症例
お悩みから探す:
新着情報
カテゴリー:
虫歯の治療・ダイレクトボンディング
20代 虫歯治療 VPT(歯髄温存療法)ダイレクトボンディング #54

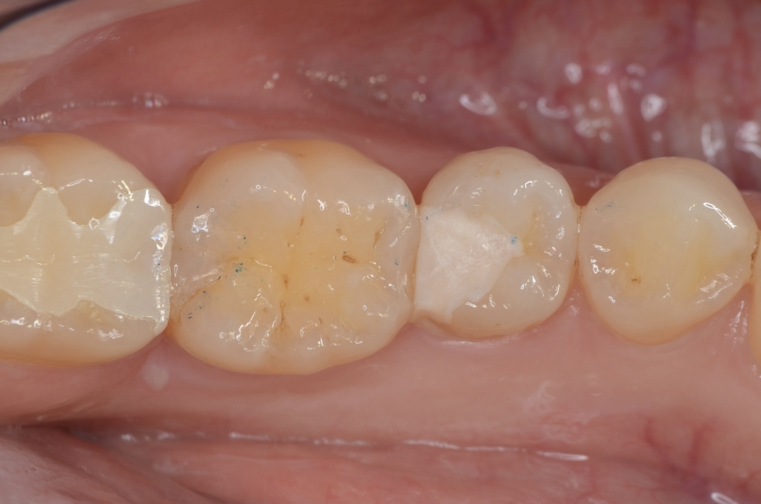
Before

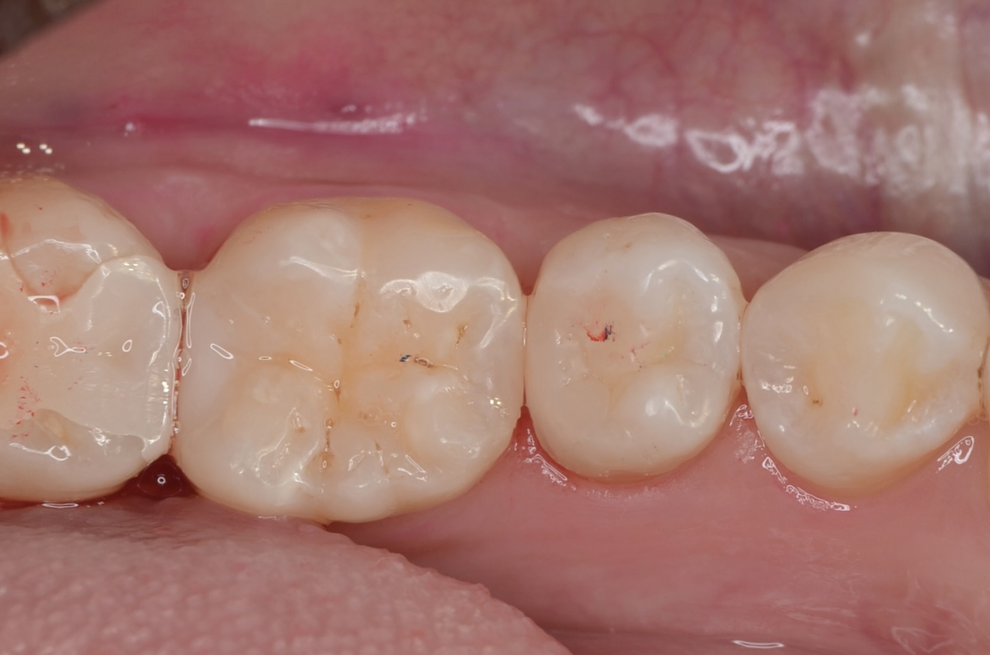
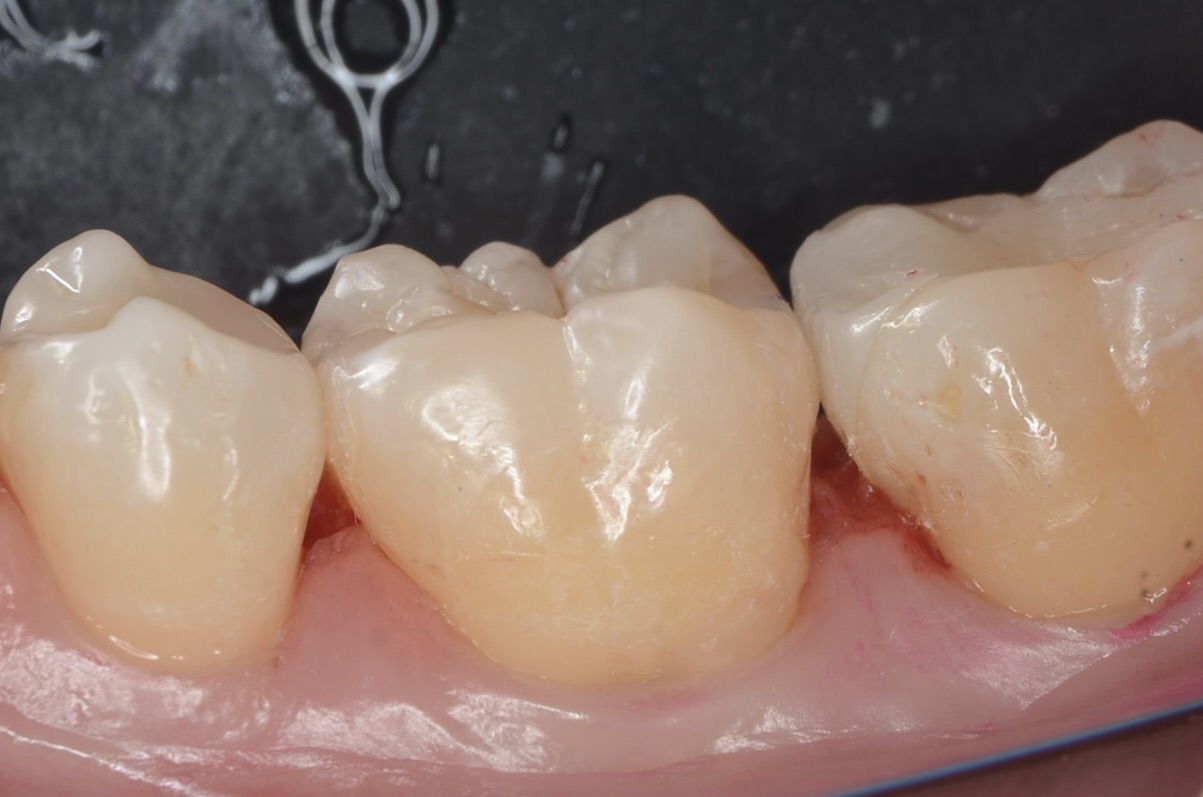
After
症例情報
| 年齢 | 20代 | 治療方法 | VPT(歯髄温存療法)/ダイレクトボンディング |
|---|---|---|---|
| 性別 | 女性 | 通院回数 | 3回 |
| 主訴 | むし歯を治したい /神経を取りたくない | 費用 |
286,000円(税込) |
| 治療のメリット | 神経を保存できる。歯を削る量を少なくできる。自然な形にできる | ||
| 治療のデメリット | 大きい虫歯治療には適応できない場合がある | ||
治療経過
-

