症例
お悩みから探す:
新着情報
カテゴリー:
神経を取りたくない・MTAセメント・歯髄保存療法虫歯の治療・ダイレクトボンディング
20代 虫歯治療 VPT(歯髄温存療法)ダイレクトボンディング #36

Before

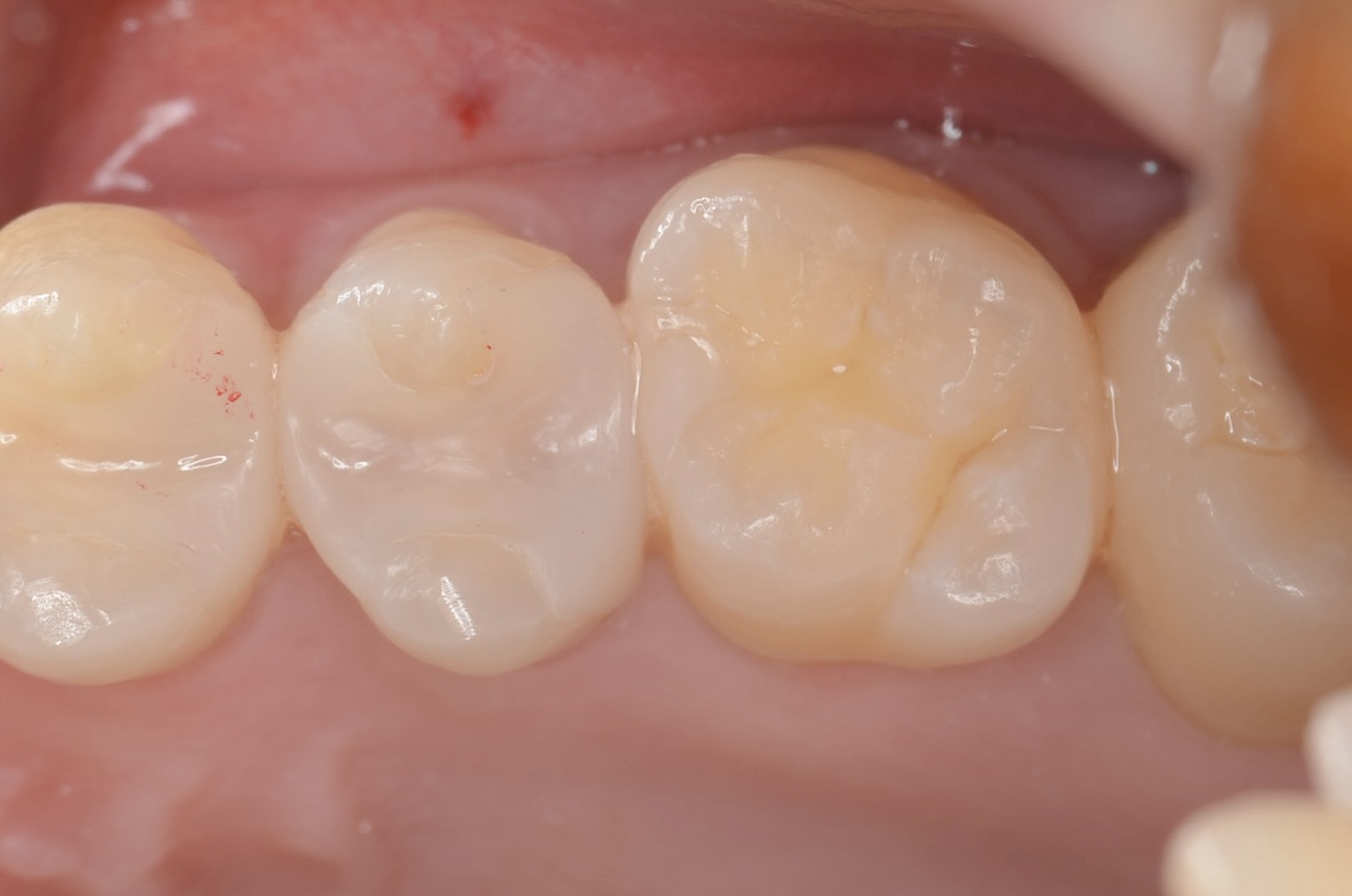
After
症例情報
| 年齢 | 20代 | 治療方法 | VPT(歯髄温存療法)/ダイレクトボンディング |
|---|---|---|---|
| 性別 | 女性 | 通院回数 | 2回 |
| 主訴 | むし歯を治したい /神経を取りたくない/できるだけ神経を取りたくない | 費用 |
170,500円(税込) |
| 治療のメリット | 神経を保存できる。歯を削る量を少なくできる。自然な形にできる | ||
| 治療のデメリット | 神経を保存できない場合がある。 | ||
治療詳細
狛江市からお越しの患者さんです。虫歯が大きく他院で取るかもと言われて、神経を取らないで済む方法を調べて当院を受診されました。
治療経過
-

