新着情報
カテゴリー:
「奥歯をセラミックにしたのに、噛むとしみる」「高い費用を払ったのに外れてしまった」「欠けてしまい、結局やり直しになった」
このように、奥歯のセラミック治療後に後悔を感じてしまう方は少なくありません。たしかにセラミックは見た目の自然さが魅力ですが、奥歯は噛む力が強くかかる部位であり、素材そのものの問題だけでなく、噛み合わせ(高さ)・適合(フィット)・接着操作・歯ぎしり食いしばり・虫歯の深さなどが重なると、違和感やトラブルにつながることがあります。
このページでは、「奥歯のセラミック(詰め物/被せ物)」で後悔が起こりやすい原因を整理しながら、痛い・しみる・外れたときの対処、そして再治療で同じ後悔を繰り返さない方法など、わかりやすくご紹介します。奥歯のセラミック治療で不安やお悩みがある方は、どうぞ早めにご相談ください。
Contents
奥歯のセラミック治療とは
奥歯のセラミック治療は見た目だけでなく機能を重視した選択が必要となります。
奥歯には日常的に大きな力が加わります。そのため噛み合わせや歯ぎしりの影響を大きく受けやすい部位でもあります。口の中の環境は個人個人で大きく違うため、セラミック治療で後悔しないためには1本の歯の治療であってもリスクに合わせたオーダーメイドの治療を受けることが重要になります。
すなわちセラミック治療で後悔するかどうかはセラミックの材質、デザイン、噛み合わせ、歯の削り方、接着操作、それら全ての戦略と質によって決まるのです。
奥歯にセラミック治療を行う際、残っている歯の量に応じてセラミックの大きさが変わります。
噛む面の山谷のうち谷だけを覆うインレー、山まで覆うアンレー、歯そのものを一周削るクラウンがあります。
奥歯のセラミックで後悔する6つの原因
①セラミックが割れた・欠けた
セラミックでよくあるトラブルとして、セラミックが欠けたり割れたりすることがあります。材質的に避けられないケースもありますが、診断ミスや治療自体のエラーが原因であることがあります。





噛み合わせによってはセラミックは確かに割れたり欠けたりする場合もあります。噛み合わせを修正するために、虫歯のない歯であってもあえて削ってクラウンにし噛み合わせを修正することによって、セラミックが割れることを防げるのです。この症例のようにあえて歯を削ってクラウンにしてセラミックが割れないようにできた右側と、噛み合わせの調整だけでなんとかなると考えたが、結果的に噛み合わせを修正しきれずにセラミックが割れてしまった左側の対比は示唆するべきことが多いです。
リスクを正しく分析して対応すればセラミックが割れる危険性を大幅に下げることができます。
②セラミックが外れてしまった

③治療後に歯がしみる・痛みが続く

セラミックで治療したばかりなのに歯がしみるというケースもよくあります。
噛み合わせの調整が不十分な場合、虫歯が残っている場合、歯とセラミックの間に隙間がある場合などが考えられます。




こちらの症例に関して、詳しくは下記のリンクからご確認ください。

>>20代 虫歯治療 VPT(歯髄温存療法)e.maxテーブルトップ
④セラミックの周りの歯質が欠けてしまった
セラミックのインレーやアンレーでよくあるトラブルです。セラミック自体は問題なくてもセラミックと接する歯質が欠けたり割れたりすることがあります。これは噛み合わせや歯の強度などの診断が不十分でセラミックの設計に問題がある場合に起きます。セラミック治療の際に歯を削る量が少ないに越したことはありません。だから虫歯を削って薄くなった歯を、勿体ないからといってあえて残してセラミックを入れてしまう先生もいます。しかしそうすると、薄い部分に噛み合わせの力が集中し、残った薄い歯質が欠けてしまうのです。おおよその目安として噛み合わせの山から2mmほどの厚みがないと割れやすいとされています。そして残念なことに2mmに満たない薄い部分が割れて他院から下高井戸デンタルオフィスに転院される患者様も多数いらっしゃるのです。
⑤見た目や色が期待と異なる仕上がりだった
セラミックを使えばどんな歯でも見た目に美しく仕上がるわけではありません。
まず歯科医師としっかり相談することで希望や理想像を共有することが大切です。そしてそのゴールを目指して治療を進めていきます。自然な見た目を作り出すために具備すべき要件は思っているよりも複雑です。彩度、明度、表面性状まで拘らなくてはなりません。審美修復とは歯科医師、歯科技工士の実力がものをいう世界なのです。できれば、その歯科医院の症例写真で確認するといいでしょう。もっというとビフォア・アフターだけではなく治療途中も丁寧に治療しているかわかる写真があればベストです。



