症例
お悩みから探す:
新着情報
カテゴリー:
インプラント審美歯科・セラミック治療
50代男性 歯根破折で抜歯になりインプラントで治す

Before

After
症例情報
| 年齢 | 50代 | 治療方法 | インプラント |
|---|---|---|---|
| 性別 | 男性 | 通院回数 | 10回 |
| 主訴 | インプラントを入れたい | 費用 |
797,500円(税込) |
| 治療のメリット | 入れ歯と比べてしっかり噛むことができる | ||
| 治療のデメリット | 手術が必要 | ||
治療詳細
左下5番の根の先の膿を治してほしいと来院されました。
左下7番は歯が割れていたので抜歯になりました。
5番は根管治療の甲斐あって治ったのですが
後日、歯根破折を起こしたのでインプラントを抜歯即時埋入しました。神経のない歯はいつ割れてもおかしくないという教訓になった症例です。
治療経過
-

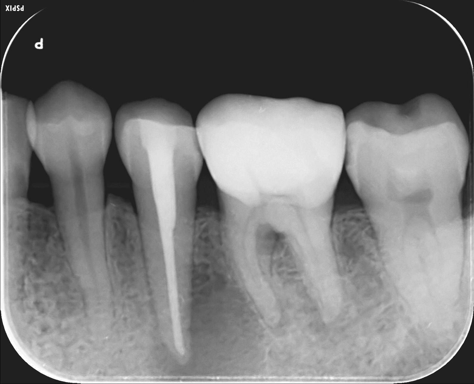
歯根嚢胞
左下5番の歯根を黒く取り囲む根尖病変が認められます。 -

1年6ヶ月後;治癒