上顎7番頬側面観
歯ブラシがしにくい上の奥歯の横は、虫歯ができやすい場所でもあります。 -
かつてレジンで治療されている部分が虫歯になっています。 -

ラバーダム装着
古いレジンを取り除き、齲蝕検知液で虫歯を染めました。 -

齲蝕検知液に染まる虫歯
広範囲に虫歯が青く染まっています。 -

まだ染まる虫歯
丁寧に虫歯を取り除きます。 -

露髄
完全に虫歯をとると神経が露出しました。 -

MTAセメント
-

スーパーボンド
MTAセメントは硬化に時間がかかるので、8分で硬化し、象牙質に強力に接着するスーパーボンドでMTAセメントを覆います。 -

ダイレクトボンディング
フロワブルレジンの表面張力を利用して滑らかに充填します。 -

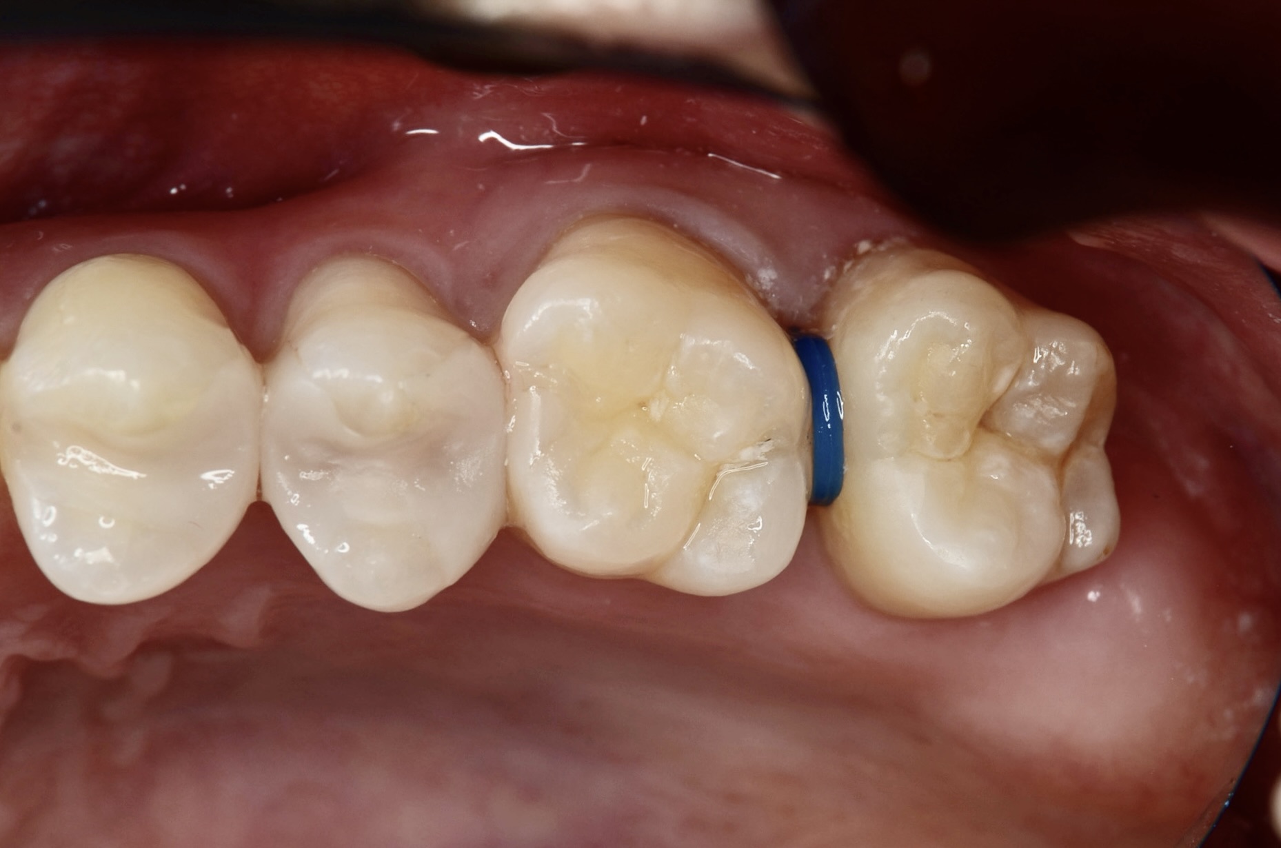
歯間離開用モジュールセット
歯間離開用の小さなゴムの輪をはの間に入れて1週間待ちます。 -

