症例
お悩みから探す:
新着情報
カテゴリー:
虫歯の治療・ダイレクトボンディング
20代 虫歯治療 ダイレクトボンディング #58

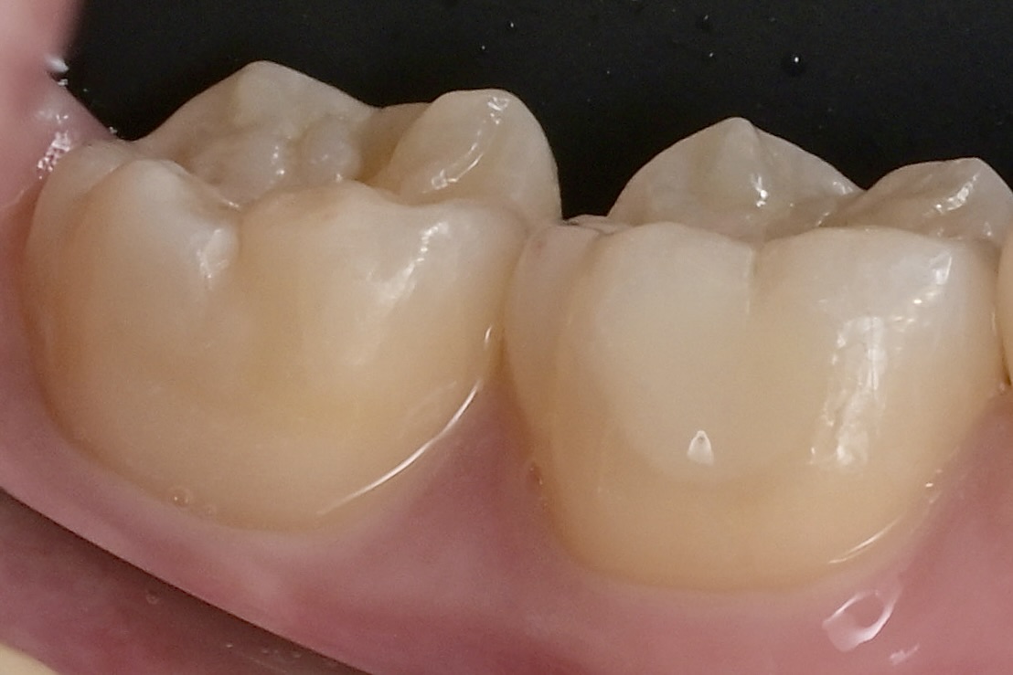
Before

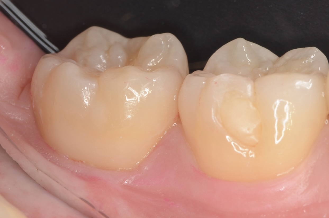
After
症例情報
| 年齢 | 20代 | 治療方法 | ダイレクトボンディング |
|---|---|---|---|
| 性別 | 女性 | 通院回数 | 3回 |
| 主訴 | どこかわからないが、とにかく歯が痛い | 費用 |
115,500円(税込) |
| 治療のメリット | 歯を削る量を少なくできる・自然な見た目・境目がピッタリできる | ||
| 治療のデメリット | 大きい虫歯治療には適応できない場合がある | ||
治療詳細
神奈川県から来院された患者さんの続きです。他院で虫歯の治療を受けてから痛みが出て、それが数ヶ月続いたそうです。色々な歯科医院を受診したものの、問題ないと言われ途方に暮れていました。藁をもすがる思いで下高井戸デンタルオフィスを探しあてたそうです。右上の奥歯は前回の治療後にすぐに良くなったのですが、今度は右下の痛かった歯がさらに痛くなったそうです。一番奥の歯は、歯頸部にうっすらとレジン充填されていてそれが激痛の原因かは、にわかには信じられませんでした。結果から言うと一番奥歯は小さな穴が空いていて中で深く進行していました。小さすぎておそらく前の先生が見つけられなかったのでしょう。しかしそれを治しても、まだ違和感が右下あたりにありましたので、今度はその隣の歯の横にある古いレジンを外してみました。するとそこにも虫歯の取り残しがありました。こうして2本の奥歯を治療して、数ヶ月苦しんだ痛みが落ち着きました。
治療経過
-

痛みはあるが・・・
強い痛みになるようには見えません。 -

歯垢を染めてみると・・・
一番奥歯の歯頸部には小さなレジン充填と黒い点状の虫歯がはっきりと見えます。 -

歯垢除去
歯垢は接着操作を妨げます。治療前には、必ず歯垢染め出し液により歯垢を見える化し、その後ジェットパウダークリーニングにより徹底的に除去します。保険診療ではここまでする事はほとんどありません。 -

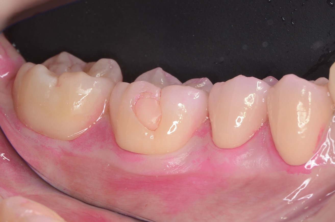
歯肉圧排
歯と歯茎の境目にテフロンテープをこより状にしたものを挿入します。これによって古いレジンを除去する際に歯茎を傷つけるのを防ぐのと、歯肉溝から滲出液や血液が出てくるのを防ぎます。その上で、虫歯を完全に取り除きました。 -

ダイレクトボンディング
フロワブルレジンを用いて、その表面張力を利用して滑らかで段差のないレジン充填を実現させます。 -

それでも、痛みはまだあったので・・・
隣の歯のレジンをやり買える決断をしました。 -

齲蝕検知液で染めると・・・
中には大きな虫歯の取り残しがありました。青い齲蝕検知液で虫歯を染めて染まった部分を削ります。この工程を青く染まらなくなるまで歯にできるだけダメージがないように優しい力で丁寧に行います。この作業は時間がかかります。保険診療の短い時間で行うことは限界があります。 -

虫歯の完全除去
広い範囲で、一部は深く虫歯になっているのがわかります。 -

知覚過敏抑制材を塗る
虫歯は神経すれすれでしたが、露髄はしなかったので知覚過敏抑制材を象牙質にすり込みました。ハイドロキシアパタイトで象牙細管を封鎖することにより知覚過敏を抑制します。大きな虫歯の治療後は違和感が出やすいので予防的にこの様な処置もしています。 -

セレクティブエッチング
エナメル質のみに酸処理を施すことにより、より強固にレジンと歯質の接着が期待できます。 -

積層充填
一気にレジンを充填して硬化させるとレジンの重合収縮によりレジンが、歯から引き剥がされる力がはららいてしまうので。少量づつレジンを充填硬化させます。 -

レジンの硬化
紫外線によりレジンを硬化させます。 -

充填後
-

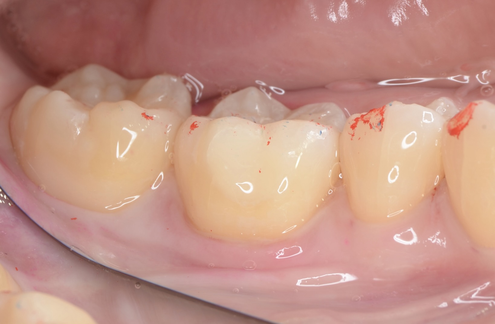
噛み合わせの調整
赤い紙をギリギリ噛んでもらうと強く当たっていたので、当たりを弱めて研磨します。 -

噛み合わせの調整後
できるだけ奥歯には、横に動かした時のあたりがないようにします。
ダイレクトボンディングを検討されている方は、こちらのページをご覧ください。

