症例
診療科目から探す:
お悩みから探す:
神経を取りたくない・MTAセメント・歯髄保存療法虫歯の治療・ダイレクトボンディング
30代 虫歯治療 VPT(歯髄温存療法)ダイレクトボンディング #66

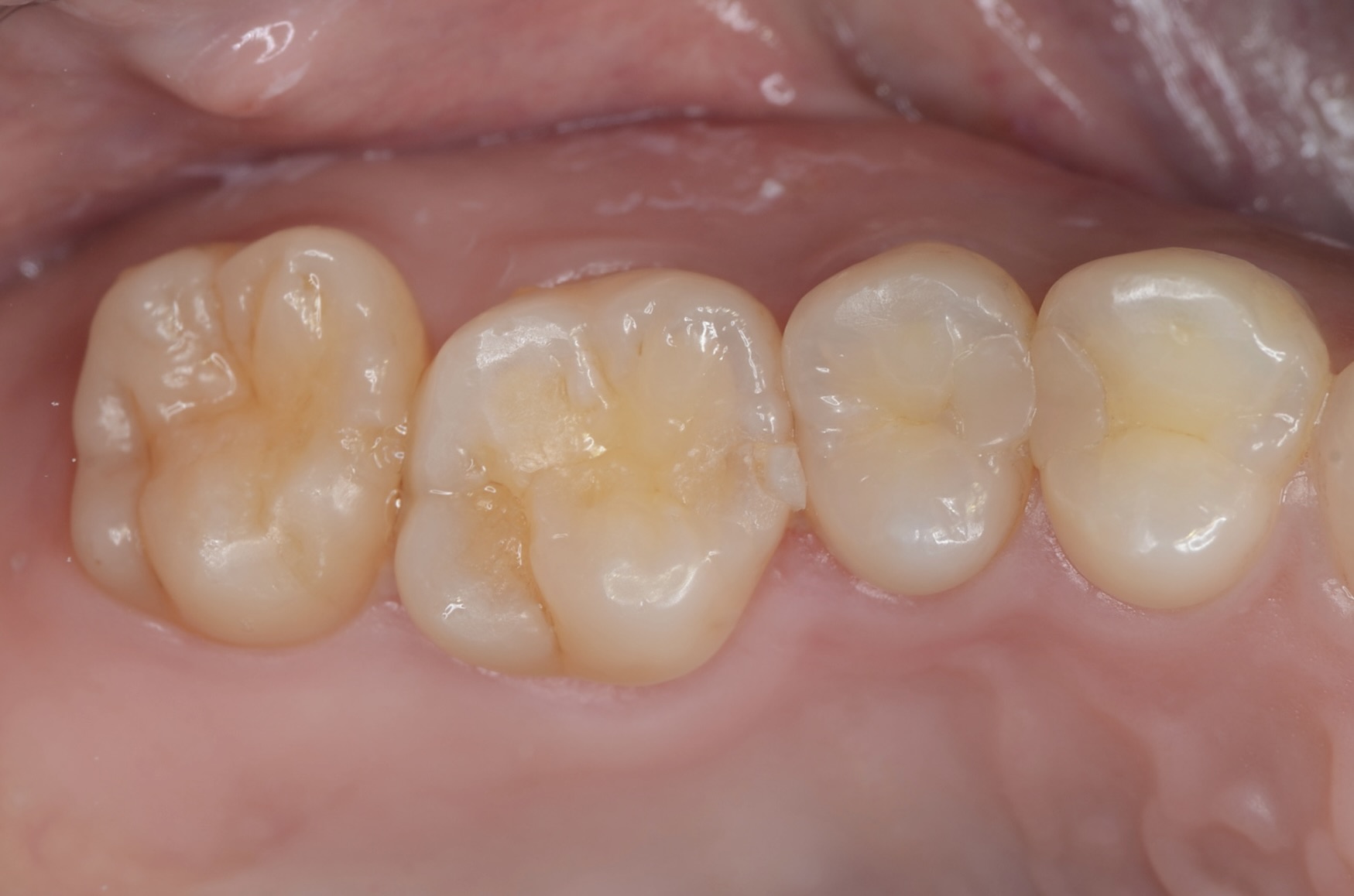
Before

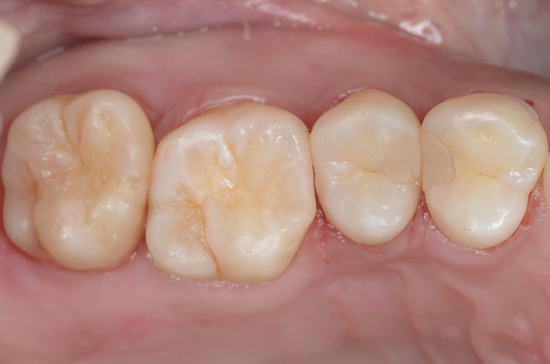
After
症例情報
| 年齢 | 30代 | 治療方法 | VPT(歯髄温存療法)/ダイレクトボンディング |
|---|---|---|---|
| 性別 | 女性 | 通院回数 | 4回 |
| 主訴 | むし歯を治したい /神経を取りたくない | 費用 |
401,500円(税込) |
| 治療のメリット | 神経を保存できる。歯を削る量を少なくできる。自然な形にできる | ||
| 治療のデメリット | 大きい虫歯治療には適応できない場合がある | ||
治療詳細
他院で、虫歯が大きく神経をとるかもしれないと言われて、歯髄温存療法を多数手掛けている下高井戸デンタルオフィスに受診されました。今回は右上の奥歯を3本治します。うち2本は虫歯が新kl英まで到達していたので、MTAセメントを用いた歯髄温存療法を行いました。
治療経過
-