根尖病変は消退傾向になります。 -

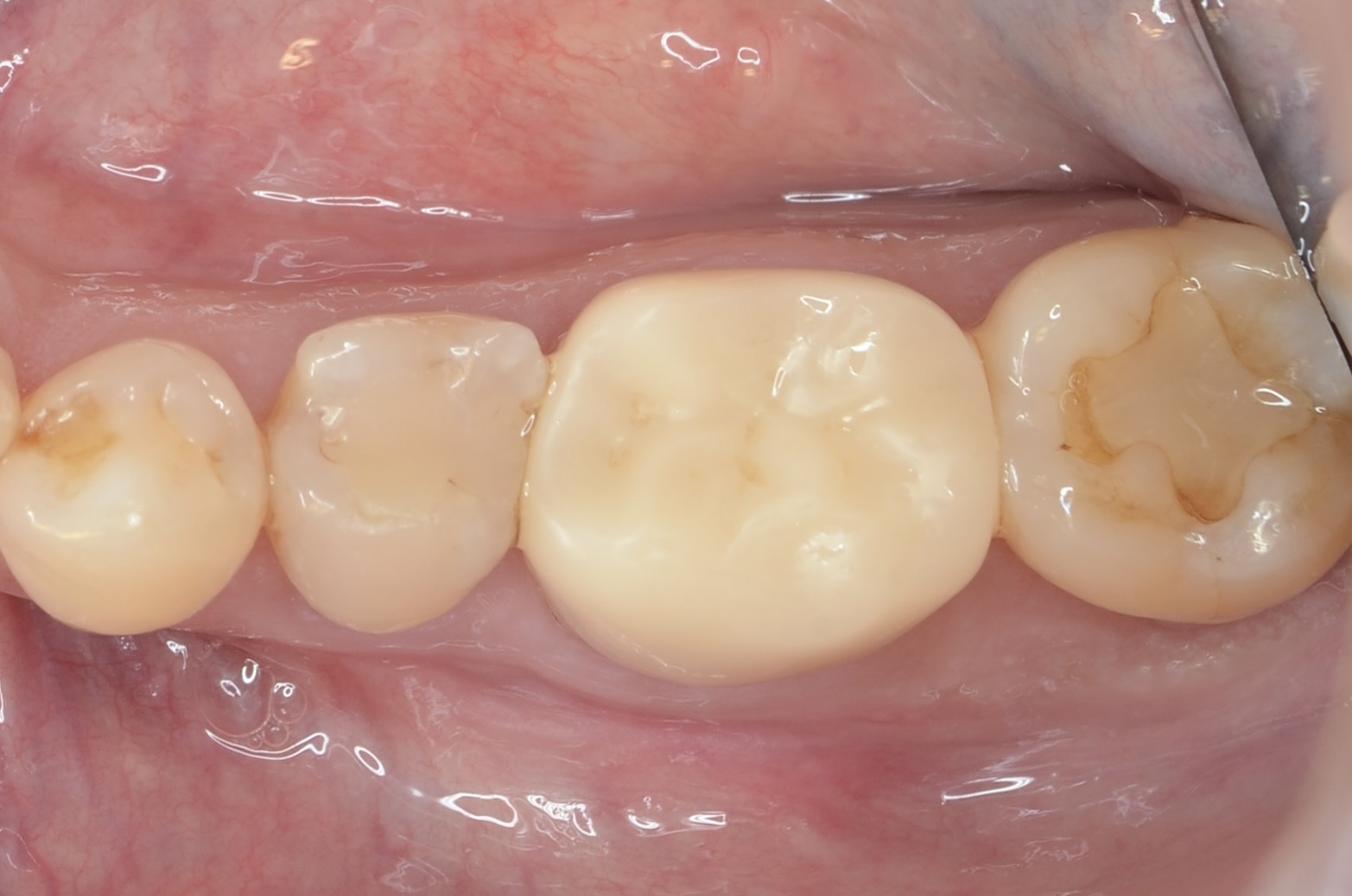
歯茎が腫れる
-

歯根破折
5番の近心側に黒い投下ぞう -

割れた歯
神経のない歯はいつ割れてもおかしくありません。 -

インプラント埋入
抜歯と同時にインプラントを埋入。インプラントと骨の隙間にはコラーゲンや骨補填材を詰めています。 -

術後1週間
抜歯即時埋入は、痛みや腫れが少ないです。 -

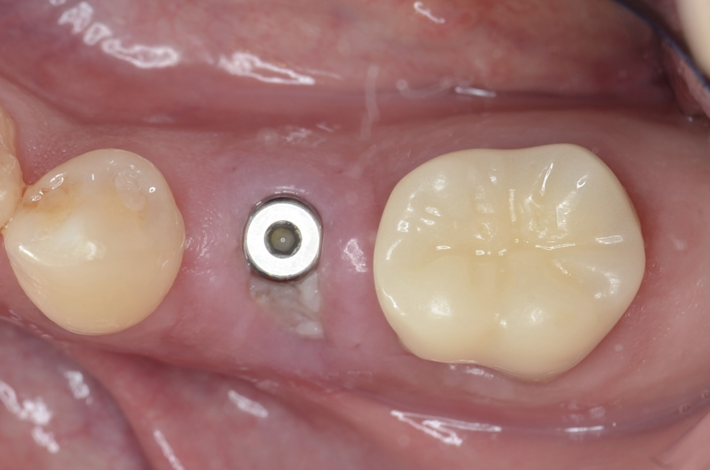
術後2ヶ月
ジンジバフォーマーを外したところです。綺麗な歯肉ができています。 -

インプラント
まずインプラントからセットします。アクセスホールをレジンで埋めるので、ネジ穴にレジンが流れないように仮の蓋を入れておきます。 -

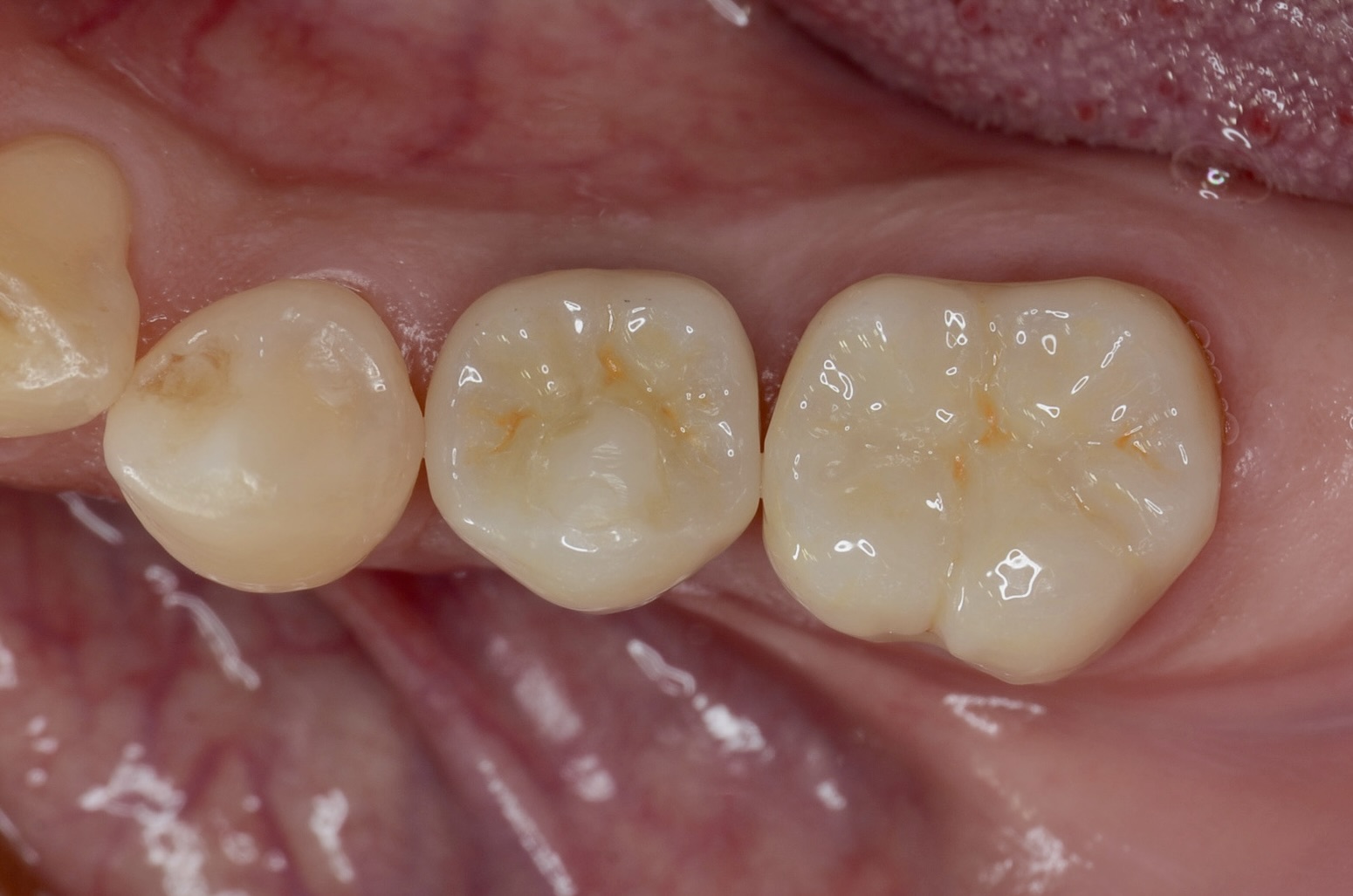
咬合面観
インプラントのアクセスホールをレジンで埋めて、7番にジルコニアクラウンが入りました。 -

側方面観
自然で綺麗です。 -

X線写真
骨の状態も安定しています。

