症例
お悩みから探す:
新着情報
カテゴリー:
虫歯の治療・ダイレクトボンディング
40代 虫歯治療 ダイレクトボンディング #53

Before

After
症例情報
| 年齢 | 40代 | 治療方法 | ダイレクトボンディング |
|---|---|---|---|
| 性別 | 男性 | 通院回数 | 2回 |
| 主訴 | できるだけ歯を削る量を少なくしてむし歯を治したい | 費用 |
121,000円(税込) |
| 治療のメリット | 歯を削る量を少なくできる・自然な見た目・境目がピッタリできる | ||
| 治療のデメリット | 大きい虫歯治療には適応できない場合がある | ||
治療経過
-

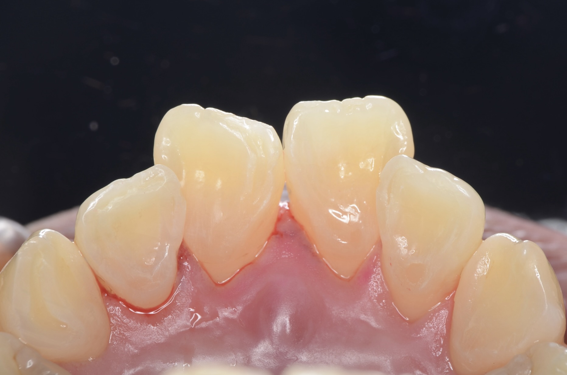
術前 前から見る
前歯の歯と歯の間にレジンで治療されていました。 そこが虫歯になっていたので、再治療となります。 -

左上1番 レジン除去
古いレジン(プラスティック)を外して虫歯治療をします。青い齲蝕検知液で虫歯を染めます。奥の方が青く染まっています。 -

虫歯を完全に取り切る
スポンジに水が染み込むように虫歯は歯の中を侵食します。レントゲンで見えている以上に歯の中で広がっていることが多いです。 -

右上1番 裏から見る
両方の前歯の虫歯を完全に取り切りました。 -

知覚過敏抑制材
虫歯は神経まで到達していませんでしたが、かなり大きかったので、知覚過敏抑制剤を刷り込み神経を保護します。 -

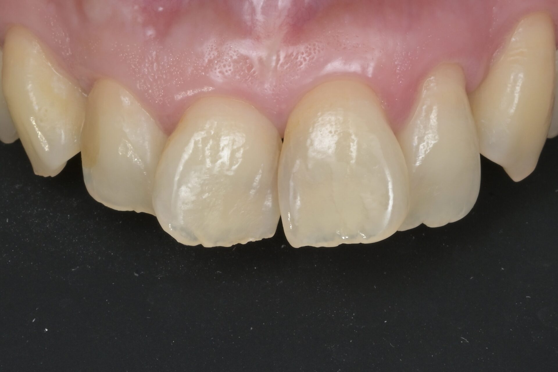
レジン充填 正面から見る
天然歯の自然な形態を模倣してレジンを充填しました。 -

レジン充填 左から見る
充填後、フロスを歯間部に通して引っ掛かりや適切な接触強さを確認しています。 -

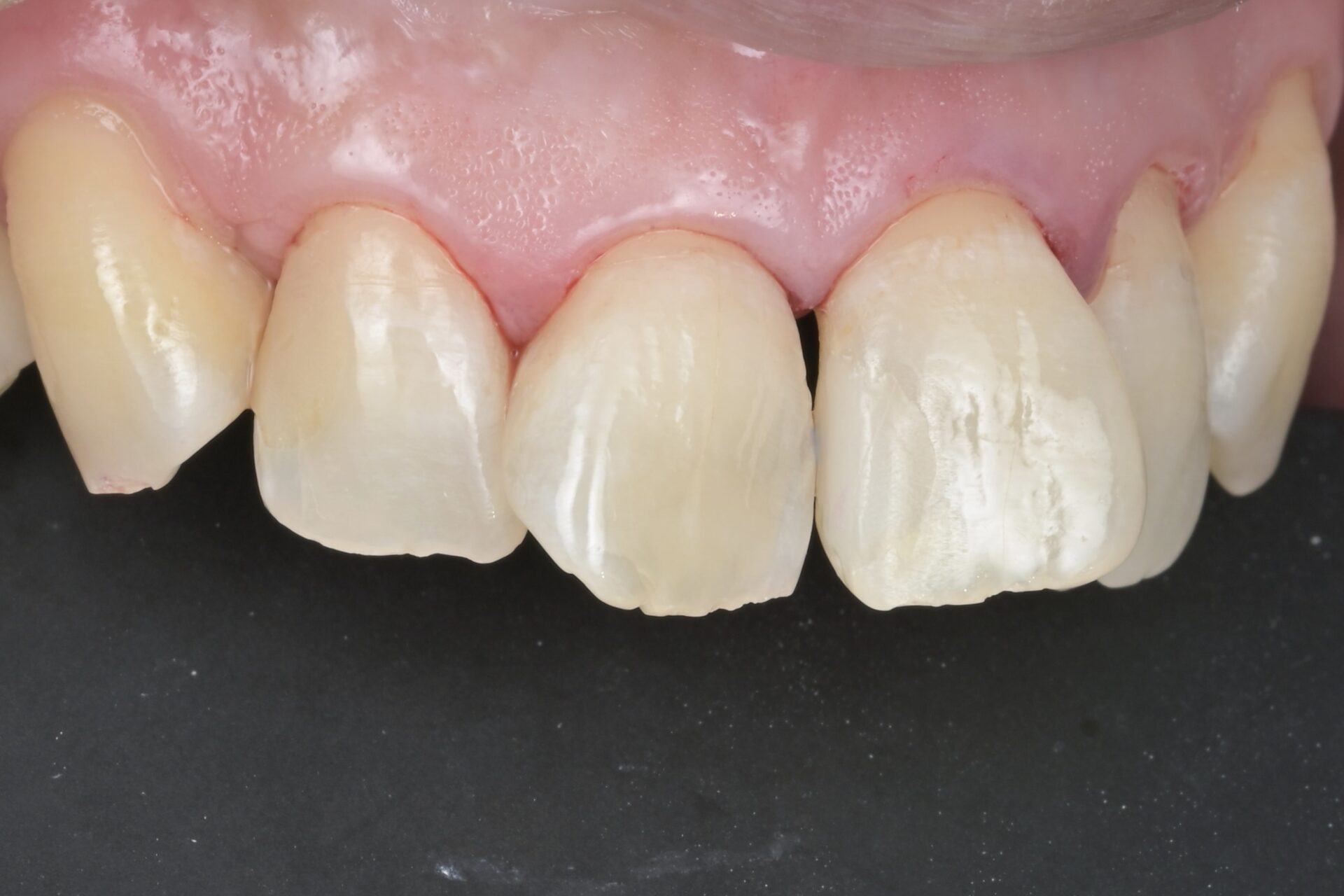
レジン充填 右から見る
研磨をしっかり丁寧にすることで、レジンと歯質の段差を修正し、虫歯になりにくくしています。
ダイレクトボンディングを検討されている方は、こちらのページをご覧ください。