⑥費用が高い割に満足度が低い
費用と時間をかけて治療を受けたのにも関わらず思うような結果にならず満足度が低く感じる場合、ここまでにご紹介した何らかのトラブルがあるのだと思います。通常、歯科医院では素材のメリット、デメリットに視点を置いた説明がされがちです。しかしここまで解説してきたようにセラミック治療で起こるトラブルは素材だけでなく診断や治療の不備によって引き起こされるものが多々あります。信頼できる歯科医院で治療を受けることで支払った金額に対して満足できる結果を得られる可能性が高まるのではないでしょうか。セラミック治療はどの素材がいいかではなく誰が治療するか?の方が成功率に差が出ます。
満足度の高い仕上がりのために
下高井戸デンタルオフィスでは患者様に満足していただける治療を届けるために工夫をしながら治療しております。興味のある方はリンクからご覧ください。
>>銀歯を白い歯に替えたい|CAD/CAM冠は大丈夫?後悔しない素材選びとトラブル対策
「セラミックは絶対ダメ」とよく言われているが本当?
セラミックで後悔し「セラミックは絶対ダメ!」という方がいます。確かに材質的にセラミックより金歯、銀歯が優れている部分もあります。当院でもあえてそのような選択をする場合もあります。ですがセラミック治療の後悔のほとんどは歯科医師の診断、技術的ミスによるものだと感じています。その最たる例がセラミック矯正における失敗です。本来であれば矯正治療で歯の位置を変えなければならないものを無理のある角度で削ったり、歯の高さが低いのに対策せずにセラミックを入れたりする場合があります。その結果せっかく治療したのに痛みが出たり、脱離を繰り返すことになったりします。ではここに銀歯を入れていれば問題は起きなかったのかというとそうではありません。そもそもの診断、技術に問題があるのですから材質に限らずトラブルは起きます。患者様一人一人の口の中の環境を見極めて、丁寧な治療を行えばほとんどのセラミック治療におけるトラブルは回避できると考えます。
奥歯に使われるセラミック素材の種類と特徴
ジルコニアセラミック(ジルコボンド)
ジルコニアという高強度のセラミックのフレームに色や透明度の違うセラミックを盛り上げて作るクラウンです。熟練の歯科技工士であれば天然歯と見分けがつかないほどの自然な見た目を追求できます。一方負荷がかかると盛り上げたセラミックが欠けることがあるため奥歯にも使えますが、特に前歯に適性があると言えます。

オールセラミック(e-max)
透明度の高いセラミックをプレスして作るタイプです。ガラスに近い性質ですが歯に強固に接着するため正しく作ればかなり頑丈です。とはいえジルコニア系よりは強度に劣るのでインレーやアンレーに用いることが多いです。ベースの歯の色を透過するため、色のなじみがよく、経験の浅い技工士が作ってもある程度自然な見た目になります。ただし、歯を削る量が少なく厚みが担保できなかったり、接着がうまくいっていないとたった数ヶ月〜数年で割れたり外れたりします。歯科医師の実力が寿命を左右します。

オールセラミック(ジルコニア系)
高強度セラミックのジルコニアのみで作るクラウンです。近年は透明感のあるタイプも開発されていますが、基本的にほとんど光を透過しない材料です。真っ白な陶器のような見た目なので自然な見た目になりにくく、特に前歯に使うのは難しい材料です。ただし、本当に実力のある歯科技工士であれば表面を色素で着色することで自然な透明感と複雑な色味を再現することができジルコボンドにも引けを取らない見た目のものを作ることができます。

