症例
お悩みから探す:
新着情報
カテゴリー:
虫歯の治療・ダイレクトボンディング
40代 虫歯治療 ダイレクトボンディング #52

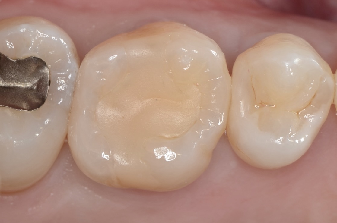
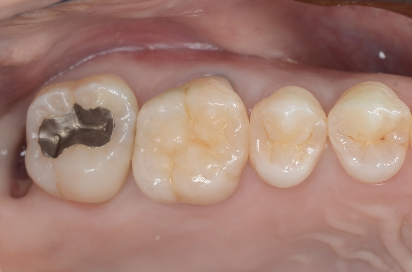
Before

After
症例情報
| 年齢 | 40代 | 治療方法 | ダイレクトボンディング |
|---|---|---|---|
| 性別 | 男性 | 通院回数 | 2回 |
| 主訴 | むし歯を治したい | 費用 |
115,500円(税込) |
| 治療のメリット | 歯を削る量を少なくできる・自然な見た目・境目がピッタリできる | ||
| 治療のデメリット | 大きい虫歯治療には適応できない場合がある | ||
治療経過
-

旧レジン除去
青い齲蝕検知液で虫歯を染めて染まった部分を削ります。この工程を青く染まらなくなるまで歯にできるだけダメージがないように優しい力で丁寧に行います。この作業は時間がかかります。保険診療の短い時間で行うことは限界があります。 -

虫歯除去
虫歯が綺麗に取れました。 -

知覚過敏抑制材
虫歯は神経すれすれでしたが、露髄はしなかったので知覚過敏抑制材を象牙質にすり込みました。ハイドロキシアパタイトで象牙細管を封鎖することにより知覚過敏を抑制します。大きな虫歯の治療後は違和感が出やすいので予防的にこの様な処置もしています。 -

ダイレクトボンディング
天然歯の自然な形態を模倣してレジンを充填しました。 -

頬側から見る
-

1週間後 研磨
研磨をしっかり丁寧にすることで、レジンと歯質の段差を修正し、虫歯になりにくくします。
ダイレクトボンディングを検討されている方は、こちらのページをご覧ください。

