症例
お悩みから探す:
新着情報
カテゴリー:
虫歯の治療・ダイレクトボンディング
30代 虫歯治療 ダイレクトボンディング #37

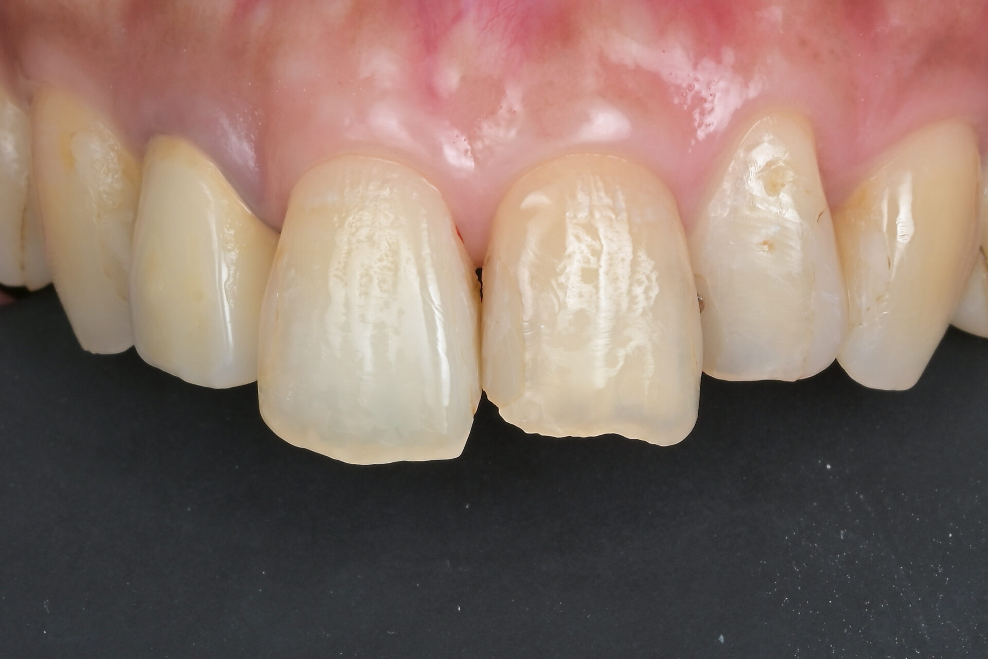
Before

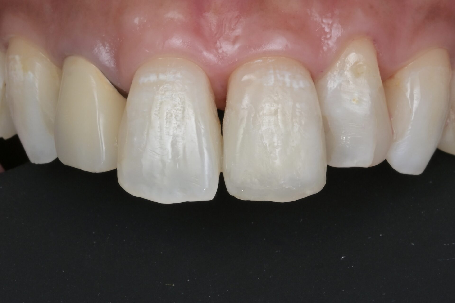
After
症例情報
| 年齢 | 30代 | 治療方法 | ダイレクトボンディング |
|---|---|---|---|
| 性別 | 女性 | 通院回数 | 3回 |
| 主訴 | 欠けた歯を治したい/歯をできるだけ削られたくない | 費用 |
148,500円税込 |
| 治療のメリット | 歯を削る量を少なくできる・自然な見た目・境目がピッタリできる | ||
| 治療のデメリット | 大きい虫歯治療には適応できない場合がある | ||
治療詳細
片方だけ欠けている前歯の治療を希望して来院されました。
神経のない歯なので、セラミックのクラウンで被せるのが一般的な治療法ですが、できるだけ歯を削られたくない気持ちが強買ったので、相談した結果、ファイバーコアを立ててダイレクトボンディングで修復することにしました。
治療経過
-

診断用ワックスアップ 正面観
歯形をとって石膏模型を作り グレーのワックスでワックスで欠けている歯を修復し治療のシミュレーションをします。 -

診断用ワックスアップ 咬合面観
-

シリコンコア 咬合面観
診断用ワックスアップした模型にシリコンで型を取ります。 -

シリコンコア 正面観
-

シリコンコア 裏面
-

歯垢染め出し
歯垢を染め出したのち、ジェットパウダーでクリーニングをします。汚れが残っていると接着操作ができません。 -

ラバーダム装着
唾液が歯につかないようにラバーダムをします。 -

シリコンコアセット
-

ダイレクトボンディング
シリコンコアと、歯の間の隙間にレジンを充填します。 -

充填終了
-

舌側面観
-

ファイバーコアの準備
レジンを除去すると歯の中は虫歯になっていたので、青色の齲蝕検知液で虫歯を染めては削る操作を繰り返します。 -

治療終了
裏面も綺麗に仕上がりました。
ダイレクトボンディングを検討されている方は、こちらのページをご覧ください。

