症例
診療科目から探す:
お悩みから探す:
審美歯科・セラミック治療
50代 虫歯治療 セラミック治療 e.maxテーブルトップ

Before

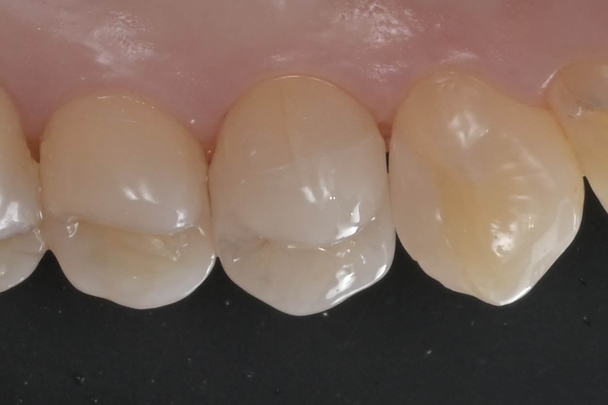
After
症例情報
| 年齢 | 50代 | 治療方法 | セラミックアンレー(e・MAXテーブルトップ) |
|---|---|---|---|
| 性別 | 女性 | 通院回数 | 4回 |
| 主訴 | むし歯を治したい | 費用 |
220,000円(税込) |
| 治療のメリット | 歯を削る量を少なくできる・自然な見た目・境目がピッタリできる | ||
| 治療のデメリット | 術後、一時的に染みることがある。健全残存資質の量によってはクラウンになる場合もある | ||
治療詳細
数年前に入れたセラミックの歯が虫歯になっていたのでやりかえの治療を希望されました。セラミックと歯の間には段差がありそこから虫歯になったようです。セラミックだから安心ということではなく、丁寧に治療してもらえる歯科医院を選ぶことが大切です。
治療経過
-

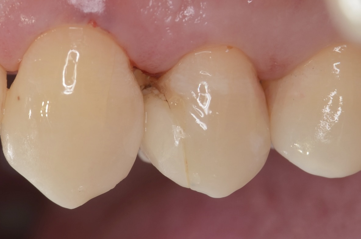
虫歯
セラミッックインレーと歯の間が黒くなっています。元々の適合が悪いようです。 -

口蓋側から見る
インレーと歯の適合が悪く段差があります。 -

ラバーダム装着・インレー除去
虫歯治療においてもラバーダム装着は必須です。 唾液や血液から歯面が汚染されるのを防ぎ、乾燥状態を保つラバーダムは、接着力を向上させるためにも大切なアイテムです。 -

虫歯は深い
青い齲蝕検知液で虫歯を染めて染まった部分を削ります。この工程を青く染まらなくなるまで歯にできるだけダメージがないように優しい力で丁寧に行います。この作業は時間がかかります。保険診療の短い時間で行うことは限界があります。 -

-

知覚過敏抑制材
虫歯は神経すれすれでしたが、露髄はしなかったので知覚過敏抑制材を象牙質にすり込みました。ハイドロキシアパタイトで象牙細管を封鎖することにより知覚過敏を抑制します。大きな虫歯の治療後は違和感が出やすいので予防的にこの様な処置もしています。 -

-

レジンによる仮充填
今回はここまでです。次回歯を削って型取りします。 -

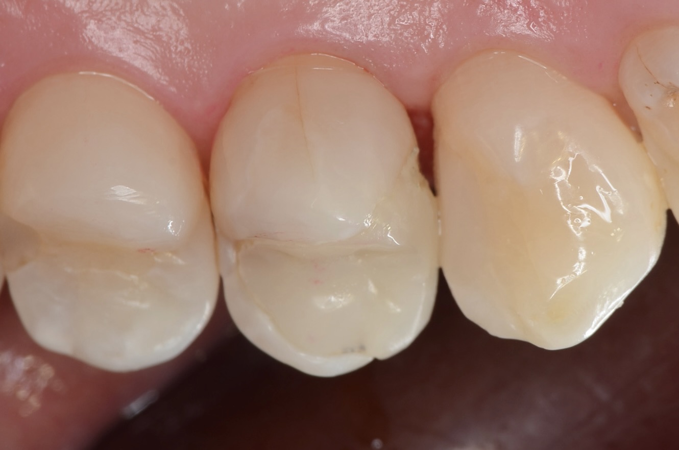
形成前
歯の横にヒビが入っています。薄い歯質を無理に残しても脆いだけなので、あえて削ってセラミックに置き換えた方が長持ちします。 -

