症例
診療科目から探す:
お悩みから探す:
虫歯の治療・ダイレクトボンディング
40代 虫歯治療 ダイレクトボンディング #67

Before

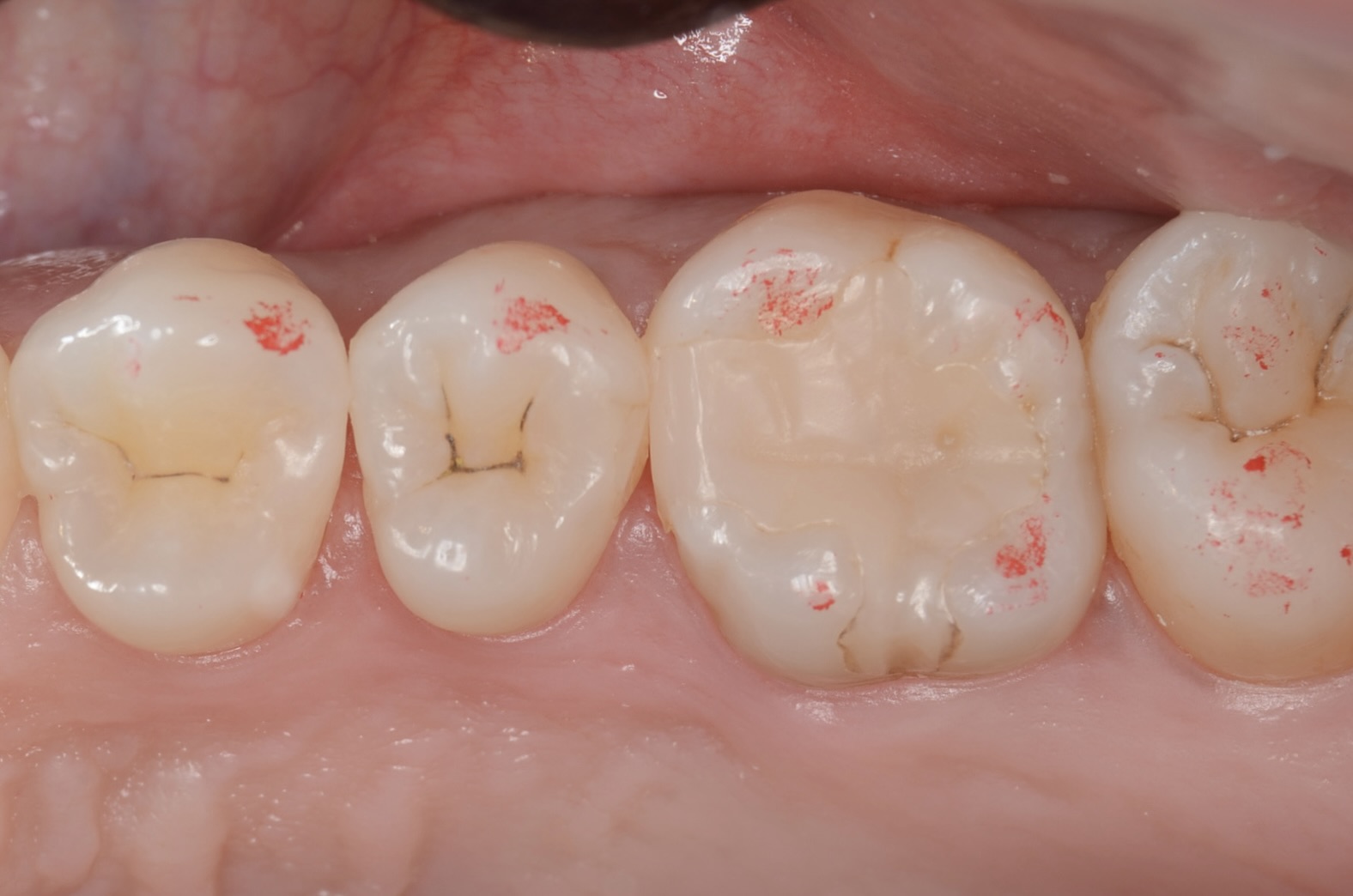
After
症例情報
| 年齢 | 40代 | 治療方法 | ダイレクトボンディング |
|---|---|---|---|
| 性別 | 女性 | 通院回数 | 2回 |
| 主訴 | できるだけ歯を削る量を少なくして,むし歯を治したい | 費用 |
231,000円(税込) |
| 治療のメリット | 歯を削る量を少なくできる・自然な見た目・境目がピッタリできる | ||
| 治療のデメリット | 大きい虫歯治療には適応できない場合がある | ||
治療詳細
八王子からお越しの歯科衛生士さんです。色々な歯科医院にお勤めされてきたので、歯科医療の実情・歯科医師の技量には目が肥えている方です。今回、奥歯にフロスをするといつも引っかかる部分があるので、そこを治療したい。できるだけ歯を削りたくないという希望がありました。6番目の奥歯はテーブルトップの方が強度的には理想的ですが、患者さんの希望で、ダイレクトボンディングで今回は治療することとなりました。同業の患者さんなので、期待に添えるようがんばった症例です。
治療経過
-

X線写真 術前
よくよく見ると5番遠心の古いレジンがはみ出しています。これではフロスが引っかかるのも無理はありません。 -

噛み合わせの接触点の確認
レジンの部分では当たっていないのを確認しました。本来ならテーブルトップで治すのがいいのですが、患者さんの希望でダイレクトボンディングにします。 -

5番のレジンのはみ出しを確認
6番近心のレジンを削ってみて5番遠心のはみ出し具合を確認しました。かなりはみ出しています。 -

レジン・虫歯除去
古いレジンを外して虫歯を完全に取り除いたところです。 -

ダイレクトボンディング
フロワブルレジンを用いて、その表面張力を利用して滑らかで段差のないレジン充填を実現させます。 -

6番近心の壁を作る
セパレーターで歯間離開させながら光を当てながらレジンを硬化させる3Dプリンターテクニックを用いて治療しました。 -

ダイレクトボンディング
咬合面にはペースト状のレジンで、形態を作りました。天然歯の自然な形態を模倣してレジンを充填しました。 -

X線写真 術後
段差なくレジンを充填できています。もちろんフロスも引っかかることはありません。
ダイレクトボンディングを検討されている方は、こちらのページをご覧ください。

