症例
診療科目から探す:
お悩みから探す:
小児歯科虫歯の治療・ダイレクトボンディング
10代 虫歯治療 ダイレクトボンディング #64

Before

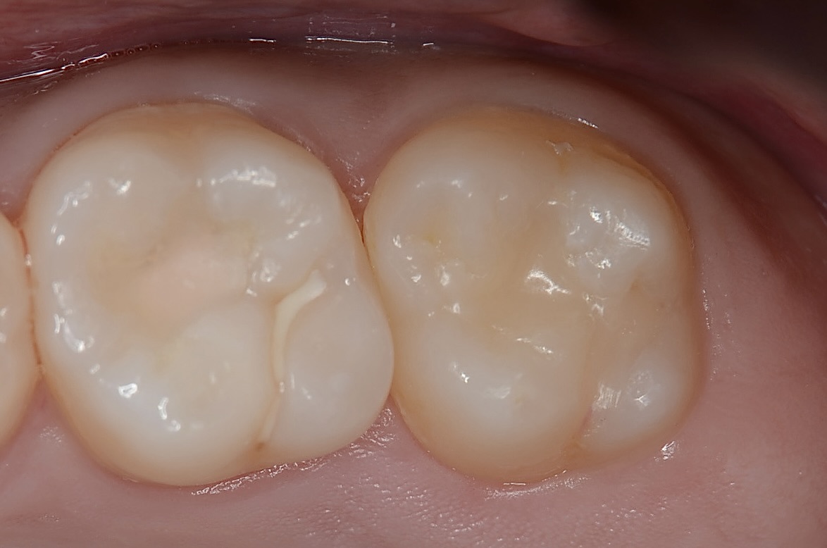
After
症例情報
| 年齢 | 10代 | 治療方法 | ダイレクトボンディング |
|---|---|---|---|
| 性別 | 男性 | 通院回数 | 2回 |
| 主訴 | むし歯を治したい | 費用 |
115,500円(税込) |
| 治療のメリット | 歯を削る量を少なくできる・自然な見た目・境目がピッタリできる | ||
| 治療のデメリット | 大きい虫歯治療には適応できない場合がある | ||
治療経過
-

ラバーダム装着・旧レジン除去
虫歯治療においてもラバーダム装着は必須です。 唾液や血液から歯面が汚染されるのを防ぎ、乾燥状態を保つラバーダムは、接着力を向上させるためにも大切なアイテムです。 青い齲蝕検知液で虫歯を染めて染まった部分を削ります。この工程を青く染まらなくなるまで歯にできるだけダメージがないように優しい力で丁寧に行います。この作業は時間がかかります。保険診療の短い時間で行うことは限界があります -

虫歯の完全除去
本来はセラミックのテーブルトップにするべきですがまだ小学生なので、成人するまではこのままで行きます。ライフステージや年齢に応じて治療方法や材料を変えています。 -

知覚過敏抑制材
虫歯は神経すれすれでしたが、露髄はしなかったので知覚過敏抑制材を象牙質にすり込みました。ハイドロキシアパタイトで象牙細管を封鎖することにより知覚過敏を抑制します。大きな虫歯の治療後は違和感が出やすいので予防的にこの様な処置もしています。 -

セレクティブエッチング
ナメル質のみに酸処理を施すことにより、より強固にレジンと歯質の接着が期待できます。 -

レジンの積層充填
一気にレジンを充填して硬化させるとレジンの重合収縮によりレジンが、歯から引き剥がされる力がはららいてしまうので。少量づつレジンを充填硬化させます。 -

ダイレクトボンディング完成
咬合面にはペースト状のレジンで、形態を作りました。天然歯の自然な形態を模倣してレジンを充填しました。
ダイレクトボンディングを検討されている方は、こちらのページをご覧ください。

