症例
診療科目から探す:
お悩みから探す:
虫歯の治療・ダイレクトボンディング
30代 虫歯治療 ダイレクトボンディング #63

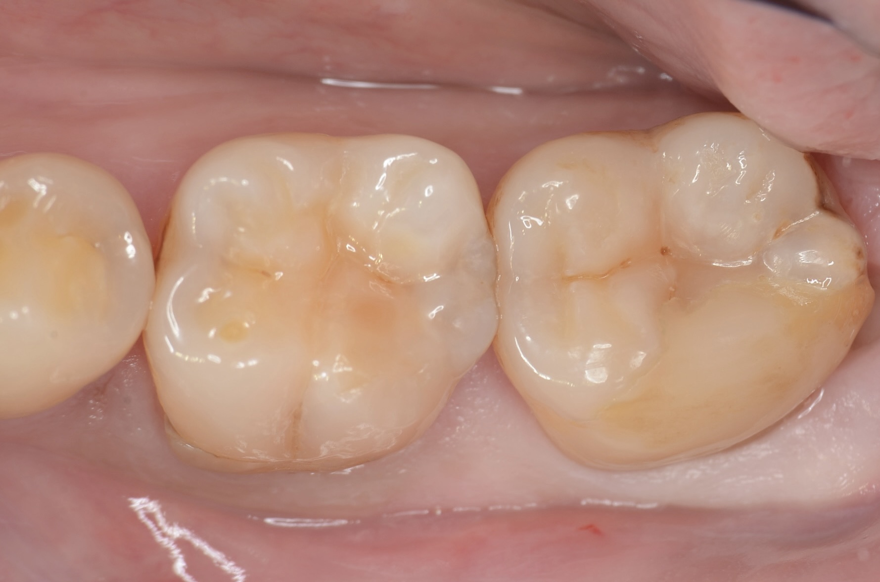
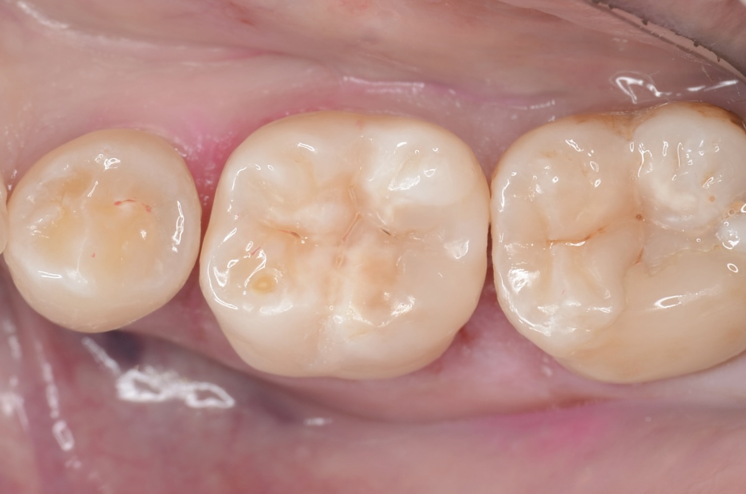
Before