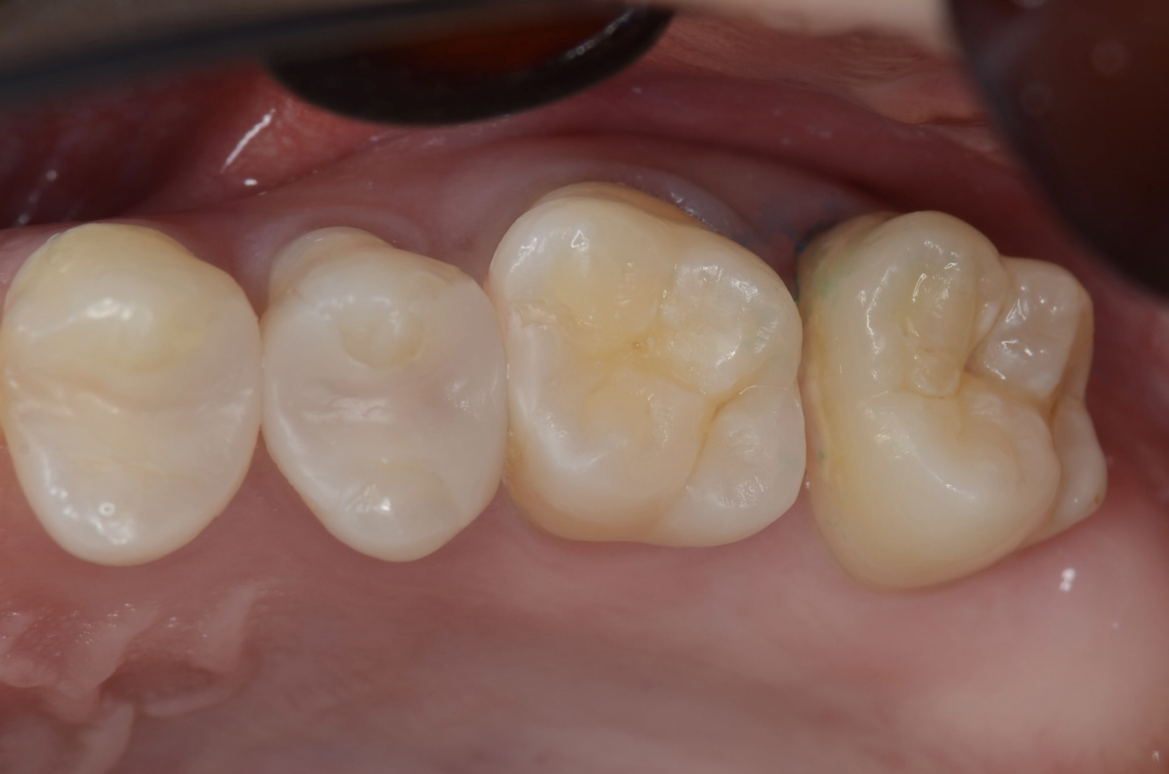
1週間後
ゴムの輪を外すと歯とはの間が少し開いています。 -

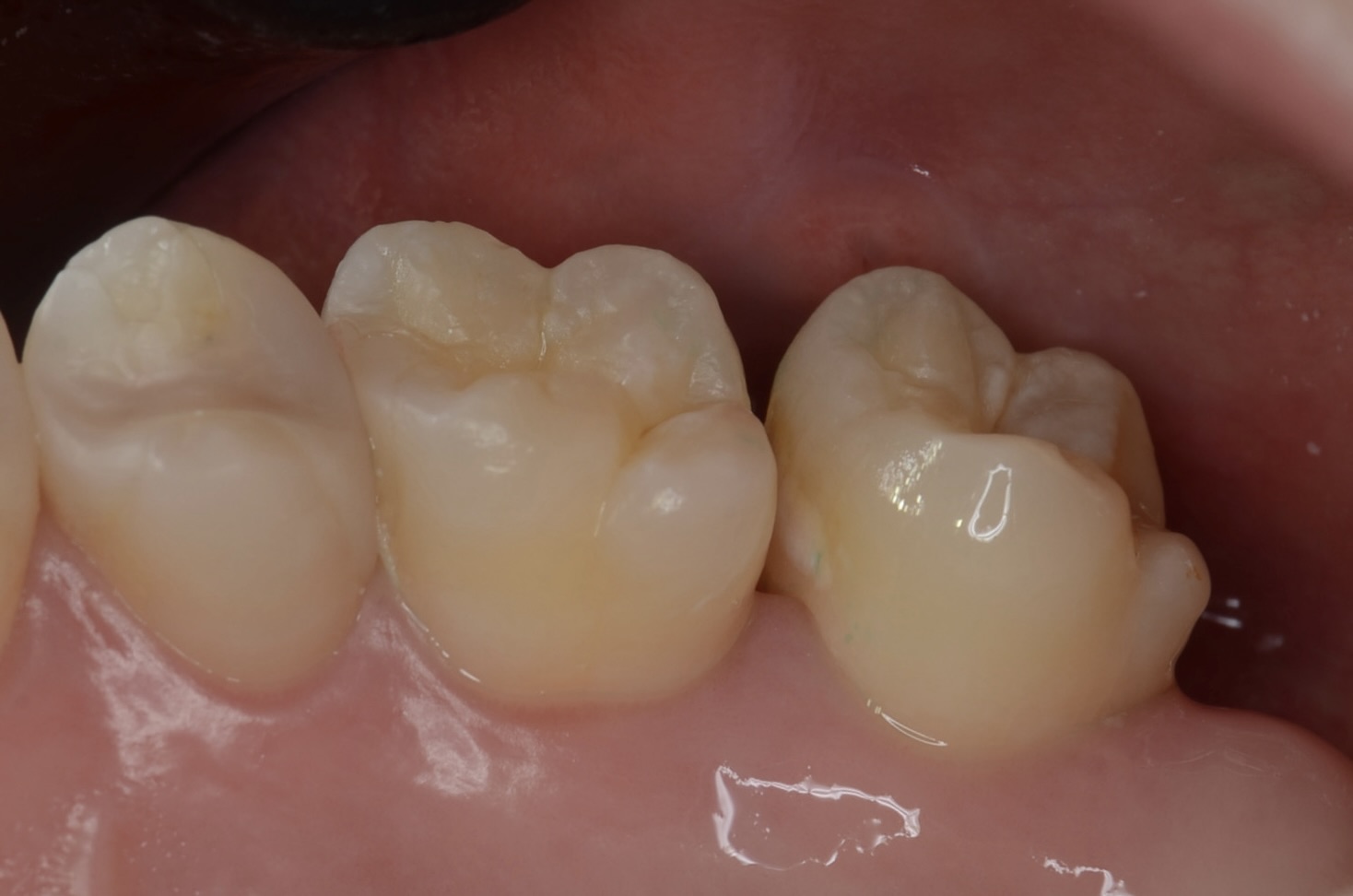
口蓋側面観
手間はかかりますがこれによって、隙間から治療することで、歯を削る量を減らします。 -

7番近心
初期虫歯に見えますが削ると中で虫歯が広がっています。 -

6番遠心の虫歯
-
完全虫歯を除去しました -

7番近心にダイレクトボンディング
-

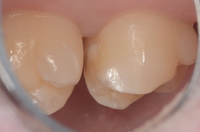
1週間後
広がった歯間が自然に閉じています。
ダイレクトボンディングを検討されている方は、こちらのページをご覧ください。