シリコンジグを利用して精密形成
均一なセラミックの厚みを獲得するためにジグを利用して削っていきます。 -

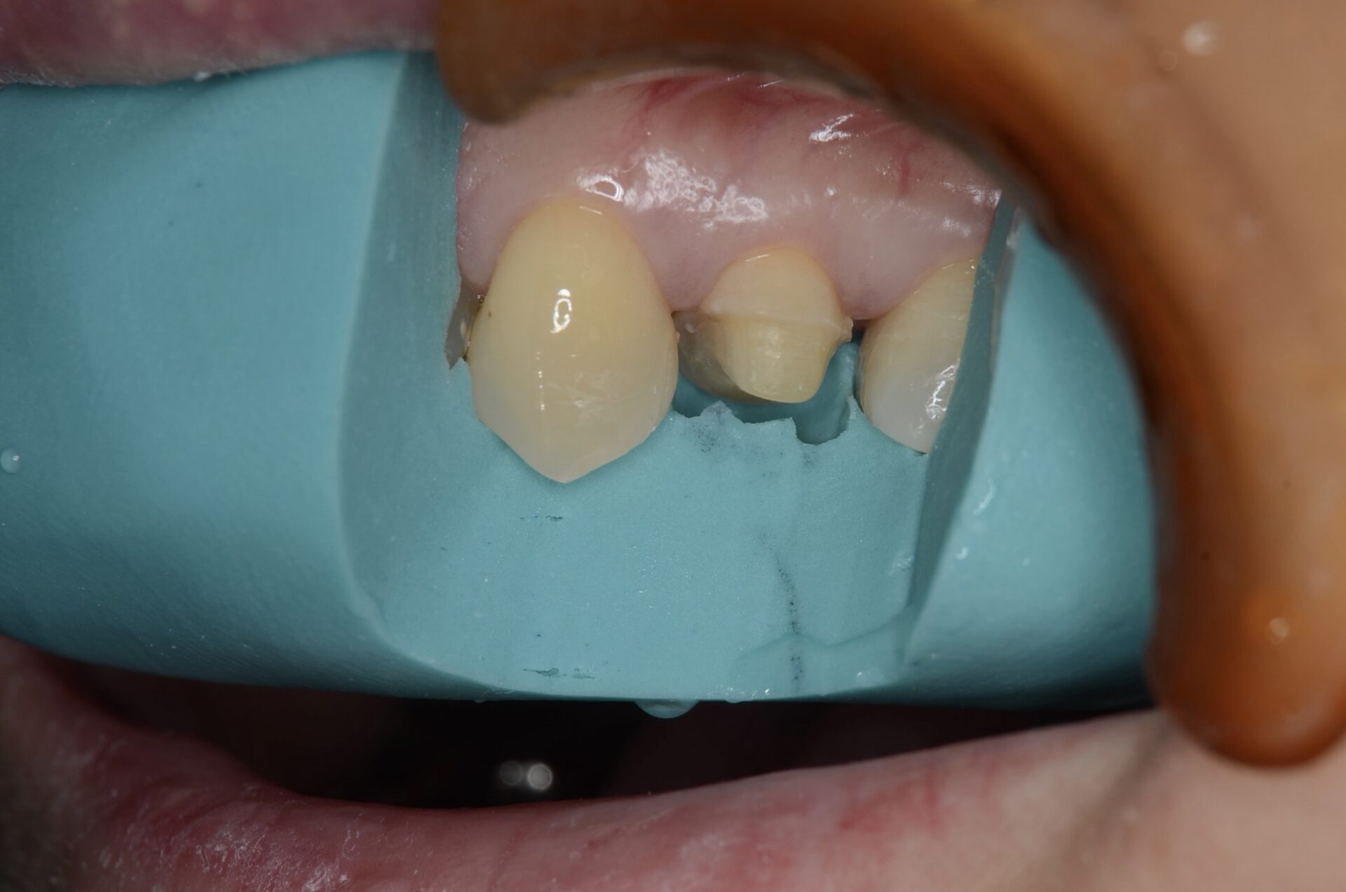
ラバーダム装着
テーブルトップにするためには、エナメル質との強固な接着が鍵となります。その為には歯の解剖を考え、できるだけエナメル質の面積が最大になるように立体的にイメージしながら歯を削ります。 虫歯治療においてもラバーダム装着は必須です。 唾液や血液から歯面が汚染されるのを防ぎ、乾燥状態を保つラバーダムは、接着力を向上させるためにも大切なアイテムです。 -

唾液による汚染をクリーニング
接着操作を妨げる唾液を、専用クリーナーできれいにします。 -

シーティングジグを用いて接着操作
セラミックがずれないように、位置固定用のジグを使い接着操作を行います。 -

光重合
紫外線で硬化するレジンセメントを使い接着させます。 -

キュレットによる余剰レジンの除去
レジンセメントは歯の色をしているので、よく見ないとわかりません。キュレットという歯石をとる刃物を使いはみ出した余剰セメントを剥がしていきます。 -

硎磨
ひたすら丁寧に、セラミックの境目を研磨しています。研磨に時間をかける。接着すれば終わりではなくここも大切なポイントです。 -

-

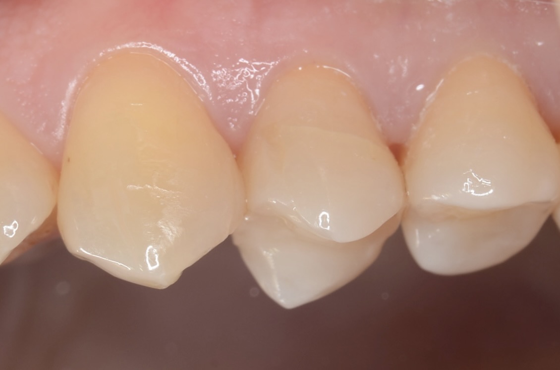
口蓋側から見る
セラミックと歯がピッタリです。