ハイブリッドセラミック(CAD/CAM冠)
ハイブリッドセラミックはハイブリッドレジンとも言われ、レジンにセラミックの粉末を練り込んだものです。ベースがレジンのため他のセラミックに比べると見た目、強度の両方で劣ります。下高井戸デンタルオフィスでは2〜3年の長期間使う仮歯として使用することがあります。

メタルボンド
2010年代前半までセラミック治療の王道だった治療法です。当時はまだ審美的なジルコニア治療が確立されておらず、それに比べてメタルボンドはかなり審美的な選択肢でした。金属のフレームの表面にセラミックを焼き付けたクラウンです。金属からセラミックが剥がれたり、ベースの金属が歯肉から透けて見えるなどの欠点がありました。現在では他の選択肢に立場を奪われており、下高井戸デンタルオフィスでも現在は採用しておりません。

奥歯のセラミックと銀歯はどっちがいい?
審美性・見た目の違い
金属での治療は奥歯であってもふとした時に目立つことがあります。下の奥歯であれば食事の際口を開けたときや、上の小臼歯であればにっこりと笑った時に目立つという意見をよく聞きます。唇や皮膚の動きには個人差が大きいため、実際に鏡で確認してみても良いかもしれません。
セラミック治療であればとりあえず白くできます。ただ、自然な見た目になるかどうかは材質、歯科医師、歯科技工士の実力次第です。症例写真を見せてもらってご自分の目で確認できると安心かと思います。
では見た目が気にならないから保険の金属で良いのかというとセラミックのメリットはそれだけではありません。
歯垢のつきやすさ・口臭
セラミックは金属と比べて歯垢がつきにくいというデータがあります。汚れにくく清潔な状態を維持しやすいということです。また口臭対策になると考えられます。ですがこれは条件付きで、徹底的に研磨されたセラミックである必要がありますし、歯とセラミックに段差があると結局そこに歯垢がたまってしまいます。材質選びも大切ですが治療技術によってはその材料の持つ特性を活かしきれないこともあります。
虫歯再発リスク(二次カリエス)の違い
セラミックの方が汚れがつきにくいため二次カリエスのリスクが低いとする研究もあります。ただ段差なくぴったりしたセラミックであることや歯がたわんだり、欠けたりしにくい設計にすることの方が重要とされています。セラミック治療の戦略が虫歯になりにくさを左右するのです。
費用と保険適用の違い
セラミックは保険適用外の治療です。概ね1本あたり数万円から十数万円です。根管治療や歯髄温存療法が必要な場合はさらに追加で費用がかかる場合もあります。一方保険治療であれば3割負担で数千円ほどで治療が受けられます。しかし近年の金属価格高騰を受けて金属での治療をやっていない歯科医院もあるようです。
耐久性・寿命の違い
しっかりとした治療であれば銀歯、セラミックともに材料における差はあまりないという研究があります。それよりも設計や型取り、接着の精密さ、正確さが寿命を大きく左右します。良い材料を使えば良いというだけのものではありません。
金属アレルギーの影響
保険の銀歯に使われるパラジウム、銅などはアレルギーが出るリスクがあります。口の中の金属が唾液に溶け出してアレルギー反応が起こり、口や手足の皮膚炎が起こる方がいます。実際にそこまでの症状が出る方は多くはありませんが、金属を入れて10年以上経過してから症状が出る方もいるなど決して軽視はできません。セラミックであれば金属アレルギーを引き起こすことはないので安心できます。
銀歯が適している歯
セラミックは非常に優れた材料ですが万能ではありません。銀歯が適している場合もあります。
骨格や噛み合わせの問題でどんなに設計を練ってもセラミックに過剰な負荷がかかる場合は経年的に削れたり変形してくれる銀歯、金歯の方がかえって歯が長持ちすることもあります。また、状態の悪い歯を頑張って残した場合にはダメになるリスクを踏まえて銀歯で治療することがあります。一定の強度を保ちつつ、負担を逃がして、費用を抑えることができるからです。


