症例
診療科目から探す:
お悩みから探す:
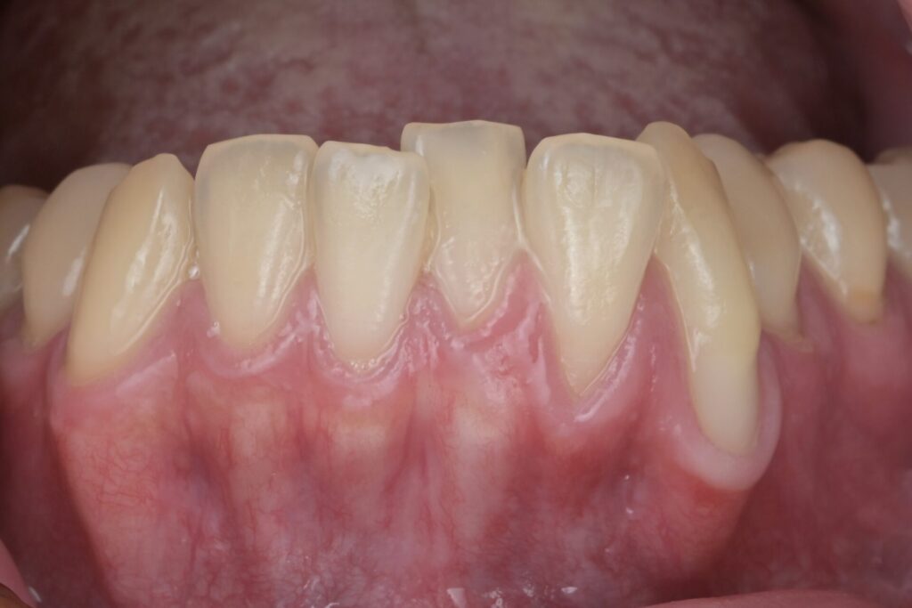
歯周病治療・歯周組織再生療法歯茎下がりの治療 根面被覆術
「歯茎下がり」を根面被覆術で治療 30代男性 下顎犬歯部

Before

After
| 年齢 | 50代 | 治療方法 | 根面被覆術 |
|---|---|---|---|
| 性別 | 女性 | 通院回数 | 6回 |
| 主訴 | 下がった歯茎を治したい | 費用 | 165,000円(税込) |
| 治療のメリット | 下がった歯茎を回復・歯肉の厚みを増す | ||
| 治療のデメリット | 完全に回復できない場合がある | ||
歯周病治療・歯周組織再生療法歯茎下がりの治療 根面被覆術
「歯茎下がり」を根面被覆術で治療 40代男性 下顎前歯部 2

Before

After
| 年齢 | 40代 | 治療方法 | 根面被覆術 |
|---|---|---|---|
| 性別 | 男性 | 通院回数 | 8回(消毒を含む) |
| 主訴 | 歯茎が下がって歯がしみる | 費用 | 220,000円(税込) |
| 治療のメリット | 下がった歯ぐきをカバーできる | ||
| 治療のデメリット | 歯茎の状態によっては成功率が低くなる | ||
歯周病治療・歯周組織再生療法歯茎下がりの治療 根面被覆術
「歯茎下がり」を根面被覆術で治療 50代女性 歯周形成外科

Before

After
| 年齢 | 40代 | 治療方法 | 根面被覆術 |
|---|---|---|---|
| 性別 | 女性 | 通院回数 | 5回 |
| 主訴 | 歯茎下がっているのが心配 | 費用 | 198,000円(税込) |
| 治療のメリット | 下がった歯茎を回復・歯肉の厚みを増す | ||
| 治療のデメリット | 歯茎下がりが進行している場合、完全な根面被覆は期待できない | ||
歯茎下がりの治療 根面被覆術
「歯茎下がり」を根面被覆術で治療 20代女性 下顎臼歯部

