症例
診療科目から探す:
お悩みから探す:
神経を取りたくない・MTAセメント・歯髄保存療法虫歯の治療・ダイレクトボンディング
30代 虫歯治療 ダイレクトボンディング #65

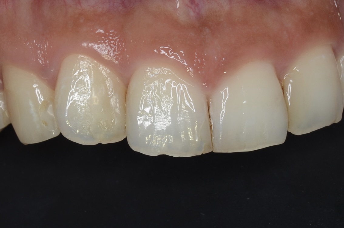
Before

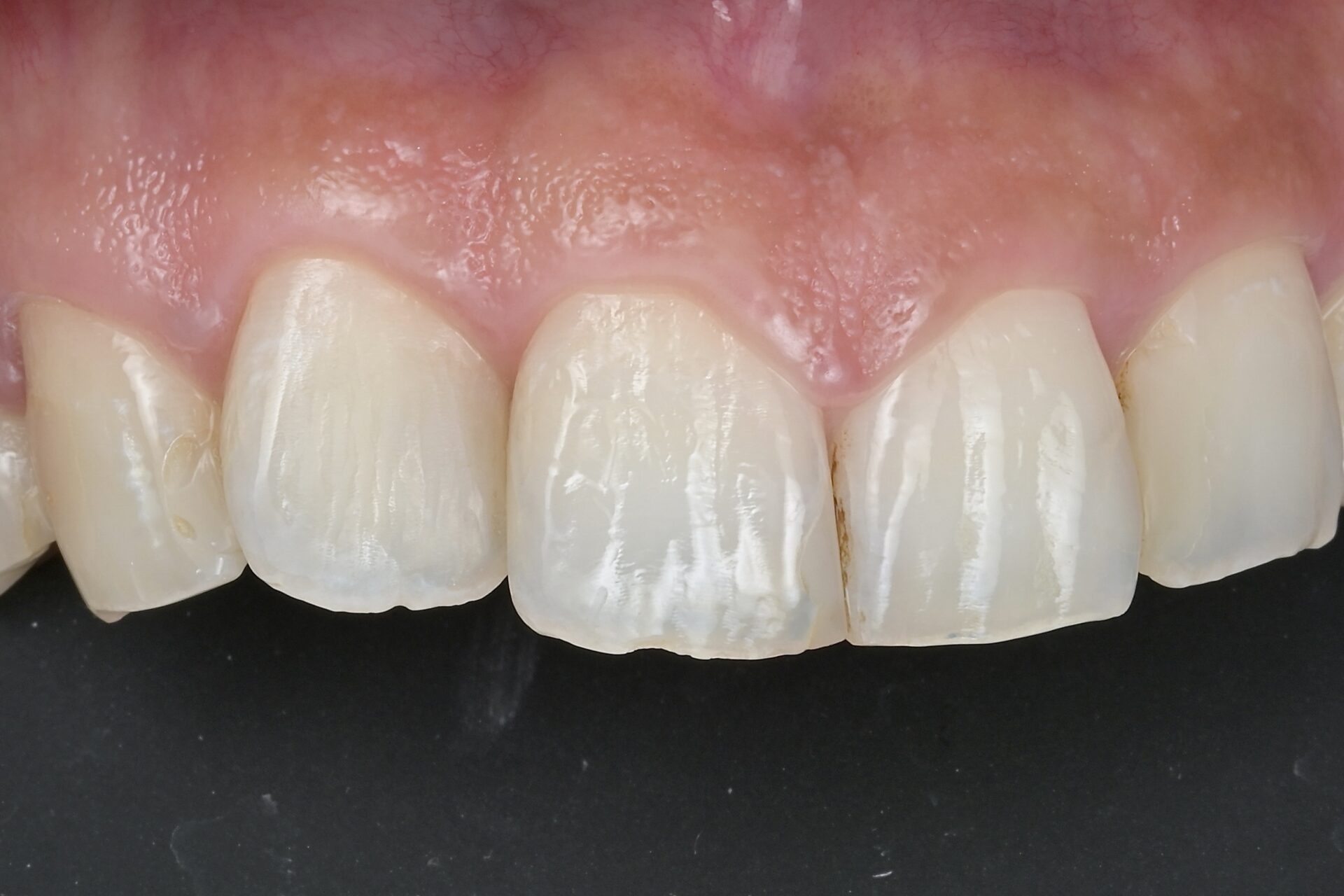
After
症例情報
| 年齢 | 30代 | 治療方法 | ダイレクトボンディング/MTAセメント |
|---|---|---|---|
| 性別 | 男性 | 通院回数 | 2回 |
| 主訴 | むし歯を治したい /神経を取りたくない | 費用 |
165,000円(税込) |
| 治療のメリット | 神経を保存できる。歯を削る量を少なくできる。自然な形にできる | ||
| 治療のデメリット | 術後、一時的に染みることがある。健全残存資質の量によってはクラウンになる場合もある | ||
治療経過
-

歯垢染め出し
歯垢は接着操作を妨げます。治療前には、必ず歯垢染め出し液により歯垢を見える化し、その後ジェットパウダークリーニングにより徹底的に除去します。保険診療ではここまでする事はほとんどありません。 -

歯垢染め出し 舌面
-

ラバーダム装着・旧レジン除去
虫歯治療においてもラバーダム装着は必須です。 唾液や血液から歯面が汚染されるのを防ぎ、乾燥状態を保つラバーダムは、接着力を向上させるためにも大切なアイテムです。 -