奥歯のセラミック治療で後悔しないための5つのポイント
①精密検査でリスクを把握
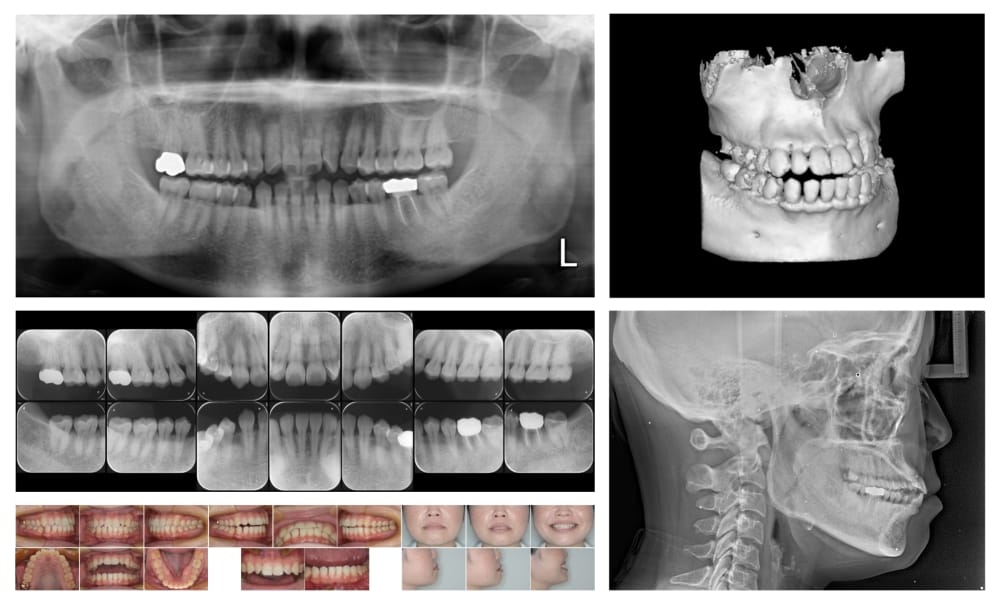
奥歯のセラミックに痛みが出たり壊れたりする背景には、その歯の固有の問題と骨格や噛み合わせを含めた口全体の問題があります。安易で無計画なセラミック治療はトラブルの原因になります。例え1本の治療であっても事前に検査で問題点を抽出し、リスクに応じた治療計画を立てることが重要です。下高井戸デンタルオフィスでは治療前に必ず検査を行い、分析して治療方針を決めます。治療すべき歯の本数が多い場合やリスクが特に高いと思われる場合には、ここまで多くの資料を集めて慎重に検討する場合もあります。

②カウンセリングで費用と治療計画の全体像を確認する
下高井戸デンタルオフィスでは集めた資料をもとに治療計画と見積もりを作ってご説明する時間を設けています。下高井戸デンタルオフィスでは治療の際、写真や動画を撮影し記録しています。その膨大なデータから類似症例をピックアップしてお見せしています。患者様一人一人の資料を作り、時間をとって丁寧にカウンセリングしているのは、下高井戸デンタルオフィスが疑問を解決して納得してから治療を受けていただくことを大切にしているからです。

③診断用WAXUPで治療ゴールを設定
セラミック治療に移る前に、歯科技工士にワックスで最終的なセラミックの形をシミュレーションしてもらいます。
模型とはいえ、下あごを横に動かした時の引っ掛かりがないように形を作り、どの部分で噛み合わせるかまで精密に作り込んでいます。

