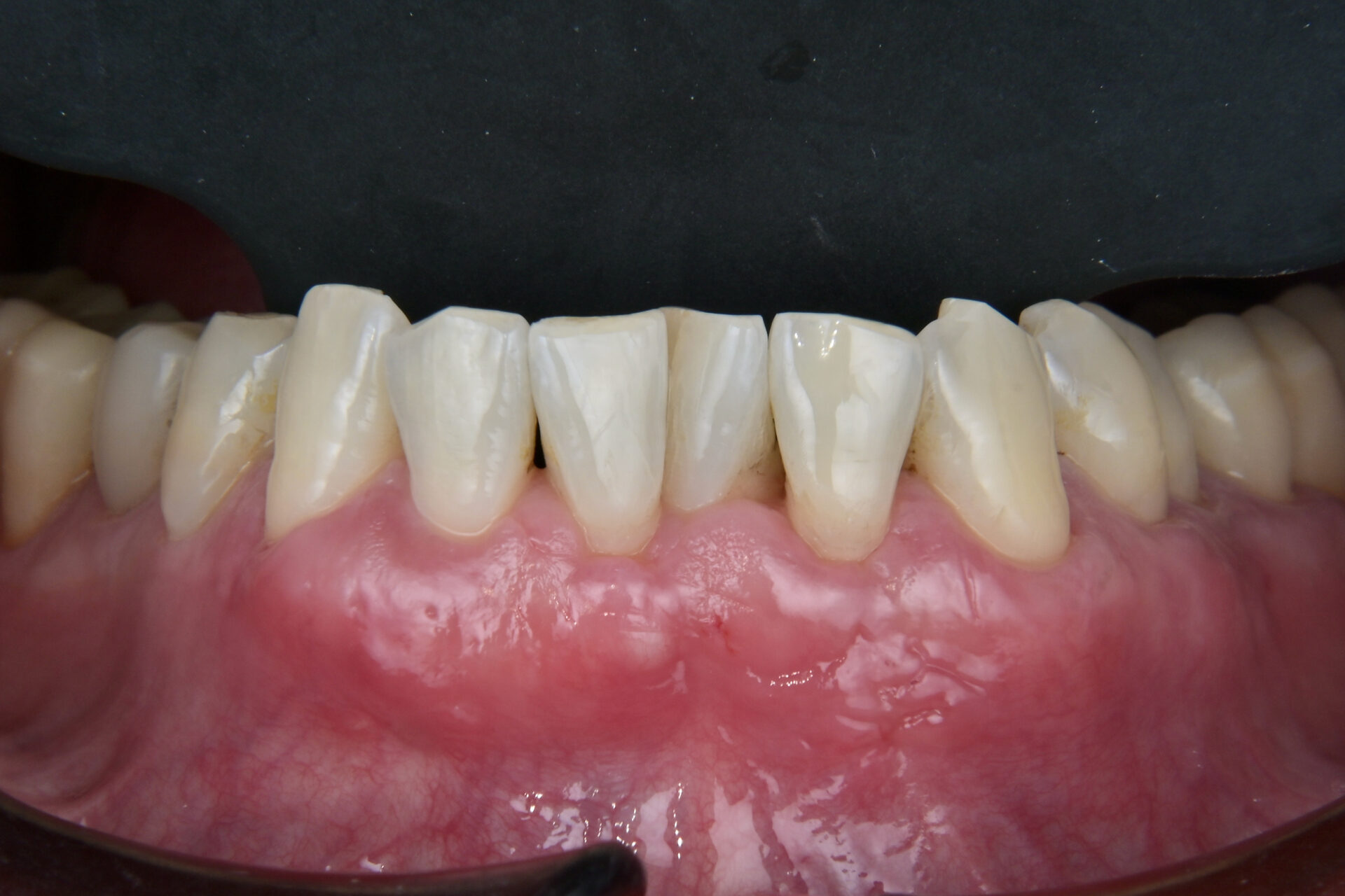
術後10ヶ月
歯茎は引き締まり、歯肉退縮はカバーされています。