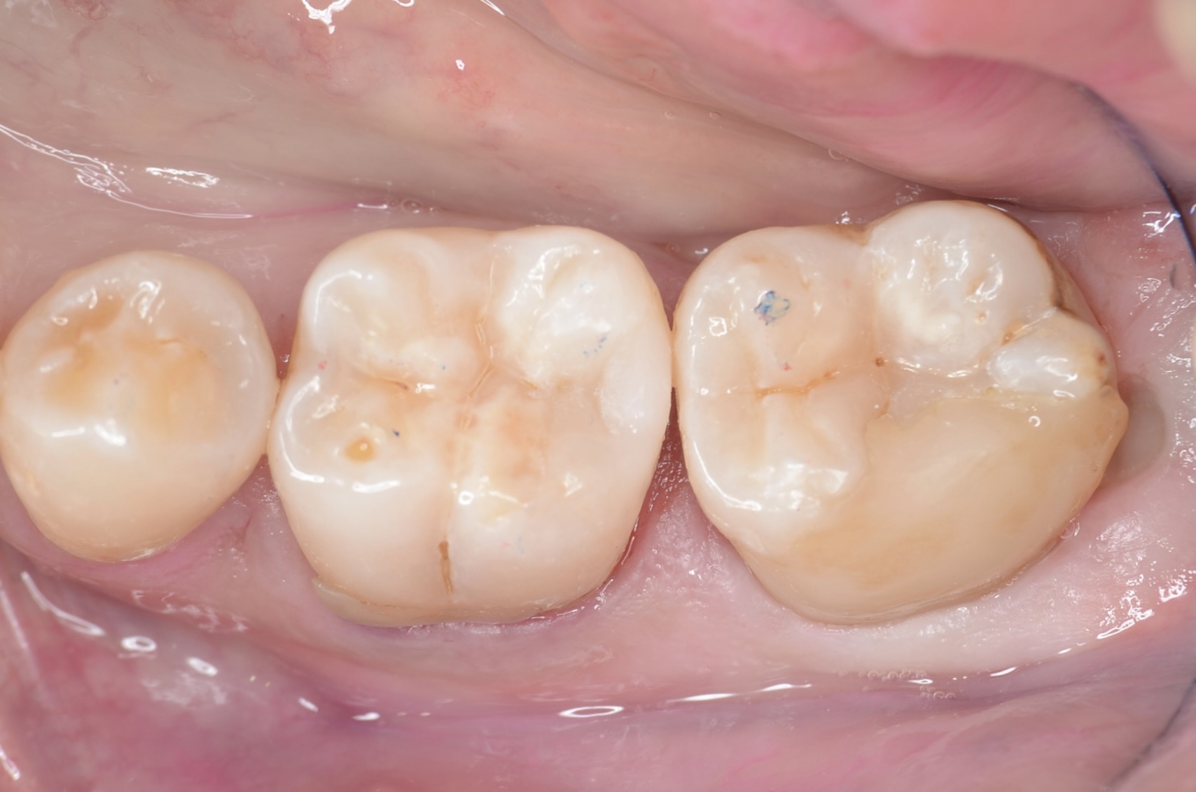
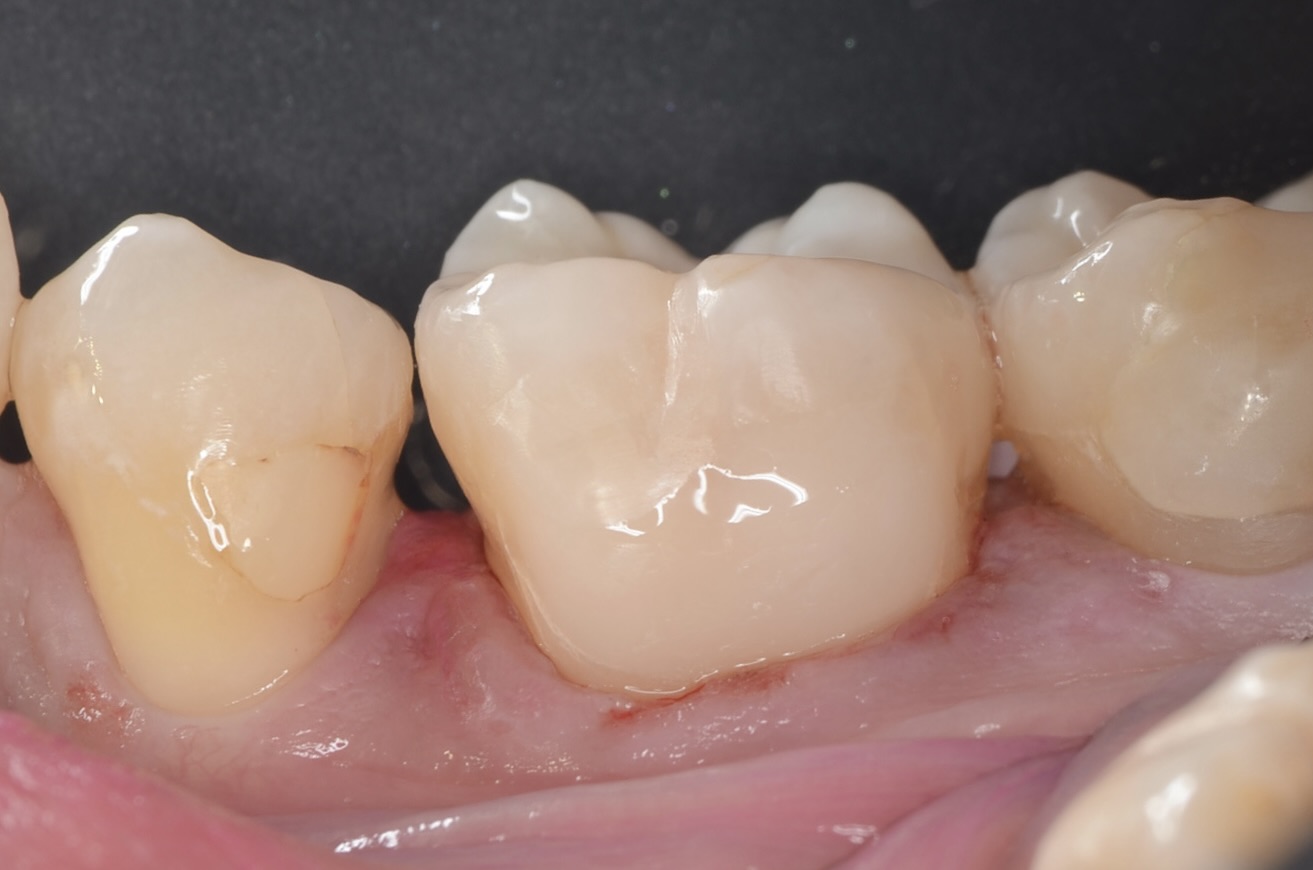
After
症例情報
| 年齢 | 30代 | 治療方法 | ダイレクトボンディング |
|---|---|---|---|
| 性別 | 男性 | 通院回数 | 2回 |
| 主訴 | できるだけ歯を削る量を少なくしてむし歯を治したい | 費用 |
115,500円(税込) |
| 治療のメリット | 歯を削る量を少なくできる・自然な見た目・境目がピッタリできる | ||
| 治療のデメリット | 大きい虫歯治療には適応できない場合がある | ||
治療経過
-