Before

After
| 年齢 | 20代 | 治療方法 | Coronally Advanced Flap with CTG |
|---|---|---|---|
| 性別 | 女性 | 通院回数 | 7回 |
| 主訴 | 歯肉退縮を治したい | 費用 | 16.5万円 |
| 治療のメリット | 下がった歯茎を回復・歯肉の厚みを増す | ||
| 治療のデメリット | 術後、一時的に染みることがある。予定通り歯茎が回復しない場合もある | ||
歯茎下がりの治療 根面被覆術
「歯茎下がり」を根面被覆術で治療 40代男性 歯周形成外科 VISTA

Before

After
| 年齢 | 40代 | 治療方法 | VISTA with CTG |
|---|---|---|---|
| 性別 | 男性 | 通院回数 | 7回 |
| 主訴 | 歯肉退縮を治したい | 費用 | 16.5万円 |
| 治療のメリット | 下がった歯茎を回復・歯肉の厚みを増す | ||
| 治療のデメリット | 術後、一時的に染みることがある。予定通り歯茎が回復しない場合もある | ||
歯周病治療・歯周組織再生療法歯茎下がりの治療 根面被覆術
「歯茎下がり」を根面被覆術で治療 40代男性 上顎前歯部

Before

After
| 年齢 | 40代 | 治療方法 | Modified Coronally Advanced Flap with CTG |
|---|---|---|---|
| 性別 | 男性 | 通院回数 | 7回 |
| 主訴 | 歯肉退縮を治したい | 費用 | 165,000円 |
| 治療のメリット | 下がった歯茎を回復・歯肉の厚みを増す | ||
| 治療のデメリット | 術後、一時的にしみることがある。予定通り歯茎が回復しない場合もある | ||
歯周病治療・歯周組織再生療法歯茎下がりの治療 根面被覆術
「歯茎下がり」を根面被覆術で治療 40代男性 下顎前歯部

Before

After
| 年齢 | 40代 | 治療方法 | VISTA with CTG |
|---|---|---|---|
| 性別 | 男性 | 通院回数 | 7回 |
| 主訴 | 歯肉退縮を治したい | 費用 | 165,000円 |
| 治療のメリット | 下がった歯茎を回復・歯肉の厚みを増す | ||
| 治療のデメリット | 術後、一時的にしみることがある。予定通り歯茎が回復しない場合もある | ||
歯周病治療・歯周組織再生療法歯茎下がりの治療 根面被覆術
「歯茎下がり」を根面被覆術で治療 40代男性 上顎前歯部

Before

After
| 年齢 | 40代 | 治療方法 | Modified Coronally Advanced Flap with CTG |
|---|---|---|---|
| 性別 | 男性 | 通院回数 | 7回 |
| 主訴 | 差し歯の根本が黒ずんでいる | 費用 | 165,000円 |
| 治療のメリット | 下がった歯茎を回復・歯肉の厚みを増す | ||
| 治療のデメリット | 術後、一時的にしみることがある。予定通り歯茎が回復しない場合もある | ||
歯茎下がりの治療 根面被覆術
「歯茎下がり」を根面被覆術で治療 40代男性 上顎犬歯部

Before

After
| 年齢 | 40代 | 治療方法 | トンネrングテクニック+CTG |
|---|---|---|---|
| 性別 | 男性 | 通院回数 | 7回 |
| 主訴 | 歯肉退縮を治したい | 費用 | 165,000円 |
| 治療のメリット | 下がった歯茎を回復・歯肉の厚みを増す | ||
| 治療のデメリット | 術後、一時的に染みることがある。予定通り歯茎が回復しない場合もある | ||
歯周病治療・歯周組織再生療法歯茎下がりの治療 根面被覆術
「歯茎下がり」を根面被覆術で治療 40代男性 上顎前歯部

Before

After
| 年齢 | 40代 | 治療方法 | Modified Coronally Advanced Flap with CTG |
|---|---|---|---|
| 性別 | 男性 | 通院回数 | 7回 |
| 主訴 | 歯肉退縮を治したい | 費用 | 165,000円 |
| 治療のメリット | 下がった歯茎を回復・歯肉の厚みを増す | ||
| 治療のデメリット | 術後、一時的に染みることがある。予定通り歯茎が回復しない場合もある | ||

