症例
お悩みから探す:
新着情報
カテゴリー:
虫歯の治療・ダイレクトボンディング
40代 虫歯治療 ダイレクトボンディング #40

Before

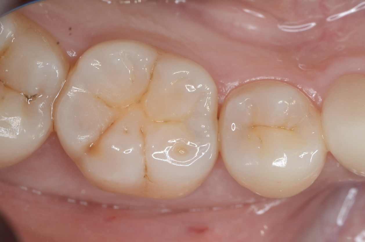
After
症例情報
| 年齢 | 40代 | 治療方法 | ダイレクトボンディング |
|---|---|---|---|
| 性別 | 女性 | 通院回数 | 2回 |
| 主訴 | できるだけ歯を削る量を少なくして,むし歯を治したい | 費用 |
121,000円(税込) |
| 治療のメリット | 歯を削る量を少なくできる・自然な見た目・境目がピッタリできる | ||
| 治療のデメリット | 大きい虫歯治療には適応できない場合がある | ||
治療詳細
歯と歯の間の虫歯をだイレクトボンディングで治療しました。
X線写真で、段差なくピッタリ充填できているのがわかります。
治療経過
-

-

咬合接触点の確認
噛み合わせの点を印記します。できるだけ咬合接触点は削らないようにします。 -

ラバーダム装着
虫歯治療においてもラバーダム装着は必須です。 唾液や血液から歯面が汚染されるのを防ぎ、乾燥状態を保つラバーダムは、接着力を向上させるためにも大切なアイテムです。 -

5番遠心虫歯
6番の近心から虫歯を除去し、その空間から5番遠心の辺縁隆線をできるだけ、削らないようにします。 -

5番遠心虫歯除去
-

6番近心
-

咬合面観
-

5番遠心レジン充填
フロワブルレジンを用いて、その表面張力を利用して滑らかで段差のないレジン充填を実現させます。 -

ダイレクトボンディング終了
セパレーターで歯間離開させながら光を当てながらレジンを硬化させる3Dプリンターテクニックを用いて治療しました。 -

研磨後
研磨をしっかり丁寧にすることで、レジンと歯質の段差を修正し、虫歯になりにくくします。
ダイレクトボンディングを検討されている方は、こちらのページをご覧ください。