歯垢の染め出し
歯垢は接着操作を妨げます。治療前には、必ず歯垢染め出し液により歯垢を見える化し、その後ジェットパウダークリーニングにより徹底的に除去します。保険診療ではここまでする事はほとんどありません。 -

セメント除去
虫歯治療においてもラバーダム装着は必須です。 唾液や血液から歯面が汚染されるのを防ぎ、乾燥状態を保つラバーダムは、接着力を向上させるためにも大切なアイテムです。 -

6番近心
初期虫歯と思われる所見でも、実際に歯を削ってみると結構虫歯は広がっているものです。これをフッ素塗布や家庭でのブラッシングやフロスで進行を止めることはできません。 当院では治療します。 -

虫歯除去
それなりに虫歯は広がっていました。 -

ダイレクトボンディング
滑らかな曲線になるようにレジンで埋めます。 -

5番虫歯除去
青い齲蝕検知液で虫歯を染めて染まった部分を削ります。この工程を青く染まらなくなるまで歯にできるだけダメージがないように優しい力で丁寧に行います。この作業は時間がかかります。保険診療の短い時間で行うことは限界があります。 -

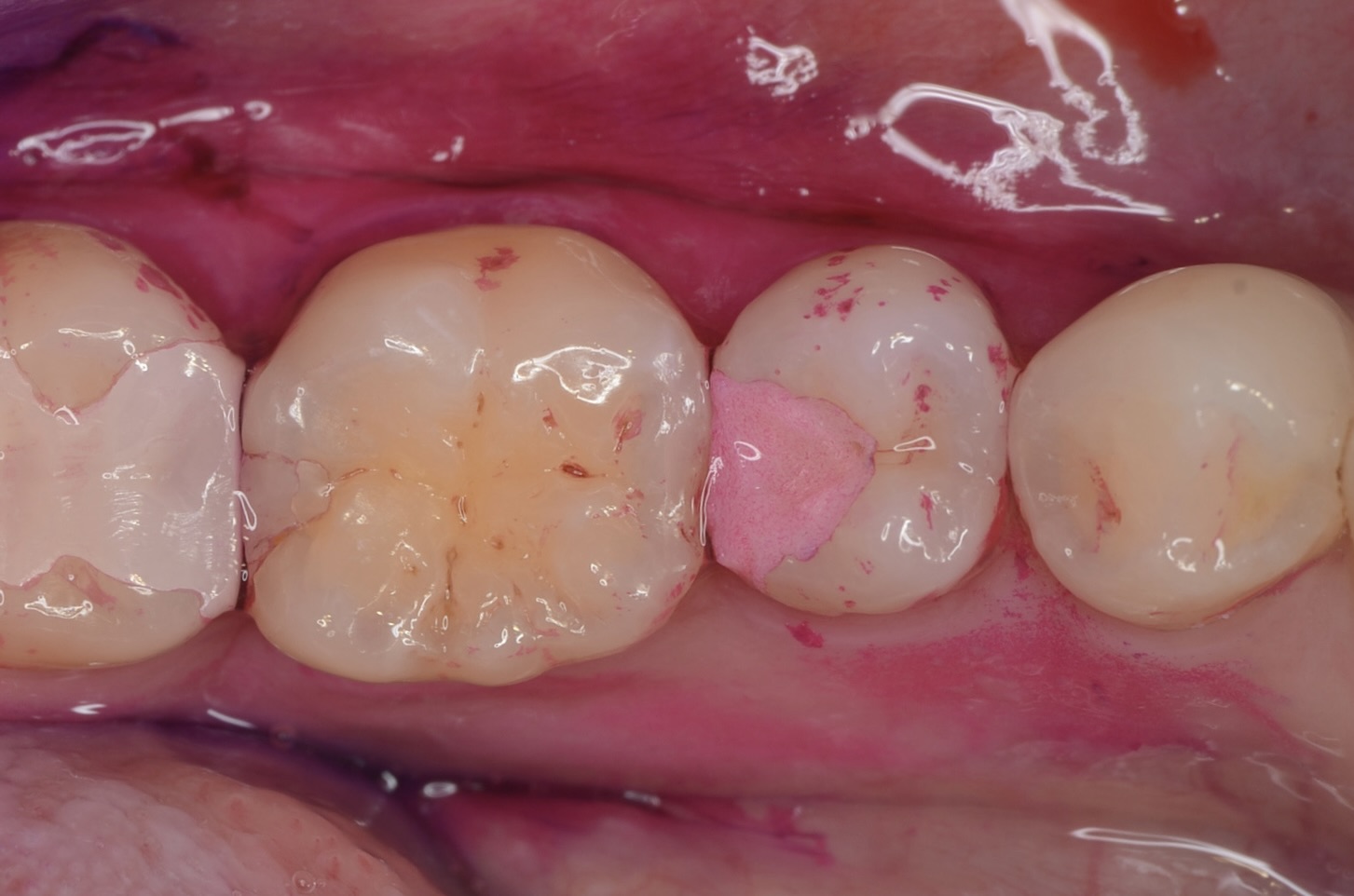
露髄
虫歯を完全に取り除くと出血してきました。 -

MTAセメント
数分後に自然止血しました。マイクロスコープで神経の状態を確認し保存できると判断しました。MTAセメントは硬化までに数時間かかります。 MTAセメントは弱アルカリ性で象牙祭管内の最近を殺菌します。MTAセメントを充填しました。MTAセメントは弱アルカリ性で象牙祭管内の細菌を殺菌します。また正体親和性が高くセメント質の形成を誘導します。 -

スーパーボンド
MTAセメントの効果には数時間かかるので、象牙質に強固に接着するスーパーボンドでMTAセメントを覆います。 -

マトリックス設置
透明なポリエステルテープを使い壁を作ります。 -

ダイレクトボンディング
天然歯の自然な形態を模倣してレジンを充填しました。 -

後日
今度は6番の遠心面を治療します。 -

虫歯除去
完全に虫歯を取り除きました。 -

ダイレクトボンディング
天然歯の自然な形態を模倣してレジンを充填しました。 -

後日、形態修正
研磨をしっかり丁寧にすることで、レジンと歯質の段差を修正し、虫歯になりにくくします。 -

硎磨
自然な見た目に仕上がりました。噛み合わせも問題ありません。本当の審美歯科とは、見た目の美しさ・機能・清掃性が伴って成立します。 -

頬側面観
-

舌側面観
ダイレクトボンディングを検討されている方は、こちらのページをご覧ください。

