症例
お悩みから探す:
新着情報
カテゴリー:
審美歯科・セラミック治療虫歯の治療・ダイレクトボンディング
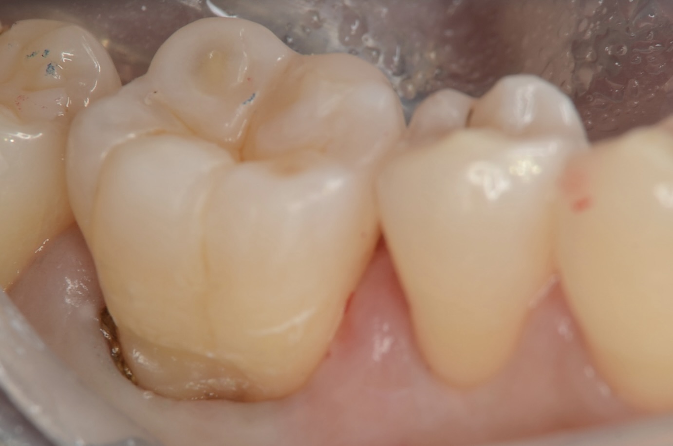
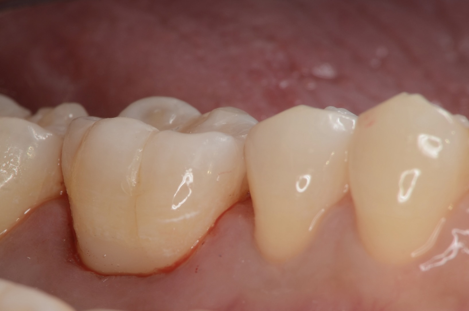
40代 虫歯治療 ダイレクトボンディング #30

Before

After
症例情報
| 年齢 | 40代 | 治療方法 | ダイレクトボンディング |
|---|---|---|---|
| 性別 | 男性 | 通院回数 | 3回 |
| 主訴 | できるだけ歯を削る量を少なくしてむし歯を治したい | 費用 |
231,000円(税込) |
| 治療のメリット | 歯を削る量を少なくできる・自然な見た目・境目がピッタリできる | ||
| 治療のデメリット | 大きい虫歯治療の跡には適応できません。 | ||
治療詳細
板橋区からお越しの患者さんです。できるだけ自分の歯を削らないで治療を希望されています。
治療経過
-

6番頬側の歯頸部
境目が茶色くなっている古いレジンがあります。 -

6番近心舌側の隣接面
茶色くなっている虫歯が見えます -

少し歯を削ったところ
齲蝕検知液で染めると虫歯が青く染まります。 -

咬合面観
6番近心の虫歯を取り除いたところです。 -

5番遠心
虫歯を取り除いたところです。 -

拡大
5番の辺縁隆線を削らないよう、最小限の切削量で治療します。 -

レジン充填
フロワブルレジンの表面張力を利用して、滑らかで継ぎ目のない修復ができました。 -

咬合面観
-
隣接面を少しづつレジン充填します。 -
隣接面部を適切な強さでレジン充填しました。 -

別日
1週間後に続きをします。 6番の咬合面のレジンを除去しました。 -

レジン充填
天然歯の自然な形態を模倣して修復しました。 -

舌側面観
滑らかに仕上がっています。 -

頬側面観
滑らかに仕上がっています。 -

歯頸部のレジン除去
歯肉縁下に虫歯があったので、ラバーダムを外してZooという唾液を吸い取るチューブを使って乾燥させながら治療しました。 -

歯頸部のレジン充填
ツルツルに研磨します
ダイレクトボンディングを検討されている方は、こちらのページをご覧ください。

