症例
診療科目から探す:
お悩みから探す:
入れ歯(義歯)虫歯の治療・ダイレクトボンディング部分床義歯
40代 虫歯治療・ダイレクトボンディング &目立たない義歯 #61

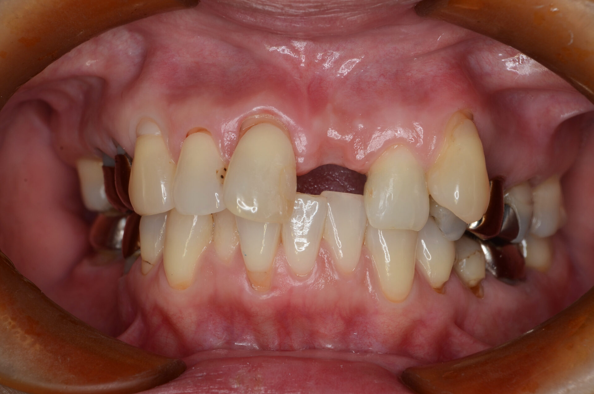
Before

After
症例情報
| 年齢 | 40代 | 治療方法 | ダイレクトボンディング/エステティックデンチャー(スマートデンチャー・ノンクラスプデンチャーとも呼ばれます) |
|---|---|---|---|
| 性別 | 女性 | 通院回数 | 12回 |
| 主訴 | 前歯の治療の続きをしてほしい | 費用 |
495,000円(税込) |
| 治療のメリット | 歯を削る量を少なくできる・自然な見た目・境目がピッタリできる。治療期間は短い | ||
| 治療のデメリット | 入れ歯は管理が面倒 | ||
治療経過
-

歯根破折を確認
他院で根の治療を数ヶ月続けているにも関わらず、違和感が続くということで転院された患者さんです。 歯の中を確認すると歯根が割れていました。さすがに抜歯になります。 -

抜歯と同時に仮歯をセット
歯を抜くと同時にプラスチック製の仮歯を両サイドの歯に接着剤で固定します。 -

治癒
歯を抜いた部分が治るまで3ヶ月待ちます。 -

マウスピース型仮義歯
抜いた歯の両サイドの歯に虫歯があるので、着脱できるマウスピース型の仮義歯を作りました。これによって見た目的に歯があるようにしつつ、虫歯や、最終的な義歯の治療が可能となります。 -

歯垢染め出し
歯垢を染め出すことによって、古い治療跡の境目がはっきりわかります。 歯垢は接着操作を妨げます。治療前には、必ず歯垢染め出し液により歯垢を見える化し、その後ジェットパウダークリーニングにより徹底的に除去します。保険診療ではここまでする事はほとんどありません。 -

舌側面
歯の裏側にも大きな古いレジンが入っているのがわかります。 -

ラバーダム装着
虫歯治療においてもラバーダム装着は必須です。 唾液や血液から歯面が汚染されるのを防ぎ、乾燥状態を保つラバーダムは、接着力を向上させるためにも大切なアイテムです。 -

虫歯の除去
齲蝕検知液で染まらなくなるまで丁寧に虫歯を取り除きます。 -

シリコンインデックスにてバックウォールを作る
事前に用意した歯を削る前の模型を使ってシリコンインデックスを作っておきます。これを使って歯の裏に壁(バックウォール)を作ることができます。絵でいうキャンバスに当たります。 -

バックウォール
前歯は濃い色から始まり透明な色のレジンを重ねていきます。そのためにレジンの裏打ちであるバックウォールがあると格段に操作しやすくなります。 -

バックウォール(裏面)
-

右上1番レジン充填後
-

左上2番レジン充填後
-

歯頸部の楔状欠損
歯と歯茎の境目に楔状の溝ができて茶色くなっているので、ここも治療します。楔状欠損は専門的にはNCCLと呼ばれ、虫歯でないのに過度な歯磨きや歯軋りや酸っぱい食べ物・飲み物などの複合的要因で起きると言われています。 -

テフロンテープによる歯肉圧排
歯茎を保護するためにテフロンテープをリボン状にしたものを優しく歯肉溝に挿入します。 -

ダイレクトボンディング終了後、入れ歯の型取り
-

フレームと人工歯の試適
-

舌側 フレームが見える
エステティックデンチャーは柔らかいので、強度を出すために薄い金属フレームを入れています -

エステティックデンチャー 正面
今回、患者さんはで時間があまりかけられない・できるだけ歯を削りたくないということだったので、インプラントやブリッジでは治しませんでした。このように前歯の治療においてインプラントやブリッジにしたくない方にとってはエステティックデンチャーは選択肢の一つになります。 -

エステティックデンチャー 舌面
薄い金属なので発音の妨げや違和感などはありません。
ダイレクトボンディングを検討されている方は、こちらのページをご覧ください。