歯垢染め出し
歯垢は接着操作を妨げます。治療前には、必ず歯垢染め出し液により歯垢を見える化し、その後ジェットパウダークリーニングにより徹底的に除去します。保険診療ではここまでする事はほとんどありません。 -

試し削り
X線写真では虫歯が大きい事を確認しています。少し削って中の虫歯を確認しました。やはり虫歯は大きいようです。ラバーダムが装着時に破れないように、先に隣接面の虫歯をとり歯質を整える場合もあります。 -

ラバーダム装着後、虫歯完全除去
虫歯治療においてもラバーダム装着は必須です。 唾液や血液から歯面が汚染されるのを防ぎ、乾燥状態を保つラバーダムは、接着力を向上させるためにも大切なアイテムです。 虫歯を完全に削りました。 -

知覚過敏抑制材
虫歯は神経すれすれでしたが、露髄はしなかったので知覚過敏抑制材を象牙質にすり込みました。ハイドロキシアパタイトで象牙細管を封鎖することにより知覚過敏を抑制します。大きな虫歯の治療後は違和感が出やすいので予防的にこの様な処置もしています。 -

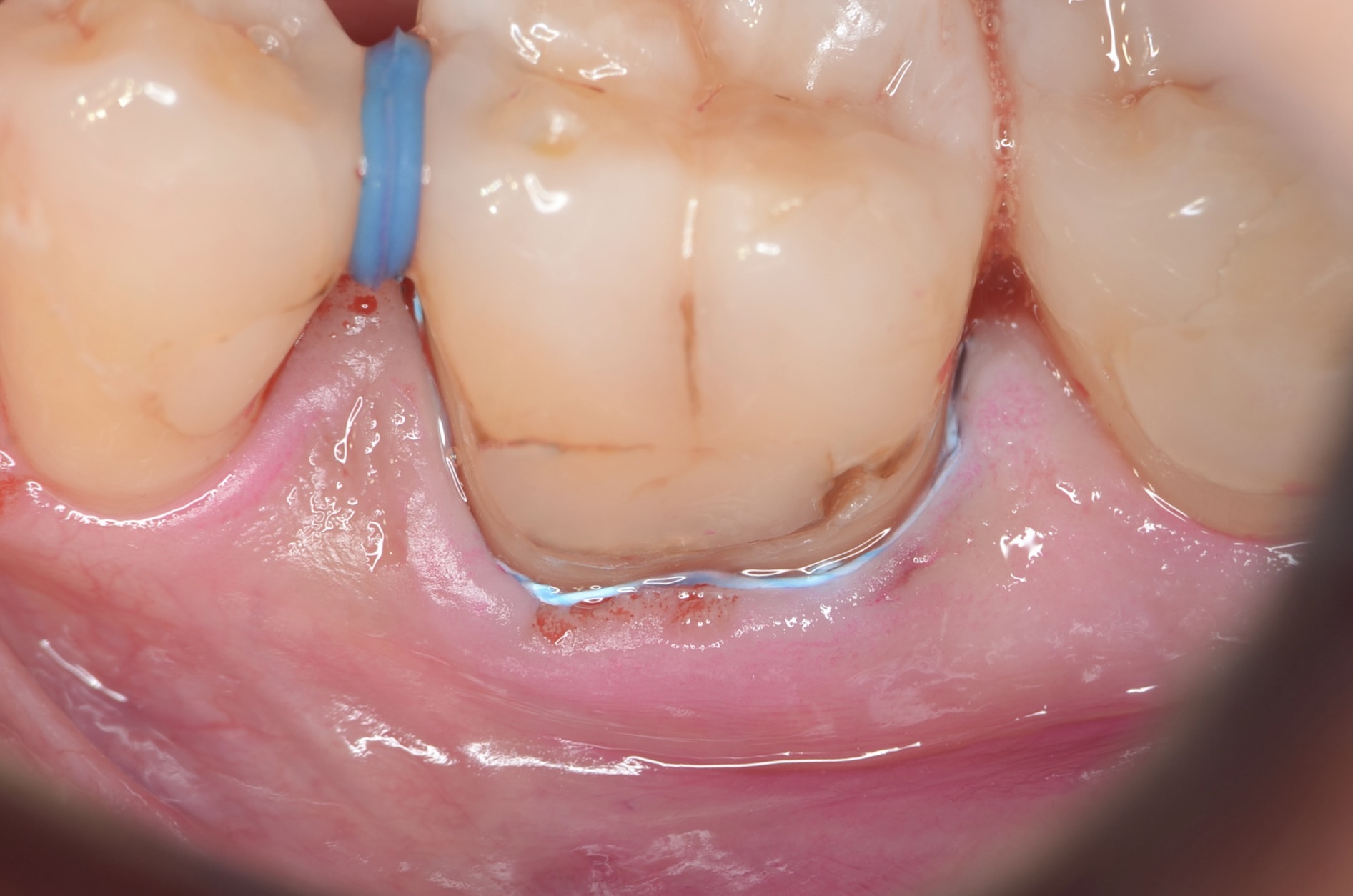
レジン充填
青色のテフロンテープを紐状にしたものを歯肉溝に挿入しました。レジンが、ラバーダムに触れないようにするためです。一気にレジンを充填して硬化させるとレジンの重合収縮によりレジンが、歯から引き剥がされる力がはららいてしまうので。少量づつレジンを充填硬化させます。 -

3Dプリンターテクニック
フロワブルレジンを用いて、その表面張力を利用して滑らかで段差のないレジン充填を実現させます。 セパレーターで歯間離開させながら光を当てながらレジンを硬化させる3Dプリンターテクニックを用いて治療しました。 -

ダイレクトボンディング終了
咬合面にはペースト状のレジンで、形態を作りました。天然歯の自然な形態を模倣してレジンを充填しました。 -

ラバーダム撤去後
噛み合わせを調整しています。 -
6番の歯の近心と頬側にも治療必要部位がありますが、次回に持ち越します。 -

セパレートゴムの装着
ゴムを入れて1週間後に治療をい続けます。 -

テフロンテープにより歯肉圧排
青色のテフロンテープを紐状にしたものを歯肉溝に挿入しました。レジンが、ラバーダムに触れないようにするためです。 -

虫歯の完全除去
-

知覚過敏抑制材
露髄はしなかったので知覚過敏抑制材を象牙質にすり込みました。ハイドロキシアパタイトで象牙細管を封鎖することにより知覚過敏を抑制します。大きな虫歯の治療後は違和感が出やすいので予防的にこの様な処置もしています。 -

レジン充填
フロワブルレジンを用いて、その表面張力を利用して滑らかで段差のないレジン充填を実現させます。 -

セパレートゴムの除去
1週間入れておいたゴムをはずすと、歯と歯の間に隙間ができているのがわかります。 -

舌側面から見る
歯と歯の間に虫歯があるのが見えます。 -

少し歯を削る
茶色い虫歯が歯の中で広がっています。 -

近心部の虫歯の完全除去
5番は次回治療します。 -

頬側部の虫歯の完全除去
-

ダイレクトボンディング終了
-

ラバーダム撤去
歯と歯の間い隙間がありますが、すぐに閉じてきます。また5番と7番は次回以降治療します。 -

頬側面から見る
滑らかな段差の無い形態で形態に治す事ができました。
ダイレクトボンディングを検討されている方は、こちらのページをご覧ください。

