症例
お悩みから探す:
新着情報
カテゴリー:
虫歯の治療・ダイレクトボンディング
40代 虫歯治療 ダイレクトボンディング #56

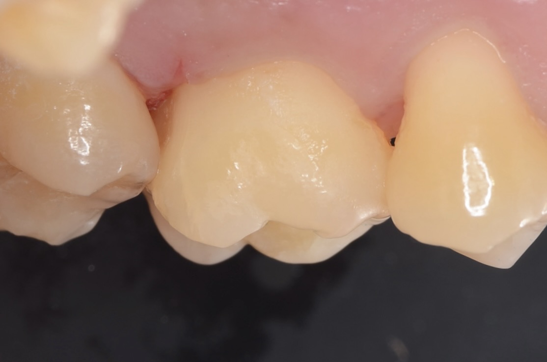
Before

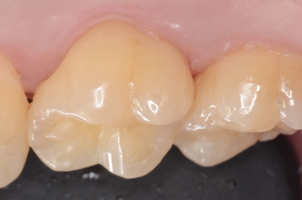
After
症例情報
| 年齢 | 40代 | 治療方法 | ダイレクトボンディング |
|---|---|---|---|
| 性別 | 男性 | 通院回数 | 2回 |
| 主訴 | できるだけ歯を削る量を少なくしてむし歯を治したい | 費用 |
115,500円(税込) |
| 治療のメリット | 歯を削る量を少なくできる・自然な見た目・境目がピッタリできる | ||
| 治療のデメリット | 噛む力が強い場合、レジンが割れる可能性が高い | ||
治療経過
-

ラバーダム装着
噛む力が強く以前治したレジン10点が壊れていました。強度で考えるならジルコニアインレーですが歯を削る量を少なくしたい希望があったので、今回はダイレクトボンディングで治すことにしました。 -

虫歯除去
青い齲蝕検知液で虫歯を染めて染まった部分を削ります。この工程を青く染まらなくなるまで歯にできるだけダメージがないように優しい力で丁寧に行います。この作業は時間がかかります。保険診療の短い時間で行うことは限界があります。 -

ダイレクトボンディング
天然歯の自然な形態を模倣してレジンを充填しました。 -

研磨
研磨をしっかり丁寧にすることで、レジンと歯質の段差を修正し、虫歯になりにくくします。 -

研磨
研磨をしっかり丁寧にすることで、レジンと歯質の段差を修正し、虫歯になりにくくします。
ダイレクトボンディングを検討されている方は、こちらのページをご覧ください。

