症例
お悩みから探す:
新着情報
カテゴリー:
虫歯の治療・ダイレクトボンディング
20代 虫歯治療 ダイレクトボンディング #50

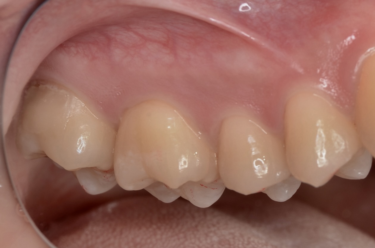
Before

After
症例情報
| 年齢 | 20代 | 治療方法 | ダイレクトボンディング |
|---|---|---|---|
| 性別 | 女性 | 通院回数 | 2回 |
| 主訴 | 歯が痛い | 費用 |
60,500円(税込) |
| 治療のメリット | 歯を削る量を少なくできる・自然な見た目・境目がピッタリできる | ||
| 治療のデメリット | 大きい虫歯治療には適応できない場合がある | ||
治療詳細
神奈川県から来院された患者さんです。他院で虫歯の治療を受けてから痛みが出て、それが数ヶ月続いたそうです。色々な歯科医院を受診したものの、問題ないと言われ途方に暮れていました。藁をもすがる思いで下高井戸デンタルオフィスを探しあてたそうです。
治療経過
-

他院で治療した歯が痛い
右上の奥歯の虫歯を数ヶ月前に治療してから痛みがずっと続いていたそうです。 -

歯の付け根の虫歯を治したらしい
-

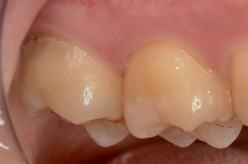
確かにレジンで埋められている
レジンの境目に隙間があり、虫歯が見えています。 -

歯垢染め出し
歯垢を染め出すと詰められていたレジンの全貌が浮かび上がります。段差が目立ちます。滑らかに研磨されていません。上顎の奥歯の横は歯磨きしにくいし、治療もしにくいです。 -

レジン除去
治したはずなのに中に虫歯が広がっています。歯の治療は属人的なので、誰が治すかで結果が変わる良い例です。治療しているはずなのに違和感がある場合、虫歯が残っていることが経験上多いです。 -

齲蝕検知液
歯と歯茎の境目はラバーダムクランプがかかるので、そこに虫歯ができている場合は、ラバーダムなしで虫歯の範囲を確認します。確認できたらラバーダムを装着して治療を再開します。 -

虫歯を完全に除去
-

知覚過敏抑制材
かなり虫歯の範囲が広いので知覚過敏抑制材を刷り込みます。 -

ダイレクトボンディング
ドロドロのフロワブルレジンを少しづつ硬化させます。最後にその表面張力を利用してツルツルの形態にします。 -

研磨
治療前の古いレジンと比較して圧倒的な滑らかさを実現しています。 -
数ヶ月苦しんだ痛みは消えました。
ダイレクトボンディングを検討されている方は、こちらのページをご覧ください。