ラバーダム装着
虫歯治療においてもラバーダム装着は必須です。 唾液や血液から歯面が汚染されるのを防ぎ、乾燥状態を保つラバーダムは、接着力を向上させるためにも大切なアイテムです。 -

5番遠心の虫歯
6番近心の欠けた部分を少しづつ削っていくと、5番遠心に虫歯を発見しました。 -

虫歯除去
虫歯は、神経まで到達していませんでした。 -

ダイレクトボンディング
とろとろの柔らかいフロワブルレジンを用いて、その表面張力を利用して滑らかで段差のないレジン充填を実現させます。 -

1回目の治療終了
-

2回目治療開始
-

旧レジン除去
旧レジンを除去すると、中は虫歯でした。 -

齲蝕検知液
青い齲蝕検知液で虫歯を染めて染まった部分を削ります。この工程を青く染まらなくなるまで歯にできるだけダメージがないように優しい力で丁寧に行います。この作業は時間がかかります。保険診療の短い時間で行うことは限界があります。 -

露髄
虫歯が神経まで到達していました。 歯から出血してきます。 数分後に自然止血しました。マイクロスコープで神経の状態を確認し保存できると判断しました。 -

MTAセメントによる歯髄温存療法
MTAセメントは弱アルカリ性で象牙祭管内の最近を殺菌します。MTAセメントを充填しました。MTAセメントは弱アルカリ性で象牙祭管内の細菌を殺菌します。また正体親和性が高くセメント質の形成を誘導します。 -

スーパーボンド
MTAセメントは硬化までに数時間かかります。 象牙質に強固に接着するスーパーボンドでMTAセメントを覆います。 -

5番遠心の形体修正
セパレーターという歯間離開器で強制的に歯間を1ミリ暗い広げて、その隙間からフロワブルレジンを追加してより滑らかになるように形体修正と研磨を行います。 -

5番近心レジン充填
天然歯の自然な形態を模倣してレジンを充填しました。 2回目の治療はこれで終わりです。 -

3回目の治療
-

4番遠心の虫歯
旧レジンを除去すると、中は虫歯でした。 -

5番近親の形体チェック
前回の治療を確認します。滑らかに仕上がっていました。 -

齲蝕検知液
青い齲蝕検知液で虫歯を染めて染まった部分を削ります。この工程を青く染まらなくなるまで歯にできるだけダメージがないように優しい力で丁寧に行います。 -

露髄
虫歯が神経までいっていました。歯から出血してきます。 数分後に自然止血しました。マイクロスコープで神経の状態を確認し保存できると判断しました。 -

MTAセメントによる歯髄温存療法
MTAセメントは弱アルカリ性で象牙祭管内の最近を殺菌します。MTAセメントを充填しました。MTAセメントは弱アルカリ性で象牙祭管内の細菌を殺菌します。また正体親和性が高くセメント質の形成を誘導します。 -

スーパーボンド
MTAセメントは硬化までに数時間かかります。 象牙質に強固に接着するスーパーボンドでMTAセメントを覆います。 -

セレクティブエッチング
エナメル質のみに酸処理を施すことにより、より強固にレジンと歯質の接着が期待できます。 -

テフロンテープによる養生
接着剤が隣接の歯に付くのをテフロンテープで保護します。 -

積層充填
一気にレジンを充填して硬化させるとレジンの重合収縮によりレジンが、歯から引き剥がされる力が働いてしまうので。少量づつレジンを充填硬化させます。 -

ダイレクトボンディング終了
-

研磨後
研磨をしっかり丁寧にすることで、レジンと歯質の段差を修正し、虫歯になりにくくします。 -

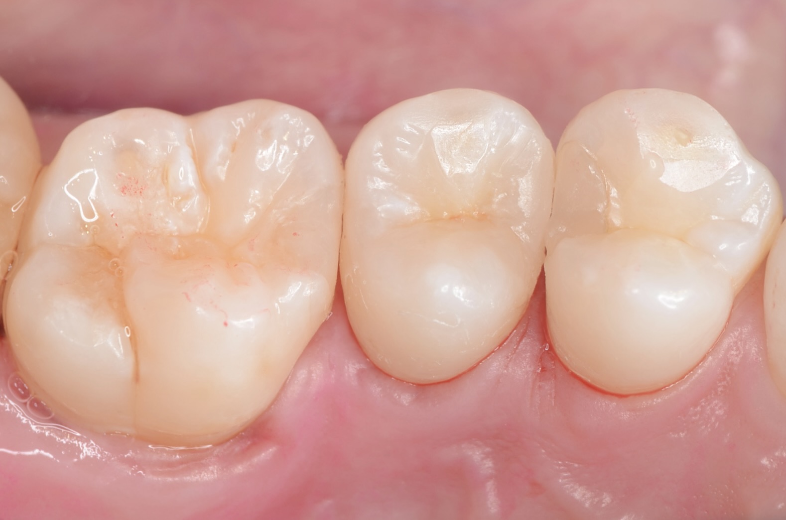
頬側面から見る
歯と歯の間は適切なキツさになっています。 -

口蓋側面から見る
滑らかで自然な曲線で修復できました。患者さんも満足していただけました。
ダイレクトボンディングを検討されている方は、こちらのページをご覧ください。