露髄
完全に虫歯を取り切ったところです。 虫歯が神経までいっていました。 -

MTAセメント
露髄後、数分後に自然止血しました。マイクロスコープで神経の状態を確認し保存できると判断しました。MTAセメントは弱アルカリ性で象牙祭管内の最近を殺菌します。MTAセメントを充填しました。MTAセメントは弱アルカリ性で象牙祭管内の細菌を殺菌します。また正体親和性が高くセメント質の形成を誘導します。 -

スーパーボンド
MTAセメントは硬化までに数時間かかります。 象牙質に強固に接着するスーパーボンドでMTAセメントを覆います。 -

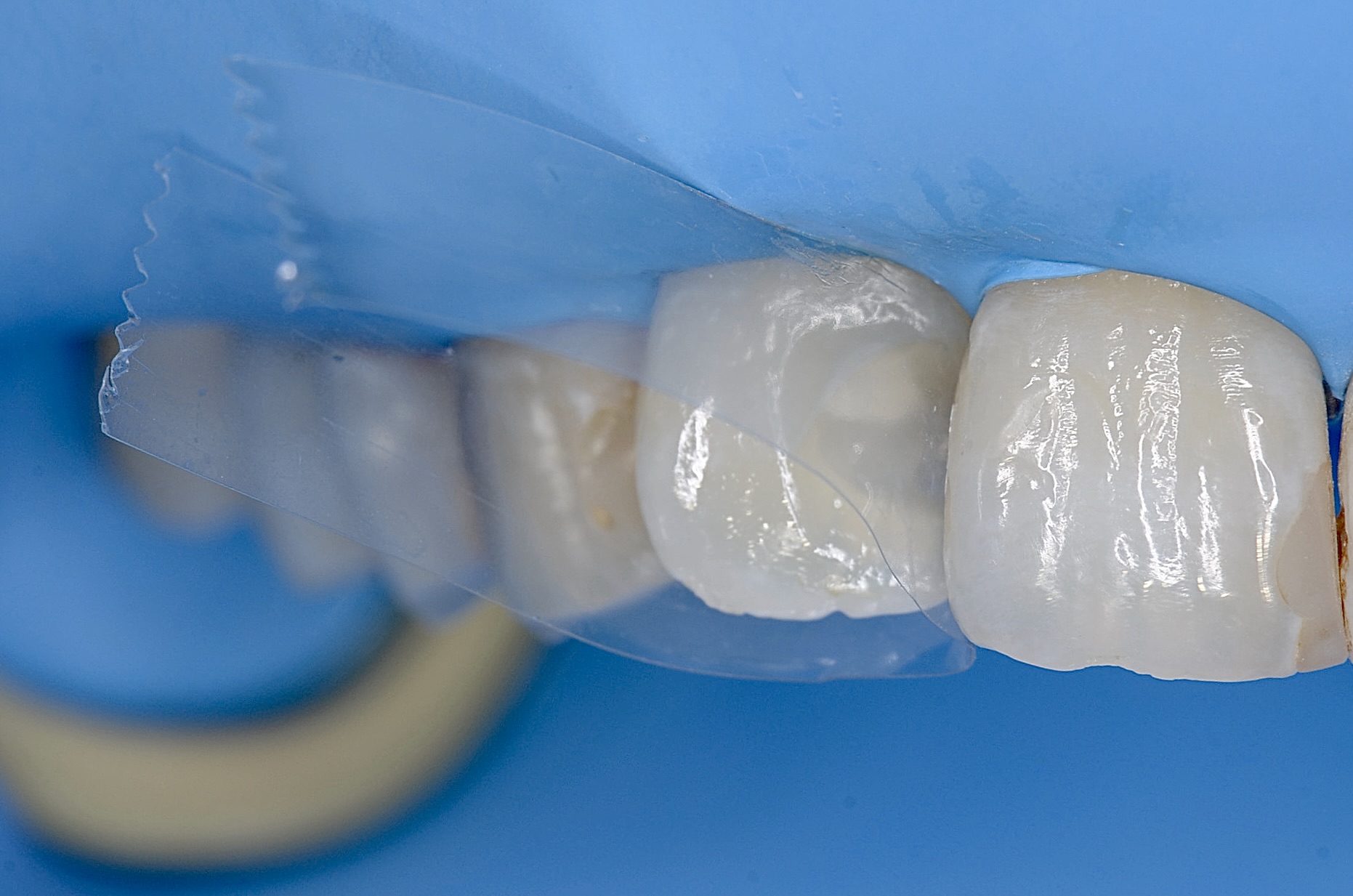
スノープルーテクニック
透明のテープ状マトリックスを使いレジンを綺麗に詰めていきます。 -

ダイレクトボンディング
天然歯の自然な形態を模倣してレジンを充填しました。 -

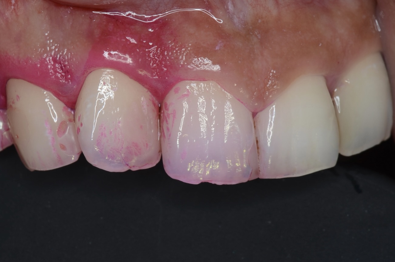
舌面
舌面も、立体的に滑らかな形に仕上げます。 -

硎磨 舌面
舌面も丁寧に研磨して、継ぎ目の段差が無いようにします
ダイレクトボンディングを検討されている方は、こちらのページをご覧ください。