そして診断用WAXUPをもとにガイドを作ります。参考にしながら歯を削るので削りすぎたり、削り足りなかったりするリスクを抑えられます。

さらに仮歯を作るときも診断用WAXUPの形をコピーして作るので仮歯であってもクオリティが高いものが作れます。

④噛み合わせ調整の精度が高い歯科医院を選ぶ
噛み合わせ調整の不良は意外にも多くの術後トラブルを引き起こします。奥歯は他の奥歯と同じくらいの強さで噛み合い、かつ下顎を左右に動かした時に引っ掛かりがないよう調整されている必要があります。特にセラミックは金属や天然歯よりも硬く、力が逃げづらいのでかなり厳密な調整を要求されます。少しでも調整が甘いと痛みや脱離、破損に繋がってしまいます。
⑤治療後も定期検診とセルフケアを続ける
セラミックは天然歯や金属よりも硬い場合が多いです。周囲の歯は摩耗するのにセラミックだけ摩耗しにくいため、長期間使用していると調整していたはずの噛み合わせが狂ってくる場合があります。そのまま使い続けると痛みや咬合性外傷、歯根破折のリスクがあります。必ず定期的なメンテナンスが必要です。メンテナンスのアポイントの時間が短いクリニックではクリーニングだけで一杯一杯になっている例もあるようです。噛み合わせの変化をはじめ、虫歯のチェックなどお口の中全体を見てもらえるクリニックを探すことをお勧めします。下高井戸デンタルオフィスではメンテナンスは担当衛生士制の60分アポイントです。信頼できるクリニックをお探しの方は是非ご連絡ください。

当院のセラミック治療の治療実績と症例を確認する
当院の症例については、こちらをご覧ください。
すでにセラミックで後悔している場合の対処法
セラミック治療は自由診療ですからそのトラブルは基本的にその治療をしたクリニックに相談してください。それでもお悩みが解決しない場合はセカンドオピニオンを求めても良いと思います。しかしその場合は、どんなに新しいセラミックであっても再治療が必要になることがほとんどです。時間と費用をかけて治したセラミックが無駄にならないためにも信頼できる医院で治療を受けることをお勧めします。
セラミックが割れた・外れた場合の応急処置
セラミックが割れた場合、応急処置としてかけてしまった部分を一時的にレジンなどの材料で埋めます。そうすればしみたり、食べ物が詰まることを防げます
割れてしまった場合は、セラミックは作り直しとなります。
セラミックが外れた場合も基本的には同様の対応をとります。しかし外れた場合は例外があり、再度歯に戻して使えることもあります。
- フレームがジルコニアや金属のセラミックであること
- 使用していたセメントが綺麗に取り除けるタイプであること
- セラミックと歯の間に隙間がないこと
- セラミックの下の歯に虫歯がないこと
ほとんどの場合はどれかに問題があるのでもとに戻すのは現実的ではありません。運良く戻せる場合でも、制度上健康保険での対応はできないことになっています。
しみる・痛みが続く場合に確認すべきこと
痛みや違和感を感じる場合は治療を受けた歯科医院に早めに相談してください。
特に熱いものを食べたり飲んだりして痛みが出る場合は、神経が炎症を起こしている可能性が高いです。何もしなくても痛みが出るようになる事もありますから、すぐに受診することをお勧めします。
他院で入れたセラミックのやり直しは可能か
下高井戸デンタルオフィスでは他院で入れたセラミックのやり直し治療も引き受けております。
セラミックが何度も脱離を繰り返す、痛みがなかなか治らない、フロスが引っかかる…。治療を受けたクリニックに相談しても改善しない場合は是非ご相談ください。
まとめ:奥歯のセラミック治療で後悔しないために知っておくべきこと
セラミック治療は「誰が治すか?」で、結果が大きく変わります。接着操作というものは非常にシビアだからです。接着に強い歯科医院をまずは選ぶべきでしょう。そのためにもホームページなどで綺麗な症例写真があれば参考になると思います。治療に自信があれば、鮮明で高倍率の症例写真を掲載できるはずです。論より証拠です。いくら文章で、それらしい解説があったとしてもそれは一般論。その歯科医院がどのレベルで治療をしているかは分かりません。治療前・治療後だけではなく術中も記録する。それでしか患者さんは判断できないと考えるので下高井戸デンタルオフィスでは誠実さを大切に診療しています。
セラミック治療でお悩みの方は、下高井戸デンタルオフィスにご相談ください。

