症例
お悩みから探す:
新着情報
カテゴリー:
虫歯の治療・ダイレクトボンディング
20代 虫歯治療 ダイレクトボンディング #57

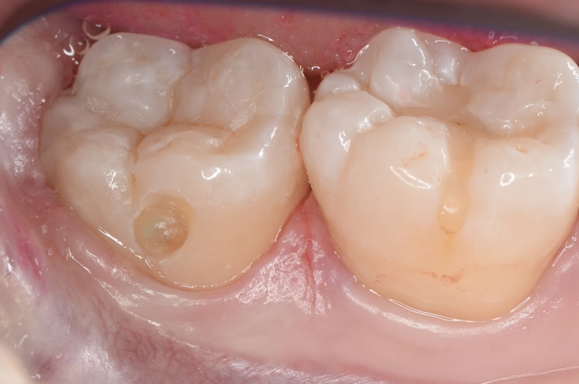
Before

After
症例情報
| 年齢 | 20代 | 治療方法 | ダイレクトボンディング |
|---|---|---|---|
| 性別 | 男性 | 通院回数 | 2回 |
| 主訴 | むし歯を治したい | 費用 |
115,500円(税込) |
| 治療のメリット | 歯を削る量を少なくできる・自然な見た目・境目がピッタリできる | ||
| 治療のデメリット | 大きい虫歯治療には適応できない場合がある | ||
治療経過
-

ラバーダム装着
虫歯治療においてもラバーダム装着は必須です。 唾液や血液から歯面が汚染されるのを防ぎ、乾燥状態を保つラバーダムは、接着力を向上させるためにも大切なアイテムです。 虫歯になっている歯は一部歯茎が被さっています。ラバーダムが装着しにくくラバーの隙間から唾液が侵入しそうだったので青い柔らかいレジンで隙間を埋めました。 -

ラバーダム装着後、虫歯をとる
少し歯を削って齲蝕検知液で染めてみると青く染まります。やはり歯の中で虫歯が進行しています。 -

虫歯除去
青い齲蝕検知液で虫歯を染めて染まった部分を削ります。この工程を青く染まらなくなるまで歯にできるだけダメージがないように優しい力で丁寧に行います。この作業は時間がかかります。保険診療の短い時間で行うことは限界があります。 -

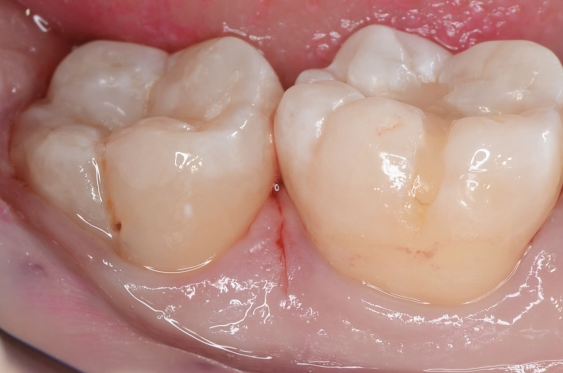
ダイレクトボンディング
天然歯の自然な形態を模倣してレジンを充填しました。 -

側面の虫歯
細い器具で触ったところ、粘りつくような感覚がありました。中で虫歯が広がっているようです。 -

少しだけエナメル質を削ったところ
内部に虫歯が広がっているのを確認できました。 -

虫歯除去
虫歯を完全に削りました。小さな穴に見えても、虫歯は歯の中で広がっていることが多いです。 -

知覚過敏抑制材
虫歯は神経すれすれでしたが、露髄はしなかったので知覚過敏抑制材を象牙質にすり込みました。ハイドロキシアパタイトで象牙細管を封鎖することにより知覚過敏を抑制します。大きな虫歯の治療後は違和感が出やすいので予防的にこの様な処置もしています。 -

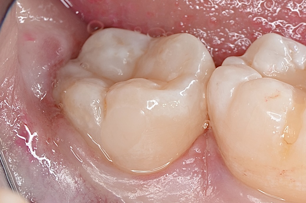
研磨後
研磨をしっかり丁寧にすることで、レジンと歯質の段差を修正し、虫歯になりにくくします。
ダイレクトボンディングを検討されている方は、こちらのページをご覧ください。

